NDUFS6 Antibody
-
中文名稱:NDUFS6兔多克隆抗體
-
貨號:CSB-PA015665DSR1HU
-
規格:¥440
-
圖片:
-
Western blot
All lanes: NDUFS6 antibody at 1.1µg/ml
Lane 1: Mouse heart tissue
Lane 2: Mouse kidney tissue
Lane 3: MCF-7 whole cell lysate
Lane 4: HepG2 whole cell lysate
Secondary
Goat polyclonal to rabbit IgG at 1/10000 dilution
Predicted band size: 14 kDa
Observed band size: 14 kDa -
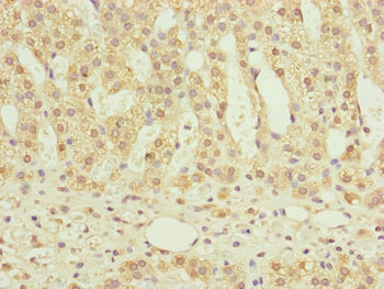
Immunohistochemistry of paraffin-embedded human adrenal gland tissue using CSB-PA015665DSR1HU at dilution of 1:100
-
Immunohistochemistry of paraffin-embedded human gastric cancer using CSB-PA015665DSR1HU at dilution of 1:100
-
-
其他:
產品詳情
-
產品名稱:Rabbit anti-Homo sapiens (Human) NDUFS6 Polyclonal antibody
-
Uniprot No.:
-
基因名:
-
別名:BC059730 antibody; CI 13kA antibody; CI 13kD A antibody; CI-13kD-A antibody; CI13KDA antibody; Complex I 13kD A antibody; Complex I 13kDa subunit A antibody; Complex I mitochondrial respiratory chain 13 kD subunit antibody; Complex I-13kD-A antibody; IP13 antibody; MGC107676 antibody; NADH dehydrogenase (ubiquinone) Fe-S protein 6, 13kDa (NADH coenzyme Q reductase) antibody; NADH dehydrogenase [ubiquinone] iron sulfur protein 6, mitochondrial antibody; NADH dehydrogenase [ubiquinone] iron-sulfur protein 6, mitochondrial antibody; NADH ubiquinone oxidoreductase 13 kDa A subunit antibody; NADH-ubiquinone oxidoreductase 13 kDa-A subunit antibody; NADH:ubiquinone oxidoreductase NDUFS6 subunit antibody; NADH:ubiquinone oxidoreductase subunit S6 antibody; Ndufs6 antibody; NDUS6_HUMAN antibody
-
宿主:Rabbit
-
反應種屬:Human, Mouse
-
免疫原:Recombinant Human NADH dehydrogenase [ubiquinone] iron-sulfur protein 6, mitochondrial protein (29-124AA)
-
免疫原種屬:Homo sapiens (Human)
-
標記方式:Non-conjugated
-
克隆類型:Polyclonal
-
抗體亞型:IgG
-
純化方式:Antigen Affinity Purified
-
濃度:It differs from different batches. Please contact us to confirm it.
-
保存緩沖液:PBS with 0.02% sodium azide, 50% glycerol, pH7.3.
-
產品提供形式:Liquid
-
應用范圍:ELISA, WB, IHC
-
推薦稀釋比:
Application Recommended Dilution WB 1:1000-1:5000 IHC 1:20-1:200 -
Protocols:
-
儲存條件:Upon receipt, store at -20°C or -80°C. Avoid repeated freeze.
-
貨期:Basically, we can dispatch the products out in 1-3 working days after receiving your orders. Delivery time maybe differs from different purchasing way or location, please kindly consult your local distributors for specific delivery time.
-
用途:For Research Use Only. Not for use in diagnostic or therapeutic procedures.
相關產品
靶點詳情
-
功能:Accessory subunit of the mitochondrial membrane respiratory chain NADH dehydrogenase (Complex I), that is believed not to be involved in catalysis. Complex I functions in the transfer of electrons from NADH to the respiratory chain. The immediate electron acceptor for the enzyme is believed to be ubiquinone.
-
基因功能參考文獻:
- CD147 appears to regulate complex I activity and apoptosis in malignant melanoma cells by interacting with mitochondrial NDUFS6. PMID: 25470292
- NDUFS6, a complex I subunit gene not previously associated with complex I deficiency, was grossly underexpressed in t patient cell lines. PMID: 15372108
- NDUFS6 is required for the assembly and stabilization of a portion of complex I that contains a number of subunits. PMID: 17438127
-
相關疾病:Mitochondrial complex I deficiency (MT-C1D)
-
亞細胞定位:Mitochondrion inner membrane; Peripheral membrane protein; Matrix side.
-
蛋白家族:Complex I NDUFS6 subunit family
-
數據庫鏈接:
Most popular with customers
-
-
YWHAB Recombinant Monoclonal Antibody
Applications: ELISA, WB, IHC, IF, FC
Species Reactivity: Human, Mouse, Rat
-
Phospho-YAP1 (S127) Recombinant Monoclonal Antibody
Applications: ELISA, WB, IHC
Species Reactivity: Human
-
-
-
-
-















