NDUFS2 Antibody
-
中文名稱:NDUFS2兔多克隆抗體
-
貨號:CSB-PA246122
-
規格:¥1100
-
圖片:
-
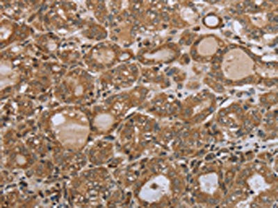
The image on the left is immunohistochemistry of paraffin-embedded Human thyroid cancer tissue using CSB-PA246122(NDUFS2 Antibody) at dilution 1/35, on the right is treated with synthetic peptide. (Original magnification: ×200)
-
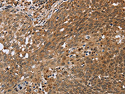
The image on the left is immunohistochemistry of paraffin-embedded Human cervical cancer tissue using CSB-PA246122(NDUFS2 Antibody) at dilution 1/35, on the right is treated with synthetic peptide. (Original magnification: ×200)
-
Gel: 8%SDS-PAGE, Lysate: 40 μg, Lane: Mouse heart tissue, Primary antibody: CSB-PA246122(NDUFS2 Antibody) at dilution 1/250, Secondary antibody: Goat anti rabbit IgG at 1/8000 dilution, Exposure time: 5 minutes
-
-
其他:
產品詳情
-
Uniprot No.:
-
基因名:
-
別名:CI 49 antibody; CI 49kD antibody; CI-49kD antibody; Complex 1, mitochondrial respiratory chain, 49 KD subunit antibody; Complex I 49kD antibody; Complex I 49kDa subunit antibody; Complex I-49kD antibody; mitochondrial antibody; NADH dehydrogenase (ubiquinone) Fe S protein 2 49kDa antibody; NADH dehydrogenase (ubiquinone) Fe S protein 2, 49kDa (NADH coenzyme Q reductase) antibody; NADH dehydrogenase [ubiquinone] iron sulfur protein 2, mitochondrial antibody; NADH dehydrogenase [ubiquinone] iron-sulfur protein 2 antibody; NADH ubiquinone oxidoreductase 49 kDa subunit antibody; NADH ubiquinone oxidoreductase NDUFS2 subunit antibody; NADH-ubiquinone oxidoreductase 49 kDa subunit antibody; NADH:ubiquinone oxidoreductase core subunit S2 antibody; Ndufs2 antibody; NDUS2_HUMAN antibody
-
宿主:Rabbit
-
反應種屬:Human,Mouse,Rat
-
免疫原:Synthetic peptide of Human NDUFS2
-
免疫原種屬:Homo sapiens (Human)
-
標記方式:Non-conjugated
-
抗體亞型:IgG
-
純化方式:Antigen affinity purification
-
濃度:It differs from different batches. Please contact us to confirm it.
-
保存緩沖液:-20°C, pH7.4 PBS, 0.05% NaN3, 40% Glycerol
-
產品提供形式:Liquid
-
應用范圍:ELISA,WB,IHC
-
推薦稀釋比:
Application Recommended Dilution ELISA 1:1000-1:2000 WB 1:200-1:1000 IHC 1:50-1:200 -
Protocols:
-
儲存條件:Upon receipt, store at -20°C or -80°C. Avoid repeated freeze.
-
貨期:Basically, we can dispatch the products out in 1-3 working days after receiving your orders. Delivery time maybe differs from different purchasing way or location, please kindly consult your local distributors for specific delivery time.
-
用途:For Research Use Only. Not for use in diagnostic or therapeutic procedures.
相關產品
靶點詳情
-
功能:Core subunit of the mitochondrial membrane respiratory chain NADH dehydrogenase (Complex I) which catalyzes electron transfer from NADH through the respiratory chain, using ubiquinone as an electron acceptor. Essential for the catalytic activity of complex I. Essential for the assembly of complex I. Redox-sensitive, critical component of the oxygen-sensing pathway in the pulmonary vasculature which plays a key role in acute pulmonary oxygen-sensing and hypoxic pulmonary vasoconstriction. Plays an important role in carotid body sensing of hypoxia. Essential for glia-like neural stem and progenitor cell proliferation, differentiation and subsequent oligodendrocyte or neuronal maturation.
-
基因功能參考文獻:
- compound heterozygosity for severe and hypomorphic NDUFS2 mutations can cause non-syndromic hereditary optic neuropathy. PMID: 28031252
- NDUFAF7 methylates arginine 85 in the NDUFS2 subunit of human complex I. PMID: 24089531
- study describes clinical, radiological, biochemical and molecular data of 6 patients with Leigh syndrome with novel mutations in NDUFV1 and NDUFS2; 2 siblings were compound heterozygotes for an undescribed E104A mutation in NDUFS2 PMID: 23266820
- The NDUFS2 mutation affects complex I enzymatic function. PMID: 22036843
- Our results confirm that NDUFS2 is a mutational hotspot in Caucasian children with isolated complex I deficiency and recommend the routine diagnostic investigation of this gene in patients with Leigh or Leigh-like phenotypes. PMID: 20819849
顯示更多
收起更多
-
相關疾病:Mitochondrial complex I deficiency (MT-C1D)
-
亞細胞定位:Mitochondrion inner membrane; Peripheral membrane protein; Matrix side.
-
蛋白家族:Complex I 49 kDa subunit family
-
數據庫鏈接:
Most popular with customers
-
-
YWHAB Recombinant Monoclonal Antibody
Applications: ELISA, WB, IHC, IF, FC
Species Reactivity: Human, Mouse, Rat
-
Phospho-YAP1 (S127) Recombinant Monoclonal Antibody
Applications: ELISA, WB, IHC
Species Reactivity: Human
-
-
-
-
-















