NDUFAF1 Antibody
-
中文名稱:NDUFAF1兔多克隆抗體
-
貨號:CSB-PA226934
-
規格:¥1100
-
圖片:
-
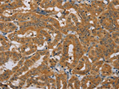
The image is immunohistochemistry of paraffin-embedded Human thyroid cancer tissue using CSB-PA226934(NDUFAF1 Antibody) at dilution 1/25. (Original magnification: ×200)
-
The image is immunohistochemistry of paraffin-embedded Human brain tissue using CSB-PA226934(NDUFAF1 Antibody) at dilution 1/25. (Original magnification: ×200)
-
-
其他:
產品詳情
-
Uniprot No.:
-
基因名:
-
別名:CGI 65 antibody; CGI65 antibody; CIA30 antibody; CIA30_HUMAN antibody; Complex I intermediate associated protein 30 antibody; Complex I intermediate associated protein 30 mitochondrial antibody; Complex I intermediate-associated protein 30; mitochondrial antibody; NADH dehydrogenase (ubiquinone) 1 alpha subcomplex assembly factor 1 antibody; NADH dehydrogenase [ubiquinone] 1 alpha subcomplex assembly factor 1 antibody; NADH:ubiquinone oxidoreductase complex assembly factor 1 antibody; NDUFAF 1 antibody; Ndufaf1 antibody
-
宿主:Rabbit
-
反應種屬:Human,Mouse
-
免疫原:Fusion protein of Human NDUFAF1
-
免疫原種屬:Homo sapiens (Human)
-
標記方式:Non-conjugated
-
抗體亞型:IgG
-
純化方式:Antigen affinity purification
-
濃度:It differs from different batches. Please contact us to confirm it.
-
保存緩沖液:-20°C, pH7.4 PBS, 0.05% NaN3, 40% Glycerol
-
產品提供形式:Liquid
-
應用范圍:ELISA,IHC
-
推薦稀釋比:
Application Recommended Dilution ELISA 1:2000-1:5000 IHC 1:50-1:200 -
Protocols:
-
儲存條件:Upon receipt, store at -20°C or -80°C. Avoid repeated freeze.
-
貨期:Basically, we can dispatch the products out in 1-3 working days after receiving your orders. Delivery time maybe differs from different purchasing way or location, please kindly consult your local distributors for specific delivery time.
-
用途:For Research Use Only. Not for use in diagnostic or therapeutic procedures.
相關產品
靶點詳情
-
功能:Chaperone protein involved in early stages of the assembly of mitochondrial NADH:ubiquinone oxidoreductase complex (complex I).
-
基因功能參考文獻:
- a case of leukodystrophy associated with mitochondrial complex I deficiency due to a novel mutation in the NDUFAF1 gene. PMID: 24963768
- oncogenic K-Ras is able to induce significant alterations in mitochondrial protein expression, and identified NDUFAF1 as an important molecule whose low expression contributes to mitochondrial dysfunction induced by K-Ras. PMID: 25714130
- NDUFAF1 is an important protein for the assembly/stability of complex I (NADH:ubiquinone oxidoreductase). PMID: 16218961
- Study shows a mitochondrial function for Ecsit in the assembly of mitochondrial complex I, an N-terminal targeting signal directs Ecsit to mitochondria, where it interacts with assembly chaperone NDUFAF1. PMID: 17344420
- the involvement of NDUFAF1 in the assembly process could be indirect rather than direct via the binding to assembly intermediates PMID: 17383918
- CIA30 is a crucial component in the early assembly of complex I and mutations in its gene can cause mitochondrial disease PMID: 17557076
顯示更多
收起更多
-
亞細胞定位:Mitochondrion. Mitochondrion matrix.
-
蛋白家族:CIA30 family
-
組織特異性:Ubiquitous.
-
數據庫鏈接:
Most popular with customers
-
-
YWHAB Recombinant Monoclonal Antibody
Applications: ELISA, WB, IHC, IF, FC
Species Reactivity: Human, Mouse, Rat
-
Phospho-YAP1 (S127) Recombinant Monoclonal Antibody
Applications: ELISA, WB, IHC
Species Reactivity: Human
-
-
-
-
-















