NDUFA2 Antibody
-
中文名稱:NDUFA2兔多克隆抗體
-
貨號:CSB-PA909217
-
規格:¥1100
-
圖片:
-
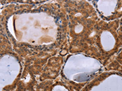
The image on the left is immunohistochemistry of paraffin-embedded Human thyroid cancer tissue using CSB-PA909217(NDUFA2 Antibody) at dilution 1/30, on the right is treated with fusion protein. (Original magnification: ×200)
-
Gel: 12%SDS-PAGE, Lysate: 40 μg, Lane: Raw264.7 cells, Primary antibody: CSB-PA909217(NDUFA2 Antibody) at dilution 1/300, Secondary antibody: Goat anti rabbit IgG at 1/8000 dilution, Exposure time: 5 seconds
-
-
其他:
產品詳情
-
Uniprot No.:
-
基因名:
-
別名:B8 antibody; CI B8 antibody; CI-B8 antibody; Complex I B8 antibody; Complex I-B8 antibody; NADH dehydrogenase (ubiquinone) 1 alpha subcomplex 2 8kDa antibody; NADH dehydrogenase (ubiquinone) 1 alpha subcomplex 2 antibody; NADH dehydrogenase [ubiquinone] 1 alpha subcomplex subunit 2 antibody; NADH ubiquinone oxidoreductase B8 subunit antibody; NADH-ubiquinone oxidoreductase B8 subunit antibody; NDUA2_HUMAN antibody; NDUFA 2 antibody; Ndufa2 antibody
-
宿主:Rabbit
-
反應種屬:Human,Mouse
-
免疫原:Fusion protein of Human NDUFA2
-
免疫原種屬:Homo sapiens (Human)
-
標記方式:Non-conjugated
-
抗體亞型:IgG
-
純化方式:Antigen affinity purification
-
濃度:It differs from different batches. Please contact us to confirm it.
-
保存緩沖液:-20°C, pH7.4 PBS, 0.05% NaN3, 40% Glycerol
-
產品提供形式:Liquid
-
應用范圍:ELISA,WB,IHC
-
推薦稀釋比:
Application Recommended Dilution ELISA 1:2000-1:5000 WB 1:500-1:2000 IHC 1:25-1:100 -
Protocols:
-
儲存條件:Upon receipt, store at -20°C or -80°C. Avoid repeated freeze.
-
貨期:Basically, we can dispatch the products out in 1-3 working days after receiving your orders. Delivery time maybe differs from different purchasing way or location, please kindly consult your local distributors for specific delivery time.
-
用途:For Research Use Only. Not for use in diagnostic or therapeutic procedures.
相關產品
靶點詳情
-
功能:Accessory subunit of the mitochondrial membrane respiratory chain NADH dehydrogenase (Complex I), that is believed not to be involved in catalysis. Complex I functions in the transfer of electrons from NADH to the respiratory chain. The immediate electron acceptor for the enzyme is believed to be ubiquinone.
-
基因功能參考文獻:
- A novel mechanism of lipoteichoic acid (LTA)-induced cytokine induction in human peripheral blood cells involves uptake of LTA and subsequent intracellular recognition driven by Toll-like receptor (TLR)2, TLR6, and CD14. PMID: 20713893
- solution structure shows a thioredoxin fold with highest similarities to the human thioredoxin mutant C73S and thioredoxin 2 from Anabeana sp PMID: 15341729
-
亞細胞定位:Mitochondrion inner membrane; Peripheral membrane protein; Matrix side.
-
蛋白家族:Complex I NDUFA2 subunit family
-
數據庫鏈接:
Most popular with customers
-
-
YWHAB Recombinant Monoclonal Antibody
Applications: ELISA, WB, IHC, IF, FC
Species Reactivity: Human, Mouse, Rat
-
Phospho-YAP1 (S127) Recombinant Monoclonal Antibody
Applications: ELISA, WB, IHC
Species Reactivity: Human
-
-
-
-
-















