NDUFA12 Antibody
-
中文名稱:NDUFA12兔多克隆抗體
-
貨號:CSB-PA883413ESR2HU
-
規格:¥440
-
圖片:
-
Western blot
All lanes: NDUFA12 antibody at 3.71µg/ml
Lane 1: HepG2 whole cell lysate
Lane 2: 293T whole cell lysate
Secondary
Goat polyclonal to rabbit IgG at 1/10000 dilution
Predicted band size: 18, 8 kDa
Observed band size: 18 kDa -
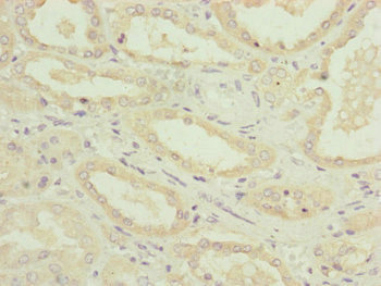
Immunohistochemistry of paraffin-embedded human kidney tissue using CSB-PA883413ESR2HU at dilution of 1:100
-
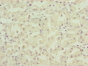
Immunohistochemistry of paraffin-embedded human gastric cancer using CSB-PA883413ESR2HU at dilution of 1:100
-
Immunofluorescent analysis of HepG2 cells using CSB-PA883413ESR2HU at dilution of 1:100 and Alexa Fluor 488-congugated AffiniPure Goat Anti-Rabbit IgG(H+L)
-
-
其他:
產品詳情
-
產品名稱:Rabbit anti-Homo sapiens (Human) NDUFA12 Polyclonal antibody
-
Uniprot No.:
-
基因名:
-
別名:13 kDa differentiation associated protein antibody; 13 kDa differentiation-associated protein antibody; 2410011G03Rik antibody; AW112974 antibody; B17.2 antibody; CI-B17.2 antibody; CIB17.2 antibody; Complex I B17.2 antibody; Complex I B17.2 subunit antibody; Complex I-B17.2 antibody; DAP13 antibody; MGC107642 antibody; MGC7999 antibody; NADH dehydrogenase (ubiquinone) 1 alpha subcomplex 12 antibody; NADH dehydrogenase [ubiquinone] 1 alpha subcomplex subunit 12 antibody; NADH ubiquinone oxidoreductase subunit B17.2 antibody; NADH-ubiquinone oxidoreductase subunit B17.2 antibody; NDUAC_HUMAN antibody; NDUFA12 antibody; RGD1311462 antibody
-
宿主:Rabbit
-
反應種屬:Human
-
免疫原:Recombinant Human NADH dehydrogenase [ubiquinone] 1 alpha subcomplex subunit 12 protein (1-145AA)
-
免疫原種屬:Homo sapiens (Human)
-
標記方式:Non-conjugated
-
克隆類型:Polyclonal
-
抗體亞型:IgG
-
純化方式:Antigen Affinity Purified
-
濃度:It differs from different batches. Please contact us to confirm it.
-
保存緩沖液:PBS with 0.02% sodium azide, 50% glycerol, pH7.3.
-
產品提供形式:Liquid
-
應用范圍:ELISA, WB, IHC, IF
-
推薦稀釋比:
Application Recommended Dilution WB 1:500-1:2000 IHC 1:20-1:200 IF 1:50-1:200 -
Protocols:
-
儲存條件:Upon receipt, store at -20°C or -80°C. Avoid repeated freeze.
-
貨期:Basically, we can dispatch the products out in 1-3 working days after receiving your orders. Delivery time maybe differs from different purchasing way or location, please kindly consult your local distributors for specific delivery time.
-
用途:For Research Use Only. Not for use in diagnostic or therapeutic procedures.
相關產品
靶點詳情
-
功能:Accessory subunit of the mitochondrial membrane respiratory chain NADH dehydrogenase (Complex I), that is believed not to be involved in catalysis. Complex I functions in the transfer of electrons from NADH to the respiratory chain. The immediate electron acceptor for the enzyme is believed to be ubiquinone.
-
基因功能參考文獻:
- NDUFA3, NDUFA5 and NDUFA12 supernumerary subunits are necessary for complex I activity and biogenesis. PMID: 24717771
-
相關疾?。?/div>Leigh syndrome (LS)亞細胞定位:Mitochondrion inner membrane; Peripheral membrane protein; Matrix side.蛋白家族:Complex I NDUFA12 subunit family數據庫鏈接:
Most popular with customers
-
-
YWHAB Recombinant Monoclonal Antibody
Applications: ELISA, WB, IHC, IF, FC
Species Reactivity: Human, Mouse, Rat
-
Phospho-YAP1 (S127) Recombinant Monoclonal Antibody
Applications: ELISA, WB, IHC
Species Reactivity: Human
-
-
-
-
-















