NCALD Antibody
-
中文名稱:NCALD兔多克隆抗體
-
貨號:CSB-PA015510DSR2HU
-
規格:¥440
-
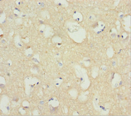
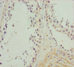
圖片:
-
其他:
產品詳情
-
產品名稱:Rabbit anti-Homo sapiens (Human) NCALD Polyclonal antibody
-
Uniprot No.:
-
基因名:NCALD
-
別名:NCALD antibody; Neurocalcin-delta antibody
-
宿主:Rabbit
-
反應種屬:Human
-
免疫原:Recombinant Human Neurocalcin-delta protein (1-193AA)
-
免疫原種屬:Homo sapiens (Human)
-
標記方式:Non-conjugated
-
克隆類型:Polyclonal
-
抗體亞型:IgG
-
純化方式:Antigen Affinity Purified
-
濃度:It differs from different batches. Please contact us to confirm it.
-
保存緩沖液:PBS with 0.02% sodium azide, 50% glycerol, pH7.3.
-
產品提供形式:Liquid
-
應用范圍:ELISA, IHC
-
推薦稀釋比:
Application Recommended Dilution IHC 1:20-1:200 -
Protocols:
-
儲存條件:Upon receipt, store at -20°C or -80°C. Avoid repeated freeze.
-
貨期:Basically, we can dispatch the products out in 1-3 working days after receiving your orders. Delivery time maybe differs from different purchasing way or location, please kindly consult your local distributors for specific delivery time.
-
用途:For Research Use Only. Not for use in diagnostic or therapeutic procedures.
相關產品
靶點詳情
-
功能:May be involved in the calcium-dependent regulation of rhodopsin phosphorylation. Binds three calcium ions.
-
基因功能參考文獻:
- Neurocalcin delta is a protective spinal muscular atrophy modifier in five asymptomatic SMN1-deleted individuals carrying only four SMN2 copies. PMID: 28132687
- It is presumed that NCALD is related to diabetic nephropathy by promoting epithelial mesenchymal transform. PMID: 23156397
- Studies show that a fold recognition based model of the catalytic domain of ROS-GC1 was built, and neurocalcin delta docking simulations were carried out to define the three-dimensional features of the interacting domains of the two molecules. PMID: 18500817
- association of the landmark SNP with the progression of diabetic nephropathy in a 8-year prospective study PMID: 17671797
- The author characterizes the biochemical properties of recombinant bovine neurocalcin delta, whose protein sequence is identical to the human ortholog PMID: 7852401
顯示更多
收起更多
-
蛋白家族:Recoverin family
-
組織特異性:Retina, cerebrum, cerebellum, brain stem, spinal cord, testis, ovary and small intestine.
-
數據庫鏈接:
Most popular with customers
-
-
YWHAB Recombinant Monoclonal Antibody
Applications: ELISA, WB, IHC, IF, FC
Species Reactivity: Human, Mouse, Rat
-
Phospho-YAP1 (S127) Recombinant Monoclonal Antibody
Applications: ELISA, WB, IHC
Species Reactivity: Human
-
-
-
-
-















