NAT10 Antibody
-
中文名稱:NAT10兔多克隆抗體
-
貨號:CSB-PA863939LA01HU
-
規格:¥440
-
圖片:
-
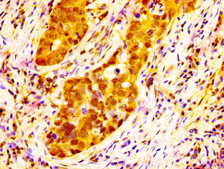
IHC image of CSB-PA863939LA01HU diluted at 1:300 and staining in paraffin-embedded human pancreatic cancer performed on a Leica BondTM system. After dewaxing and hydration, antigen retrieval was mediated by high pressure in a citrate buffer (pH 6.0). Section was blocked with 10% normal goat serum 30min at RT. Then primary antibody (1% BSA) was incubated at 4°C overnight. The primary is detected by a biotinylated secondary antibody and visualized using an HRP conjugated SP system.
-
IHC image of CSB-PA863939LA01HU diluted at 1:300 and staining in paraffin-embedded human brain tissue performed on a Leica BondTM system. After dewaxing and hydration, antigen retrieval was mediated by high pressure in a citrate buffer (pH 6.0). Section was blocked with 10% normal goat serum 30min at RT. Then primary antibody (1% BSA) was incubated at 4°C overnight. The primary is detected by a biotinylated secondary antibody and visualized using an HRP conjugated SP system.
-
Immunoprecipitating NAT10 in Hela whole cell lysate
Lane 1: Rabbit control IgG instead of CSB-PA863939LA01HU in Hela whole cell lysate. For western blotting, a HRP-conjugated Protein G antibody was used as the secondary antibody (1/2000)
Lane 2: CSB-PA863939LA01HU (6μg) + Hela whole cell lysate (1mg)
Lane 3: Hela whole cell lysate (20μg) -
Western Blot
Positive WB detected in: Hela whole cell lysate
All lanes:NAT10 antibody at 7μg/ml
Secondary
Goat polyclonal to rabbit IgG at 1/50000 dilution
Predicted band size: 116, 108 kDa
Observed band size: 116 kDa
-
-
其他:
產品詳情
-
產品名稱:Rabbit anti-Homo sapiens (Human) NAT10 Polyclonal antibody
-
Uniprot No.:
-
基因名:
-
別名:ALP antibody; DKFZp434C116 antibody; FLJ10774 antibody; FLJ12179 antibody; FLJ23850 antibody; hALP antibody; KIAA1709 antibody; N acetyltransferase 10 antibody; N acetyltransferase 10 GCN5 related antibody; N acetyltransferase like antibody; N acetyltransferase like protein antibody; N-acetyltransferase 10 antibody; NAT10 antibody; NAT10_HUMAN antibody; NET43 antibody
-
宿主:Rabbit
-
反應種屬:Human
-
免疫原:Recombinant Human RNA cytidine acetyltransferase protein (909-1025AA)
-
免疫原種屬:Homo sapiens (Human)
-
標記方式:Non-conjugated
本頁面中的產品,NAT10 Antibody (CSB-PA863939LA01HU),的標記方式是Non-conjugated。對于NAT10 Antibody,我們還提供其他標記。見下表:
-
克隆類型:Polyclonal
-
抗體亞型:IgG
-
純化方式:>95%, Protein G purified
-
濃度:It differs from different batches. Please contact us to confirm it.
-
保存緩沖液:Preservative: 0.03% Proclin 300
Constituents: 50% Glycerol, 0.01M PBS, pH 7.4 -
產品提供形式:Liquid
-
應用范圍:ELISA, WB, IHC, IP
-
推薦稀釋比:
Application Recommended Dilution WB 1:500-1:5000 IHC 1:200-1:500 IP 1:200-1:2000 -
Protocols:
-
儲存條件:Upon receipt, store at -20°C or -80°C. Avoid repeated freeze.
-
貨期:Basically, we can dispatch the products out in 1-3 working days after receiving your orders. Delivery time maybe differs from different purchasing way or location, please kindly consult your local distributors for specific delivery time.
-
用途:For Research Use Only. Not for use in diagnostic or therapeutic procedures.
相關產品
靶點詳情
-
功能:RNA cytidine acetyltransferase that catalyzes the formation of N(4)-acetylcytidine (ac4C) modification on mRNAs, 18S rRNA and tRNAs. Catalyzes ac4C modification of a broad range of mRNAs, enhancing mRNA stability and translation. mRNA ac4C modification is frequently present within wobble cytidine sites and promotes translation efficiency. Mediates the formation of ac4C at position 1842 in 18S rRNA. May also catalyze the formation of ac4C at position 1337 in 18S rRNA. Required for early nucleolar cleavages of precursor rRNA at sites A0, A1 and A2 during 18S rRNA synthesis. Catalyzes the formation of ac4C in serine and leucine tRNAs. Requires the tRNA-binding adapter protein THUMPD1 for full tRNA acetyltransferase activity but not for 18S rRNA acetylation. In addition to RNA acetyltransferase activity, also able to acetylate lysine residues of proteins, such as histones, microtubules, p53/TP53 and MDM2, in vitro. The relevance of the protein lysine acetyltransferase activity is however unsure in vivo. Activates telomerase activity by stimulating the transcription of TERT, and may also regulate telomerase function by affecting the balance of telomerase subunit assembly, disassembly, and localization. Involved in the regulation of centrosome duplication by acetylating CENATAC during mitosis, promoting SASS6 proteasome degradation.
-
基因功能參考文獻:
- immunohistochemistry staining of NAT10 in hepatocellular carcinoma tissues demonstrates that the cytoplasmic NAT10 is correlated with poorer prognosis compared with nuclear NAT10, while the membranous NAT10 predicts the poorest clinical outcome of the patients. PMID: 29634924
- Increased NAT10 expression levels are associated with shortened hepatocellular carcinoma (HCC) patient survival and correlated with mutant p53 levels. NAT10 upregulates mutant p53 level and might enhance its tumorigenic activity. Hence, it is proposed that NAT10 could be a potential prognostic and therapeutic candidate for p53-mutated HCC. PMID: 28859621
- NAT10 is acetylated in vivo and autoacetylated in vitro PMID: 27993683
- NAT10 translocates to nucleoplasm to bind and acetylate p53 at K120 upon cellular stress. PMID: 26882543
- The subcellular redistribution of NAT10 can be induced by decreases in GSK-3b activity. This redistribution increases cancer cell motility, and is, thus, correlated with invasive potential and poorer clinical outcome PMID: 24982245
- Identification of NAT10 as responsible for both 18S rRNA and leucine/serine tRNA acetylation. PMID: 25653167
- NAT10 is an ATP-dependent RNA acetyltransferase responsible for formation of N(4)-acetylcytidine (ac(4)C) at position 1842 in the terminal helix of mammalian 18 S rRNA. PMID: 25411247
- we identified hALP, a histone acetyl-transferase as a novel t-UTP PMID: 21177859
- hALP is a nucleolar protein, and the nucleolar localization is mediated by its carboxy terminal domain. PMID: 18677378
- The investigation suggested that hALP influences the activity of histone acetylation and could up-regulate telomerase activity through transactivation of hTERT promoter. PMID: 14592445
- The above results suggested that NAT10 could be involved in DNA damage response and increased cellular resistance to genotoxicity. PMID: 17180247
- chromosome de-condensation needs the function of an inner nuclear membrane (INM) protein hsSUN1 and a membrane-associated histone acetyltransferase (HAT), hALP. PMID: 17631499
- NAT10 may play an important role in cell division through facilitating reformation of the nucleolus and midbody in the late phase of cell mitosis, and stabilization of microtubules. PMID: 19303003
顯示更多
收起更多
-
亞細胞定位:Nucleus, nucleolus. Midbody.
-
蛋白家族:RNA cytidine acetyltransferase family, NAT10 subfamily
-
數據庫鏈接:
Most popular with customers
-
-
YWHAB Recombinant Monoclonal Antibody
Applications: ELISA, WB, IHC, IF, FC
Species Reactivity: Human, Mouse, Rat
-
Phospho-YAP1 (S127) Recombinant Monoclonal Antibody
Applications: ELISA, WB, IHC
Species Reactivity: Human
-
-
-
-
-















