NANOS2 Antibody
-
中文名稱:NANOS2兔多克隆抗體
-
貨號:CSB-PA583509
-
規格:¥1100
-
圖片:
-
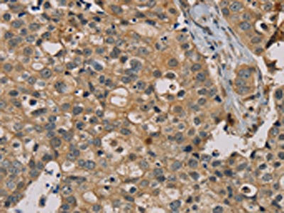
The image on the left is immunohistochemistry of paraffin-embedded Human thyroid cancer tissue using CSB-PA583509(NANOS2 Antibody) at dilution 1/20, on the right is treated with fusion protein. (Original magnification: ×200)
-
The image on the left is immunohistochemistry of paraffin-embedded Human breast cancer tissue using CSB-PA583509(NANOS2 Antibody) at dilution 1/20, on the right is treated with fusion protein. (Original magnification: ×200)
-
-
其他:
產品詳情
-
Uniprot No.:
-
基因名:NANOS2
-
別名:NANO2_HUMAN antibody; Nanos homolog 2 antibody; Nanos homolog 2 Drosophila antibody; NANOS2 antibody; NOS-2 antibody; NOS2 antibody
-
宿主:Rabbit
-
反應種屬:Human
-
免疫原:Fusion protein of Human NANOS2
-
免疫原種屬:Homo sapiens (Human)
-
標記方式:Non-conjugated
-
抗體亞型:IgG
-
純化方式:Antigen affinity purification
-
濃度:It differs from different batches. Please contact us to confirm it.
-
保存緩沖液:-20°C, pH7.4 PBS, 0.05% NaN3, 40% Glycerol
-
產品提供形式:Liquid
-
應用范圍:ELISA,IHC
-
推薦稀釋比:
Application Recommended Dilution ELISA 1:1000-1:2000 IHC 1:25-1:100 -
Protocols:
-
儲存條件:Upon receipt, store at -20°C or -80°C. Avoid repeated freeze.
-
貨期:Basically, we can dispatch the products out in 1-3 working days after receiving your orders. Delivery time maybe differs from different purchasing way or location, please kindly consult your local distributors for specific delivery time.
-
用途:For Research Use Only. Not for use in diagnostic or therapeutic procedures.
相關產品
靶點詳情
-
功能:Plays a key role in the sexual differentiation of germ cells by promoting the male fate but suppressing the female fate. Represses the female fate pathways by suppressing meiosis, which in turn results in the promotion of the male fate. Maintains the suppression of meiosis by preventing STRA8 expression, which is required for premeiotic DNA replication, after CYP26B1 is decreased. Regulates the localization of the CCR4-NOT deadenylation complex to P-bodies and plays a role in recruiting the complex to trigger the degradation of mRNAs involved in meiosis. Required for the maintenance of the spermatogonial stem cell population. Not essential for the assembly of P-bodies but is required for the maintenance of their normal state.
-
基因功能參考文獻:
- We conclude that heterogeneous population of the HEK293T cells might be easily shifted towards expression of the pluripotency markers by ectopic expression of the SON factors or by growth in serum depleted media. PMID: 27794480
- The increased NO production with increased expression of iNOS and ncNOS may contribute to the pathological and physiological features of UVB-induced erythema and skin inflammation. PMID: 14615895
- Data describe for the first time the expression pattern of the NANOS2 gene in human tissues and show that it is testis specific. We found that NANOS2 protein is present in prenatal germ cells and at later stages in spermatogenesis. PMID: 19168545
-
亞細胞定位:Cytoplasm. Cytoplasm, P-body. Cytoplasm, perinuclear region.
-
蛋白家族:Nanos family
-
組織特異性:Testis and ovary. Expression found in several spermatogenic stages: in cells on the periphery of the tubules which could correspond to spermatogonia, in spermatocytes and in round spermatids (at protein level).
-
數據庫鏈接:
Most popular with customers
-
-
YWHAB Recombinant Monoclonal Antibody
Applications: ELISA, WB, IHC, IF, FC
Species Reactivity: Human, Mouse, Rat
-
Phospho-YAP1 (S127) Recombinant Monoclonal Antibody
Applications: ELISA, WB, IHC
Species Reactivity: Human
-
-
-
-
-















