NAMPT Antibody
-
中文名稱:NAMPT兔多克隆抗體
-
貨號:CSB-PA200625
-
規格:¥1100
-
圖片:
-
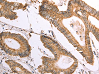
The image on the left is immunohistochemistry of paraffin-embedded Human colon cancer tissue using CSB-PA200625(NAMPT Antibody) at dilution 1/30, on the right is treated with fusion protein. (Original magnification: ×200)
-
The image on the left is immunohistochemistry of paraffin-embedded Human thyroid cancer tissue using CSB-PA200625(NAMPT Antibody) at dilution 1/30, on the right is treated with fusion protein. (Original magnification: ×200)
-
Gel: 10%SDS-PAGE, Lysate: 40 μg, Lane 1-5: A375 cells, 293T cells, mouse liver tissue, Jurkat cells, human fetal kidney tissue, Primary antibody: CSB-PA200625(NAMPT Antibody) at dilution 1/700, Secondary antibody: Goat anti rabbit IgG at 1/8000 dilution, Exposure time: 1 minute
-
-
其他:
產品詳情
-
Uniprot No.:
-
基因名:
-
別名:1110035O14Rik antibody; AI314458 antibody; AI480535 antibody; DKFZP666B131 antibody; EC 2.4.2.12 antibody; MGC117256 antibody; NAmPRTase antibody; Nampt antibody; NAMPT_HUMAN antibody; Nicotinamide phosphoribosyltransferase antibody; PBEF 1 antibody; PBEF antibody; PBEF1 antibody; Pre B cell colony enhancing factor 1 antibody; Pre B cell colony enhancing factor antibody; Pre B cell enhancing factor antibody; Pre-B cell-enhancing factor antibody; Pre-B-cell colony-enhancing factor 1 antibody; VF antibody; Visfatin antibody
-
宿主:Rabbit
-
反應種屬:Human,Mouse,Rat
-
免疫原:Fusion protein of Human NAMPT
-
免疫原種屬:Homo sapiens (Human)
-
標記方式:Non-conjugated
-
抗體亞型:IgG
-
純化方式:Antigen affinity purification
-
濃度:It differs from different batches. Please contact us to confirm it.
-
保存緩沖液:-20°C, pH7.4 PBS, 0.05% NaN3, 40% Glycerol
-
產品提供形式:Liquid
-
應用范圍:ELISA,WB,IHC
-
推薦稀釋比:
Application Recommended Dilution ELISA 1:2000-1:5000 WB 1:500-1:2000 IHC 1:50-1:200 -
Protocols:
-
儲存條件:Upon receipt, store at -20°C or -80°C. Avoid repeated freeze.
-
貨期:Basically, we can dispatch the products out in 1-3 working days after receiving your orders. Delivery time maybe differs from different purchasing way or location, please kindly consult your local distributors for specific delivery time.
-
用途:For Research Use Only. Not for use in diagnostic or therapeutic procedures.
相關產品
靶點詳情
-
功能:Catalyzes the condensation of nicotinamide with 5-phosphoribosyl-1-pyrophosphate to yield nicotinamide mononucleotide, an intermediate in the biosynthesis of NAD. It is the rate limiting component in the mammalian NAD biosynthesis pathway. The secreted form behaves both as a cytokine with immunomodulating properties and an adipokine with anti-diabetic properties, it has no enzymatic activity, partly because of lack of activation by ATP, which has a low level in extracellular space and plasma. Plays a role in the modulation of circadian clock function. NAMPT-dependent oscillatory production of NAD regulates oscillation of clock target gene expression by releasing the core clock component: CLOCK-ARNTL/BMAL1 heterodimer from NAD-dependent SIRT1-mediated suppression.
-
基因功能參考文獻:
- chemerin and leptin are elevated and omentin-1 and visfatin levels are decreased in Gestational diabetes mellitus women complicated by obesity. PMID: 29337272
- fat mass percentage together with HOMA-IR are the most significant predictors of visfatin/NAMPT serum elevation in hyperthyroid patients. PMID: 30184561
- Serum levels of visfatin were significant higher in HCC patients than healthy subjects. It was significantly associated with the histology and metastasis. Visfatin induced miR-21 expression and cell migration in HepG2 cells. PMID: 29808800
- Knockdown of Nampt expression increased the expression of Aggrecan and Collagen II inhibited by IL-1beta and the autophagic markers, LC3 and Beclin-1, confirmed APO866 induced NP cell autophagy and blocks IL-1beta induction considerably. PMID: 30261504
- The study showed for the first time serum omentin and visfatin levels to be decreased after lung transplantation in end-stage lung disease patients PMID: 29277835
- We conclude that the low placental visfatin (NAMPT) expression and poor metabolic control in the 3(rd) trimester of pregnancy may have a role in stimulating fetal overgrowth in T1DM pregnancy. PMID: 29769421
- no significant differences in genotype frequencies between preterm birth cases and controls; but maternal blood level higher in A allele carriers of rs61330082 PMID: 28482725
- higher visfatin levels in erosive hand osteoarthritis (HOA) in comparison to nnonerosive HOA PMID: 29105498
- obese subjects with GG genotype of visfatin who had high PUFA-intake diets had lower hip z scores and T scores, unlike the other genotypes PMID: 29355093
- Review/Meta-analysis: circulating visfatin levels were significantly higher in patients with rheumatoid arthritis and a positive correlation was suggested with disease activity. PMID: 28205390
- Observed NAMPT overexpression in patients with Graves' disease with and without (GO) orbitopathy and its relatively low levels in thyroids of patients with Graves' disease (GD)without eye changes do not confirm causal relationship between NAMPT level and orbitopathy, but this needs further investigation. PMID: 29546048
- Visfatin seems to be a good marker of endometrial cancer progress. High visfatin serum level predicts poor prognosis in endometrial cancer patients. PMID: 29516012
- NAMPT expression downregulation by mir-206 reduces cell survival of breast cancer cells PMID: 29886033
- No correlation between IDH1/2 mutation status and sensitivity for NAMPT inhibitors was observed. Strikingly, higher methylation of the NAPRT promoter was observed in high-grade versus low-grade chondrosarcomas. In conclusion, this study identified NAMPT as a potential target for treatment of chondrosarcoma PMID: 28860121
- NAMPT as a key player in BRAFi resistance and melanoma cell plasticity PMID: 29567766
- This study has shown Resistin, and Visfatin synergistically increased gastric cancer cell proliferation and enhanced the telomerase gene expression, showing that these two hormones in gastric cancer tissue could cooperatively accelerate cancer cell growth PMID: 29228527
- Serum Nampt was increased in diabetic nephropathy patients. PMID: 28699485
- NAMPT is highly upregulated in human gingival fibroblasts, while its enzymatic activity acts as a crucial mediator of periodontal inflammation and alveolar bone destruction via regulation of catabolic factors COX-2, MMP1, and MMP3 levels. PMID: 28819322
- Results show that adiponectin, resistin and visfatin are present in osteophytes but have no direct influence on osteophyte development. Although these adipokines induce several inflammatory mediators, they do not affect osteoblast- or chondrocyte-related mechanisms of osteophyte development. PMID: 27884778
- Cells were treated with 10 nM FK866, an NAMPT inhibitor, resulting in a decrease in the cellular NAD level. PMID: 28714034
- data indicate that visfatin induces endothelial progenitor cells apoptosis by increasing the expression of pro-inflammatory mediators partly through the regulation of NF-kappaB. PMID: 28677720
- study thus demonstrates that the inhibition of PBEF attenuates oxidative stress and inflammation induced by hyperoxia in EA.hy926 cells. PMID: 28677752
- hsa_circ_0005105 can promote extracellular matrix (ECM) degradation by regulating the expression of miR-26a target NAMPT. PMID: 28276108
- Careful characterization of the kinetics of NAMPT inhibition in vivo allowed us to optimize dosing to produce sufficient NAD(+) depletion over time that resulted in efficacy in an HCT116 xenograft model. Our data demonstrate that direct phosphoribosylation of competitive inhibitors by the NAMPT enzyme is not required for potent in vitro cellular activity or in vivo antitumor efficacy. PMID: 28468779
- Results suggested that visfatin -1535C>T polymorphisms might be associated with decreased risk of HBV-HCC among the ethnic Zhuang population in Guangxi, China. PMID: 27792999
- the present study elucidated the pathophysiological role of visfatin in breast cancer and revealed a proliferative and protective role for visfatin PMID: 28442350
- serum level associated with increased odds of severe hypertension PMID: 26869250
- In this cohort of resistant hypertension patients diagnosed with ambulatory blood pressure measurements, the investigators found an independent correlation between higher visfatin levels and the presence of resistant hypertension and left ventricular hypertrophy. PMID: 28240682
- A potential oncogenic role of Nampt in Waldenstrom macroglobulinemia cells. PMID: 27287071
- factor with strong correlation with high visfatin values (p=0.001). High Visfatin levels seem to be strongly correlated with the presence and severity of peripheral arterial occlusive disease. PMID: 28073026
- These results suggested that the plasma visfatin level is associated with the presence of hepatocellular carcinoma (HCC), and that a higher plasma visfatin level may be important in the pathogenesis of HCC. PMID: 27770715
- Increased expression of visfatin are associated with a more aggressive phenotype of colorectal carcinoma patients. It can trigger the epithelial mesenchymal transformation of CRC cells via Akt/GSK-3beta/beta-catenin signals. PMID: 27058759
- Results showed that rs34861192 of RETN and rs13237989 of NAMPT synergistically affected the levels of insulin and glycemic index. PMID: 29101068
- In summary, NAMPT is produced in human spermatozoa in a maturation-dependent manner. PMID: 27566659
- Non-surgical periodontal treatment resulted in a significant reduction in gingival crevicular fluid and serum visfatin levels. Furthermore, visfatin levels increased with inflammation and decreased following periodontal treatment. Our findings suggest that visfatin is an inflammatory biomarker of periodontal disease PMID: 28025432
- Accordingly, our results demonstrated that NAMPT is a prognostic marker in melanoma, and the identificationofNAMPT-E2F2-SIRT1 pathway establishes another link between NAMPT and apoptosis events in melanoma, with therapeutic implications for this deadly cancer. PMID: 28919418
- systemic circulating NAMPT levels were closely associated with NAMPT release from corresponding cultured PBMCs. In conclusion, NAMPT is selectively increased in states of acute but not chronic inflammation in children PMID: 28837586
- It focusing on NAMPT immunometabolic function as a metabokine, NAMPT secretion, NAMPT mechanism of action and possible roles in the cancer micro-environment. PMID: 27128025
- Authors show the gene encoding nicotinic acid phosphoribosyltransferase (NAPRT), a second NAD(+)-producing enzyme, is amplified and overexpressed in a subset of common types of cancer, including ovarian cancer. PMID: 28507103
- This study shows that expression of SDF-1alpha, eNOS and VEGF were significantly higher in uterine leiomyoma than myometrium with a different expression pattern according to the size of uterine leiomyoma. However, expressions of visfatin and leptin had no significant differences between the two groups. PMID: 28010141
- Results indicate that increased serum visfatin levels are associated with poor prognosis of hepatocellular carcinoma (HCC), and visfatin may be a potential therapeutic target of HCC. PMID: 28178643
- Nampt expression is a reliable marker of progression in cervical dysplasia and squamous cell carcinoma. PMID: 28870901
- Visfatin increases the nuclear translocation of Akt and its binding with ABCC1. These data showed that visfatin can decrease doxorubicin sensitivity of Non-small-cell lung cancer cells via activation of Akt/MRP1. PMID: 28762597
- Results suggest a mechanism by which tumor cells protect themselves against glucose deprivation-induced oxidative stress by utilizing nicotinamide phosphoribosyltransferase (NAMPT) to maintain NADPH levels. PMID: 26568303
- The combination of upregulation of the NAD(+) de novo synthesis pathway through QPRT over-expression and NAMPT mutation confers resistance to GMX1778, but the cells are only partially resistant to next-generation NAMPT inhibitors. The resistance mechanisms uncovered herein provide a potential avenue to continue exploration of next generation NAMPT inhibitors to treat neoplasms in the clinic. PMID: 28756225
- this study shows that upstream visfatin SNPs could potentially affect phenotypic outcome in obese children through alteration of circulating visfatin level. PMID: 27887573
- Lack of changes in serum visfatin level despite the changes in visfatin mRNA expression of adipose tissue suggests paracrine effect of visfatin rather than endocrine PMID: 26486101
- Ascending aorta from aortic aneurysm patient,s revealed an inverse relationship between smooth muscle cell NAMPT content and aortic diameter. PMID: 28356339
- Visfatin significantly correlated with BMI and hot flashes number in postmenopausal women with metabolic syndrome. PMID: 27126198
- Single nucleotide polymorphism in the NAMPT gene is associated with inflammation in chronic kidney disease. PMID: 27190335
顯示更多
收起更多
-
亞細胞定位:Nucleus. Cytoplasm. Secreted.
-
蛋白家族:NAPRTase family
-
組織特異性:Expressed in large amounts in bone marrow, liver tissue, and muscle. Also present in heart, placenta, lung, and kidney tissues.
-
數據庫鏈接:
Most popular with customers
-
-
YWHAB Recombinant Monoclonal Antibody
Applications: ELISA, WB, IHC, IF, FC
Species Reactivity: Human, Mouse, Rat
-
Phospho-YAP1 (S127) Recombinant Monoclonal Antibody
Applications: ELISA, WB, IHC
Species Reactivity: Human
-
-
-
-
-















