NAAA Antibody
-
中文名稱:NAAA兔多克隆抗體
-
貨號:CSB-PA22919A0Rb
-
規格:¥440
-
圖片:
-
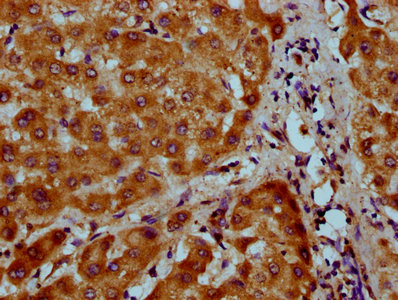
IHC image of CSB-PA22919A0Rb diluted at 1:200 and staining in paraffin-embedded human liver tissue performed on a Leica BondTM system. After dewaxing and hydration, antigen retrieval was mediated by high pressure in a citrate buffer (pH 6.0). Section was blocked with 10% normal goat serum 30min at RT. Then primary antibody (1% BSA) was incubated at 4°C overnight. The primary is detected by a biotinylated secondary antibody and visualized using an HRP conjugated SP system.
-
-
其他:
產品詳情
-
產品名稱:Rabbit anti-Homo sapiens (Human) NAAA Polyclonal antibody
-
Uniprot No.:
-
基因名:NAAA
-
別名:Acid ceramidase like protein antibody; Acid ceramidase-like protein antibody; ASAH like protein antibody; ASAH-like protein antibody; N acylethanolamine acid amidase antibody; N acylethanolamine hydrolyzing acid amidase antibody; N acylsphingosine amidohydrolase (acid ceramidase) like antibody; N acylsphingosine amidohydrolase like antibody; N acylsphingosine amidohydrolase like protein antibody; N-acylethanolamine-hydrolyzing acid amidase subunit beta antibody; N-acylsphingosine amidohydrolase-like antibody; Naaa antibody; NAAA_HUMAN antibody; PLT antibody
-
宿主:Rabbit
-
反應種屬:Human
-
免疫原:Recombinant Human N-acylethanolamine-hydrolyzing acid amidase protein (29-199AA)
-
免疫原種屬:Homo sapiens (Human)
-
標記方式:Non-conjugated
本頁面中的產品,NAAA Antibody (CSB-PA22919A0Rb),的標記方式是Non-conjugated。對于NAAA Antibody,我們還提供其他標記。見下表:
-
克隆類型:Polyclonal
-
抗體亞型:IgG
-
純化方式:>95%, Protein G purified
-
濃度:It differs from different batches. Please contact us to confirm it.
-
保存緩沖液:Preservative: 0.03% Proclin 300
Constituents: 50% Glycerol, 0.01M PBS, pH 7.4 -
產品提供形式:Liquid
-
應用范圍:ELISA, IHC
-
推薦稀釋比:
Application Recommended Dilution IHC 1:200-1:500 -
Protocols:
-
儲存條件:Upon receipt, store at -20°C or -80°C. Avoid repeated freeze.
-
貨期:Basically, we can dispatch the products out in 1-3 working days after receiving your orders. Delivery time maybe differs from different purchasing way or location, please kindly consult your local distributors for specific delivery time.
-
用途:For Research Use Only. Not for use in diagnostic or therapeutic procedures.
相關產品
靶點詳情
-
功能:Degrades bioactive fatty acid amides to their corresponding acids, with the following preference: N-palmitoylethanolamine > N-myristoylethanolamine > N-lauroylethanolamine = N-stearoylethanolamine > N-arachidonoylethanolamine > N-oleoylethanolamine. Also exhibits weak hydrolytic activity against the ceramides N-lauroylsphingosine and N-palmitoylsphingosine.
-
基因功能參考文獻:
- Variants a1 and a2 encoded the same full-length NAAA protein. PMID: 27693242
- The results suggest that N-acylethanolamine acid amidase and protein tyrosine kinase 7 may be used as potential tissue biomarkers to avoid overtreatment of non-aggressive prostate cancer PMID: 24741114
- MALDI-TOF MS analysis of the human NAAA zymogen (47.7 kDa) treated with peptide-N-glycosidase F (PNGase F) identified 4 glycosylation sites, and acid cleavage of the zymogen into alpha- and beta-subunits (14.6 and 33.3 kDa) activated the enzyme. PMID: 22040171
- The level and activity of acid ceramidase in Alzheimer disease (AD) brain may play a role in controlling neuronal apoptosis and may mediate signalling pathways involved in the molecular mechanism of AD. PMID: 15610181
- Asn-37, Asn-107, Asn-309, and Asn-333 are actual N-glycosylation sites. The glycosylation appeared to play an important role in stabilizing the enzyme protein. PMID: 17980170
- we describe the overexpression and processing of recombinant human acid ceramidase in insect cells, its purification and characterization PMID: 18020949
- These results showed that both N-acylethanolamine-hydrolysing acid amidase and fatty acid amide hydrolase are functionally active in human prostate cancer cells. PMID: 18806270
顯示更多
收起更多
-
亞細胞定位:Lysosome. Membrane; Peripheral membrane protein.
-
蛋白家族:Acid ceramidase family
-
組織特異性:Expressed in numerous tissues, with highest levels in liver and kidney, followed by pancreas.
-
數據庫鏈接:
Most popular with customers
-
Phospho-YAP1 (S127) Recombinant Monoclonal Antibody
Applications: ELISA, WB, IHC
Species Reactivity: Human
-
-
-
-
-
-
-















