Mono-methyl-H2AFZ (K7) Antibody
-
中文名稱:Mono-methyl-H2AFZ (K7)兔多克隆抗體
-
貨號:CSB-PA010100OA07me1HU
-
規格:¥440
-
圖片:
-
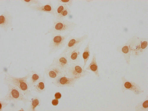
Immunocytochemistry analysis of CSB-PA010100OA07me1HU diluted at 1:20 and staining in Hela cells performed on a Leica BondTM system. The cells were fixed in 4% formaldehyde, permeabilized using 0.2% Triton X-100 and blocked with 10% normal goat serum 30min at RT. Then primary antibody (1% BSA) was incubated at 4°C overnight. The primary is detected by a biotinylated secondary antibody and visualized using an HRP conjugated SP system.
-
-
其他:
產品詳情
-
產品名稱:Rabbit anti-Homo sapiens (Human) H2AFZ Polyclonal antibody
-
Uniprot No.:
-
基因名:
-
別名:Histone H2A.Z (H2A/z), H2AFZ, H2AZ
-
宿主:Rabbit
-
反應種屬:Human
-
免疫原:Synthesized peptide derived from Human Histone H2A.Z protein (2-14aa)
-
免疫原種屬:Homo sapiens (Human)
-
標記方式:Non-conjugated
-
克隆類型:Polyclonal
-
抗體亞型:IgG
-
純化方式:Antigen Affinity Purified
-
濃度:It differs from different batches. Please contact us to confirm it.
-
保存緩沖液:Preservative: 0.03% Proclin 300
Constituents: 50% Glycerol, 0.01M PBS, pH 7.4 -
產品提供形式:Liquid
-
應用范圍:ELISA, ICC
-
推薦稀釋比:
Application Recommended Dilution ICC 1:10-1:100 -
Protocols:
-
儲存條件:Upon receipt, store at -20°C or -80°C. Avoid repeated freeze.
-
貨期:Basically, we can dispatch the products out in 1-3 working days after receiving your orders. Delivery time maybe differs from different purchasing way or location, please kindly consult your local distributors for specific delivery time.
-
用途:For Research Use Only. Not for use in diagnostic or therapeutic procedures.
相關產品
靶點詳情
-
功能:Variant histone H2A which replaces conventional H2A in a subset of nucleosomes. Nucleosomes wrap and compact DNA into chromatin, limiting DNA accessibility to the cellular machineries which require DNA as a template. Histones thereby play a central role in transcription regulation, DNA repair, DNA replication and chromosomal stability. DNA accessibility is regulated via a complex set of post-translational modifications of histones, also called histone code, and nucleosome remodeling. May be involved in the formation of constitutive heterochromatin. May be required for chromosome segregation during cell division.
-
基因功能參考文獻:
- H2A.Z associates with epigenetic gene activation in prostate cancer.Acetylated H2A.Z role in activation of newly formed enhancers in prostate cancer. PMID: 29116202
- The present study demonstrated that H2A.Z is overexpressed in ICC and expression of H2A.Z correlated with poor prognosis in patients with ICC. H2A.Z regulated cell proliferation in vitro and in vivo via H2A.Z/S-phase kinase-associated protein 2/p27/p21 signaling. PMID: 29532867
- study identifies GAS41 as a histone acetylation reader that promotes histone H2A.Z deposition in non-small cell lung cancer. PMID: 29437725
- Two possible modes of pioneering associated with combinations of H2A.Z and p300/CBP at nucleosome-occupied enhancers. PMID: 28301306
- Results indicate that accumulation of H2A.Z within repressed genes can also be a consequence of the repression of gene transcription rather than an active mechanism required to establish the repression. PMID: 29036442
- Findings suggest the oncogenic potential of H2A.Z.1 in liver tumorigenesis and that it plays established role in accelerating cell cycle transition and EMT during hepatocarcinogenesis. PMID: 26863632
- Crystal structure results show that the flexible character of the H2A.Z L1 loop plays an essential role in forming the stable heterotypic H2A.Z/H2A nucleosome. PMID: 27358293
- Monoubiquitination of histone H2B blocks eviction of histone variant H2A.Z from inducible enhancers. PMID: 27692985
- Thus, PWWP2A is a novel H2A.Z-specific multivalent chromatin binder providing a surprising link between H2A.Z, chromosome segregation, and organ development. PMID: 28645917
- SMYD3-mediated H2A.Z.1K101 dimethylation activates cyclin A1 expression and contributes to driving the proliferation of breast cancer cells. PMID: 27569210
- Results suggest that the N-terminal tail of H2A.Z makes distinctively different contributions to epigenetic events. PMID: 26833946
- the H2AFZ gene may confer a risk for schizophrenia and contribute to the impairment of executive function in Han Chinese patients with schizophrenia. PMID: 26246156
- The 2.7-A-resolution crystal structure of the human YL1-H2A.Z-H2B complex shows that YL1 binding, similarly to ANP32E binding, triggers an extension of the H2A.Z alphaC helix. PMID: 26974126
- H2A.Z removal from chromatin is the primary function of INO80 and ANP32E in promoting homologous recombination. PMID: 26142279
- Results demonstrated male-selective association of the H2AFZ gene with schizophrenia, and that modification of the H2AFZ signaling pathway warrants further study in terms of the pathophysiology of schizophrenia PMID: 25392085
- Dynamic modulation of H2A.Z exchange and removal by Anp32e reveals the importance of the nucleosome surface and nucleosome dynamics in processing the damaged chromatin template during DSB repair. PMID: 26034280
- The findings implicate H2A.Z.2 as a mediator of cell proliferation and drug sensitivity in malignant melanoma. PMID: 26051178
- the predictive values regarding low expressions of H2AFZ and CASP8AP2 and high white blood cell count suggest that these features could help to identify more accurately patients at greater risk of relapse. PMID: 24397596
- Anp32e may help to resolve the non-nucleosomal H2A.Z aggregates and also facilitate the removal of H2A.Z at the +1 nucleosomes, and the latter may help RNA polymerase II to pass the first nucleosomal barrier. PMID: 24613878
- Study mapped H2A.Z genome-wide in embryonic stem cells and neural progenitors; H2A.Z is deposited at promoters and enhancers, and correlates strongly with H3K4 methylation. H2A.Z is present at poised promoters with bivalent chromatin and at active promoters with H3K4 methylation, but is absent from stably repressed promoters that are enriched for H3K27 trimethylation. PMID: 23034477
- Depletion of H2A.Z in the osteosarcoma U2OS cell line and in immortalized human fibroblasts does not change parameters of DNA double-strand breaks repair while affecting clonogenic ability and cell cycle distribution. PMID: 24240188
- A mutational analysis revealed that the amino-acid difference at position 38 is at least partially responsible for the structural polymorphism in the L1 loop region of H2A.Z.1 and H2A.Z.2. PMID: 24311584
- Sirt1 and H2A.Z deregulation in prostate cancer are related. Epigenetic mechanisms, mostly histone post-translational modifications, are likely involved and impair sirt1-mediated downregulation of H2A.Z via proteasome-mediated degradation. PMID: 24127549
- H2A.Z-dependent crosstalk between enhancer and promoter regulates cyclin D1 expression. PMID: 23108396
- SETD6 monomethylates H2AZ on lysine 7. PMID: 23324626
- Data show that histone deacetylase inhibitors (HDACi) induce p21 transcription and reduce cell proliferation of MDA-MB231, an ERalpha-negative mammary tumor cell line, in a H2A.Z dependent manner. PMID: 23349794
- Data indicate that histone H2A.Z as a protein capable of binding ST1926 specifically. PMID: 23245330
- age-dependent p400 downregulation and loss of H2A.Z localisation may contribute to the onset of replicative senescence through a sustained high rate of p21 transcription PMID: 23146670
- H2A.Z exchange promotes specific patterns of histone modification and reorganization of the chromatin architecture, leading to the assembly of a chromatin template that is an efficient substrate for the DNA double-strand break repair machinery. PMID: 23122415
- ZNF24 may be implicated in transcriptional regulation of genes associated with oncogenesis via interaction with H2A.Z. PMID: 22678762
- incorporation of the histone variant H2A.Z at the promoter regions of PPARgamma target genes by p400/Brd8 is essential to allow fat cell differentiation PMID: 23064015
- nucleosomes containing H2AZ are primarily composed of H4 K12ac and H3 K4me3 but not H3 K36me3 PMID: 22393239
- The short forms of H2A.Z in both yeast and human cells are more loosely associated with chromatin than the full-length proteins, indicating a conserved function for the H2A.Z C-terminal tail in regulating the association of H2A.Z with nucleosomes. PMID: 22493515
- acetylation of H2A.Z is a key modification associated with gene activity in normal cells and epigenetic gene deregulation in tumorigenesis. PMID: 21788347
- H2A.Z is maintained during mitosis and marks the +1 nucleosome of active genes, which shifts during mitosis, resulting in occupancy at the transcriptional start site and a reduced nucleosome-depleted region. PMID: 20864037
- This review provides a brief overview of H2A.Z biology and presents hypotheses that could reconcile contradictory reports that are found in the literature regarding the influence of H2A.Z on nucleosome stability. PMID: 20364108
- Eesterogen Receptor alpha directly associates to the H2A.Z promoter, and consequently modulates its expression. PMID: 20023423
- chromatin remodeling at the c-myc gene involves the local exchange of histone H2A.Z PMID: 15878876
- neither H2AZ itself nor other features of the H2AZ-containing nucleosome spread to the neighboring nucleosomes in vivo, arguing against a role for H2AZ as a self-perpetuating epigenetic mark PMID: 16809769
- identify the essential histone variant H2A.Z as a new structural component of the centromere PMID: 17194760
- Monoubiquitylation of H2A.z distinguishes its association with euchromatin or facultative heterochromatin. PMID: 17636032
- Upon DNA damage, histone H2A.Z is first evicted from the p21 promoter, followed by the recruitment of the Tip60 histone acetyltransferase to activate p21 transcription. PMID: 17671089
- histone variant H2A.Z is associated with breast cancer progression PMID: 18414489
- Results show that H2A.Z nucleosomes protect only approximately 120 bp of DNA from MNase digestion and exhibit specific sequence preferences, suggesting a novel mechanism of nucleosome organization for the H2A.Z variant. PMID: 19246569
- Both genetic and epigenetic features are likely to participate in targeting H2A.Z to distinct chromatin loci. PMID: 19261190
- The nucleosome destabilizing effect of H2A.Z acetylation takes place synergistically with the acetylation of the rest of the core histones. PMID: 19385636
- H2A.Z is incorporated into the promoter regions of estrogen receptor (ERalpha) target genes only upon gene induction, and that, in a cyclic pattern PMID: 19515975
- show that upon gene induction, human H2A.Z associates with gene promoters and helps in recruiting the transcriptional machinery. PMID: 19834540
- Both H2A.Z and H3.3 affect nucleosome positioning, either creating new positions or altering the relative occupancy of the existing nucleosome position space. Only H2A.Z-containing nucleosomes exhibit altered linker histone binding. PMID: 19856965
顯示更多
收起更多
-
亞細胞定位:Nucleus. Chromosome.
-
蛋白家族:Histone H2A family
-
數據庫鏈接:
Most popular with customers
-
-
Phospho-YAP1 (S127) Recombinant Monoclonal Antibody
Applications: ELISA, WB, IHC
Species Reactivity: Human
-
-
-
-
-
-
VDAC1 Recombinant Monoclonal Antibody
Applications: ELISA, WB, IHC
Species Reactivity: Human, Mouse, Rat















