Map2 Antibody
-
中文名稱:Map2兔多克隆抗體
-
貨號:CSB-PA679670
-
規格:¥1100
-
圖片:
-
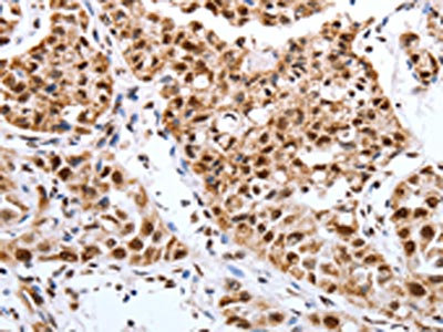
The image on the left is immunohistochemistry of paraffin-embedded Human colon cancer tissue using CSB-PA679670(Map2 Antibody) at dilution 1/40, on the right is treated with synthetic peptide. (Original magnification: ×200)
-
The image on the left is immunohistochemistry of paraffin-embedded Human lung cancer tissue using CSB-PA679670(Map2 Antibody) at dilution 1/40, on the right is treated with synthetic peptide. (Original magnification: ×200)
-
Gel: 8+10+12%SDS-PAGE, Lysate: 50 μg, Lane: Human lymphoma tissue, Primary antibody: CSB-PA679670(Map2 Antibody) at dilution 1/400, Secondary antibody: Goat anti rabbit IgG at 1/8000 dilution, Exposure time: 90 seconds
-
-
其他:
產品詳情
-
Uniprot No.:
-
基因名:
-
別名:Map2 antibody; Mtap2 antibody; Microtubule-associated protein 2 antibody; MAP-2 antibody
-
宿主:Rabbit
-
反應種屬:Human,Mouse,Rat
-
免疫原:Synthetic peptide of Mouse Map2
-
免疫原種屬:Mus musculus (Mouse)
-
標記方式:Non-conjugated
-
抗體亞型:IgG
-
純化方式:Antigen affinity purification
-
濃度:It differs from different batches. Please contact us to confirm it.
-
保存緩沖液:-20°C, pH7.4 PBS, 0.05% NaN3, 40% Glycerol
-
產品提供形式:Liquid
-
應用范圍:ELISA,WB,IHC
-
推薦稀釋比:
Application Recommended Dilution ELISA 1:1000-1:5000 WB 1:200-1:1000 IHC 1:50-1:200 -
Protocols:
-
儲存條件:Upon receipt, store at -20°C or -80°C. Avoid repeated freeze.
-
貨期:Basically, we can dispatch the products out in 1-3 working days after receiving your orders. Delivery time maybe differs from different purchasing way or location, please kindly consult your local distributors for specific delivery time.
-
用途:For Research Use Only. Not for use in diagnostic or therapeutic procedures.
相關產品
靶點詳情
-
功能:The exact function of MAP2 is unknown but MAPs may stabilize the microtubules against depolymerization. They also seem to have a stiffening effect on microtubules.
-
基因功能參考文獻:
- MAP2c levels in different brain regions of aging mice were positively correlated with neuropsin expression. PMID: 24965600
- Accumulation of intraneuronal beta-amyloid 42 peptides is associated with early changes in microtubule-associated protein 2 in neurites and synapses. PMID: 23372648
- results demonstrate the structural and functional determinant underlying the v-KIND-MAP2 interaction that controls dendrite arborization patterns PMID: 21385318
- Increased MAP2 expression in malignant melanoma cells significantly inhibits tumor cell growth and neoplasm invasiveness, and induces apoptosis and cell cycle arrest. PMID: 20100193
- Data show that inhibition of ZNF238 (RP58) expression in mouse GNPs decreases the expression of the neuronal differentiation markers MAP2 and NeuN and downregulates the expression of the cell cycle arrest protein p27, a regulator of GNP differentiation. PMID: 20103640
- Nitric oxide affects the phosphorylation state of microtubule-associated protein 2 in brain. PMID: 11829530
- PKA binding to MAP2 and MAP2 phosphorylation is essential for the selective development of contextual memory. PMID: 12763072
- Multiple brain regions exhibit potential for endogenous recovery and/or reorganization of MAP2 after injury of moderate traumatic severity. PMID: 14588114
- As young adults, S100B transgenic mice exhibit significantly greater MAP-2-immunoreactivity in the hippocampus, however in older adults, less MAP-2 staining is exhibited. PMID: 15306236
- JNK1 phosphorylation of MAP2 plays an important role in defining dendritic architecture in the brain. PMID: 16000625
- We also propose MAP2-deficient mice as an ideal system for identifying protein phosphatases essential for dendritic functions. PMID: 16257389
- MAP2 was increased in old females compared with both young and middle-age females with no significant difference in males, suggesting it may constitute a compensatory response to age-related functional decline in mice. PMID: 16330151
- TTLL7 is a mammalian beta-tubulin polyglutamylase required for growth of MAP2-positive neurites PMID: 16901895
- v-KIND mediates a signaling pathway that links Ras and MAP2 to control dendrite growth PMID: 17984326
- AKAP150 and Mtap2 put TREK channels at the center of a complex protein network that finely tunes channel trafficking, addressing, and regulation. PMID: 18716213
顯示更多
收起更多
-
亞細胞定位:Cytoplasm, cytoskeleton. Cell projection, dendrite.
-
數據庫鏈接:
Most popular with customers
-
-
YWHAB Recombinant Monoclonal Antibody
Applications: ELISA, WB, IHC, IF, FC
Species Reactivity: Human, Mouse, Rat
-
Phospho-YAP1 (S127) Recombinant Monoclonal Antibody
Applications: ELISA, WB, IHC
Species Reactivity: Human
-
-
-
-
-















