MYO15A Antibody
-
中文名稱:MYO15A兔多克隆抗體
-
貨號:CSB-PA891537LA01HU
-
規格:¥440
-
圖片:
-
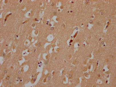
IHC image of CSB-PA891537LA01HU diluted at 1:200 and staining in paraffin-embedded human brain tissue performed on a Leica BondTM system. After dewaxing and hydration, antigen retrieval was mediated by high pressure in a citrate buffer (pH 6.0). Section was blocked with 10% normal goat serum 30min at RT. Then primary antibody (1% BSA) was incubated at 4°C overnight. The primary is detected by a Goat anti-rabbit polymer IgG labeled by HRP and visualized using 0.05% DAB.
-
-
其他:
產品詳情
-
產品名稱:Rabbit anti-Homo sapiens (Human) MYO15A Polyclonal antibody
-
Uniprot No.:
-
基因名:MYO15A
-
別名:DFNB3 antibody; MYO15 antibody; MYO15_HUMAN antibody; MYO15A antibody; Myosin XV antibody; Myosin XVA antibody; Unconventional myosin 15 antibody; Unconventional myosin XV antibody; Unconventional myosin-15 antibody; Unconventional myosin-XV antibody
-
宿主:Rabbit
-
反應種屬:Human
-
免疫原:Recombinant Human Unconventional myosin-XV protein (237-451AA)
-
免疫原種屬:Homo sapiens (Human)
-
標記方式:Non-conjugated
本頁面中的產品,MYO15A Antibody (CSB-PA891537LA01HU),的標記方式是Non-conjugated。對于MYO15A Antibody,我們還提供其他標記。見下表:
-
克隆類型:Polyclonal
-
抗體亞型:IgG
-
純化方式:>95%, Protein G purified
-
濃度:It differs from different batches. Please contact us to confirm it.
-
保存緩沖液:Preservative: 0.03% Proclin 300
Constituents: 50% Glycerol, 0.01M PBS, PH 7.4 -
產品提供形式:Liquid
-
應用范圍:ELISA, IHC
-
推薦稀釋比:
Application Recommended Dilution IHC 1:200-1:500 -
Protocols:
-
儲存條件:Upon receipt, store at -20°C or -80°C. Avoid repeated freeze.
-
貨期:Basically, we can dispatch the products out in 1-3 working days after receiving your orders. Delivery time maybe differs from different purchasing way or location, please kindly consult your local distributors for specific delivery time.
-
用途:For Research Use Only. Not for use in diagnostic or therapeutic procedures.
相關產品
靶點詳情
-
功能:Myosins are actin-based motor molecules with ATPase activity. Unconventional myosins serve in intracellular movements. Their highly divergent tails are presumed to bind to membranous compartments, which would be moved relative to actin filaments. Required for the arrangement of stereocilia in mature hair bundles.
-
基因功能參考文獻:
- Some recessive MYO15A variants can cause postlingual onset of progressive partial deafness. PMID: 29482514
- Study identified three novel mutations in MYO15A gene causing autosomal recessive nonsyndromic hearing loss in a Chinese family. PMID: 29849560
- Six novel MYO15 mutations were identified in a family with nonsyndromic hearing loss. PMID: 29692870
- MYO15A mutation was corrected by CRISPR/Cas9 system in the iPSCs and rescued the morphology and function of the derived hair cell-like cells. PMID: 26915297
- Study reports 14 novel recessive mutations in MYO15A that might be a deafness-causing mutations. Also, in the inner ear, myosin 15 seems to be necessary both for the development and the long-term maintenance of stereocilia. PMID: 27375115
- We identified in Moroccan deaf patients two mutations in PJVK and one mutation in MYO15A described for the first time in association with non-syndromic recessive hearing loss. PMID: 28964305
- The MYO15A variant is a common cause of hearing loss in a northeastern Brazilian town. PMID: 27870113
- Reconstruction of haplotype structure at MYO15A surrounding genomic regions indicated that the founder haplotype branched out in the past two to three centuries from a haplotype present worldwide. The MYO15A duplication emerges as the major cause of genetic hearing loss in Oman. PMID: 27734841
- novel homozygous donor splice site mutation, c.4596 + 1G > A (IVS12 + 1G > A) was found in MYO15A gene PMID: 28390610
- There are more than 39 deafness genes reported to cause non-syndromic hereditary hearing loss (HHL) in Iran, of which the most prevalent causative genes include GJB2, SLC26A4, MYO15A, and MYO7A. In addition, we highlight some of the more common genetic causes of syndromic HHL in Iran. [review] PMID: 27743438
- Mutations in exon 2 of MYO15A may cause a less severe phenotype, facilitating the rapid identification of mutations in exon 2 among the 66 exons when linkage of less severe hearing loss to DFNB3 is detected PMID: 26810297
- MYO15A mutations that affect domains other than the N-terminal domain, lead to profound sensorineural hearing loss throughout all frequencies. PMID: 26242193
- MYO15A Mutation is associated with Autosomal Recessive Nonsyndromic Hearing Loss. PMID: 26308726
- Mutations in the MYO15A gene are a notable cause of nonsyndromic hearing loss. PMID: 25792667
- Data indicate nine novel mutations in the genes encoding myosin VI, myosin VIIA and myosin XVA in hearing-impaired individuals from Israeli Jewish and Palestinian Arab families. PMID: 24105371
- MYO15A c.IVS25+3G>A and c.8375 T>C (p.V2792A) as the autosomal recessive hearing loss-causing mutations PMID: 24206587
- study found two novel compound heterozygous mutations of MYO15A and 13 nonsynonymous variants in the coding exons of MYO15A from Korean exomes in families with autosomal recessive nonsyndromic hearing loss PMID: 23865914
- sequencing of the MYO15A gene led to identification of 7 previously unreported mutations, including 4 missense mutations, 1 nonsense mutation, and 2 deletions in different regions of the myosin-XV protein PMID: 22736430
- the second exon of MYO15A from the DNA of all affected individuals ofHEARING LOSS IN A family revealed a duplication of Cytosine in a stretch of seven repetitive C nucleotides (c.1185dupC). PMID: 22245518
- Estimation of the prevalence of homozygous MYO15A mutations in autosomal recessive nonsyndromic deafness in Turkey as 0.062 (95% confidence interval is 0.020-0.105). PMID: 20642360
- myosin XVA protein and mRNA are widely distributed in endocrine cells of the gut and pancreas PMID: 12114748
- the large N-terminal extension of myosin XVA is required for hearing PMID: 17546645
- The motor head domain of the human myosin XVa protein suggests that the Gly1831Val mutation inhibits the powerstroke by reducing backbone flexibility and weakening the hydrophobic interactions necessary for signal transmission to the converter domain. PMID: 17853461
- These are the first MYO15A mutations reported to cause DFNB3 sensorineural hearing loss in the Iranian population. PMID: 19274735
- Sequencing of MYO15A identified two novel homozygous mutations: a nonsense (c.4998C>A (p.C1666X) in exon 17 and a splice site mutation in intron 54 (c.9229 + 1G>A). A novel mutation of unknown significance, c.7395 + 3G>C, was also identified. PMID: 19309289
顯示更多
收起更多
-
相關疾病:Deafness, autosomal recessive, 3 (DFNB3)
-
亞細胞定位:Cell projection, stereocilium. Cytoplasm, cytoskeleton.
-
蛋白家族:TRAFAC class myosin-kinesin ATPase superfamily, Myosin family
-
組織特異性:Highly expressed in pituitary. Also expressed at lower levels in adult brain, kidney, liver, lung, pancreas, placenta and skeletal muscle. Not expressed in brain. In the pituitary, highly expressed in anterior gland cells.
-
數據庫鏈接:
Most popular with customers
-
-
YWHAB Recombinant Monoclonal Antibody
Applications: ELISA, WB, IHC, IF, FC
Species Reactivity: Human, Mouse, Rat
-
Phospho-YAP1 (S127) Recombinant Monoclonal Antibody
Applications: ELISA, WB, IHC
Species Reactivity: Human
-
-
-
-
-















