MYLK3 Antibody
-
中文名稱:MYLK3兔多克隆抗體
-
貨號:CSB-PA443599
-
規格:¥1100
-
圖片:
-
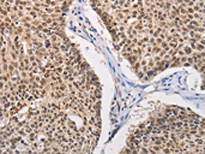
The image on the left is immunohistochemistry of paraffin-embedded Human thyroid cancer tissue using CSB-PA443599(MYLK3 Antibody) at dilution 1/30, on the right is treated with fusion protein. (Original magnification: ×200)
-
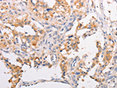
The image on the left is immunohistochemistry of paraffin-embedded Human lung cancer tissue using CSB-PA443599(MYLK3 Antibody) at dilution 1/30, on the right is treated with fusion protein. (Original magnification: ×200)
-
-
其他:
產品詳情
-
Uniprot No.:
-
基因名:
-
別名:caMLCK antibody; cardiac MLCK antibody; Cardiac MyBP C associated Ca/CaM kinase antibody; Cardiac-MyBP-C-associated Ca/CaM kinase antibody; MLC kinase antibody; MLCK antibody; MLCK2 antibody; Mylk3 antibody; MYLK3_HUMAN antibody; Myosin light chain kinase 3 antibody; Putative myosin light chain kinase 3 antibody
-
宿主:Rabbit
-
反應種屬:Human,Mouse,Rat
-
免疫原:Fusion protein of Human MYLK3
-
免疫原種屬:Homo sapiens (Human)
-
標記方式:Non-conjugated
-
抗體亞型:IgG
-
純化方式:Antigen affinity purification
-
濃度:It differs from different batches. Please contact us to confirm it.
-
保存緩沖液:-20°C, pH7.4 PBS, 0.05% NaN3, 40% Glycerol
-
產品提供形式:Liquid
-
應用范圍:ELISA,IHC
-
推薦稀釋比:
Application Recommended Dilution ELISA 1:2000-1:5000 IHC 1:25-1:100 -
Protocols:
-
儲存條件:Upon receipt, store at -20°C or -80°C. Avoid repeated freeze.
-
貨期:Basically, we can dispatch the products out in 1-3 working days after receiving your orders. Delivery time maybe differs from different purchasing way or location, please kindly consult your local distributors for specific delivery time.
-
用途:For Research Use Only. Not for use in diagnostic or therapeutic procedures.
相關產品
靶點詳情
-
功能:Kinase that phosphorylates MYL2 in vitro. Promotes sarcomere formation in cardiomyocytes and increases cardiomyocyte contractility.
-
基因功能參考文獻:
- This study demonstrates that cyclic stretch disrupts tight junctions and adherens junctions by a JNK2, c-Src, and MLCK-dependent mechanism. PMID: 24722904
- Biochemical and physiological regulation of cardiac myocyte contraction by cardiac-specific myosin light chain kinase. PMID: 23863751
- These findings suggest that hepatitis B virus X protein disrupts stress fiber formation and triggers apoptosis via an MLCK and a PTEN-dependent pathway. PMID: 23591626
- Integrated cDNA expression analysis of failing human myocardia uncovered a novel protein kinase, cardiac-specific myosin light chain kinase (cardiac-MLCK), which acts on MLC2v. PMID: 17885681
- data indicate that the IL-1beta-induced increase in MLCK protein expression and Caco-2 TJ permeability was mediated by an increase in MLCK expression and activity and by an NF-kappaB-dependent increase in MLCK gene transcription PMID: 18390750
顯示更多
收起更多
-
亞細胞定位:Cytoplasm.
-
蛋白家族:Protein kinase superfamily, CAMK Ser/Thr protein kinase family
-
組織特異性:Restricted to heart.
-
數據庫鏈接:
Most popular with customers
-
-
YWHAB Recombinant Monoclonal Antibody
Applications: ELISA, WB, IHC, IF, FC
Species Reactivity: Human, Mouse, Rat
-
Phospho-YAP1 (S127) Recombinant Monoclonal Antibody
Applications: ELISA, WB, IHC
Species Reactivity: Human
-
-
-
-
-















