MYH7 Antibody
-
中文名稱:MYH7兔多克隆抗體
-
貨號:CSB-PA015300LA01HU
-
規格:¥440
-
圖片:
-
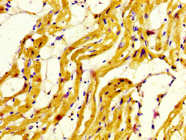
IHC image of CSB-PA015300LA01HU diluted at 1:800 and staining in paraffin-embedded human heart tissue performed on a Leica BondTM system. After dewaxing and hydration, antigen retrieval was mediated by high pressure in a citrate buffer (pH 6.0). Section was blocked with 10% normal goat serum 30min at RT. Then primary antibody (1% BSA) was incubated at 4°C overnight. The primary is detected by a biotinylated secondary antibody and visualized using an HRP conjugated SP system.
-
IHC image of CSB-PA015300LA01HU diluted at 1:800 and staining in paraffin-embedded human melanoma performed on a Leica BondTM system. After dewaxing and hydration, antigen retrieval was mediated by high pressure in a citrate buffer (pH 6.0). Section was blocked with 10% normal goat serum 30min at RT. Then primary antibody (1% BSA) was incubated at 4°C overnight. The primary is detected by a biotinylated secondary antibody and visualized using an HRP conjugated SP system.
-
-
其他:
產品詳情
-
產品名稱:Rabbit anti-Homo sapiens (Human) MYH7 Polyclonal antibody
-
Uniprot No.:
-
基因名:
-
別名:Beta myosin heavy chain antibody; cardiac muscle beta isoform antibody; CMD1S antibody; CMH1 antibody; MPD1 antibody; MYH7 antibody; MYH7_HUMAN antibody; Myhc slow antibody; MyHC-beta antibody; MyHC-slow antibody; MYHCB antibody; Myopathy, distal 1 antibody; Myosin heavy chain (AA 1-96) antibody; Myosin heavy chain 7 antibody; Myosin heavy chain antibody; Myosin heavy chain slow isoform antibody; Myosin heavy chain, cardiac muscle beta isoform antibody; Myosin, heavy chain 7, cardiac muscle, beta antibody; Myosin, heavy polypeptide 7, cardiac muscle, beta antibody; Myosin-7 antibody; Rhabdomyosarcoma antigen MU RMS 40.7A antibody; SPMD antibody; SPMM antibody
-
宿主:Rabbit
-
反應種屬:Human
-
免疫原:Recombinant Human Myosin-7 protein (1802-1915AA)
-
免疫原種屬:Homo sapiens (Human)
-
標記方式:Non-conjugated
本頁面中的產品,MYH7 Antibody (CSB-PA015300LA01HU),的標記方式是Non-conjugated。對于MYH7 Antibody,我們還提供其他標記。見下表:
-
克隆類型:Polyclonal
-
抗體亞型:IgG
-
純化方式:>95%, Protein G purified
-
濃度:It differs from different batches. Please contact us to confirm it.
-
保存緩沖液:Preservative: 0.03% Proclin 300
Constituents: 50% Glycerol, 0.01M PBS, pH 7.4 -
產品提供形式:Liquid
-
應用范圍:ELISA, IHC
-
推薦稀釋比:
Application Recommended Dilution IHC 1:500-1:1000 -
Protocols:
-
儲存條件:Upon receipt, store at -20°C or -80°C. Avoid repeated freeze.
-
貨期:Basically, we can dispatch the products out in 1-3 working days after receiving your orders. Delivery time maybe differs from different purchasing way or location, please kindly consult your local distributors for specific delivery time.
-
用途:For Research Use Only. Not for use in diagnostic or therapeutic procedures.
相關產品
靶點詳情
-
功能:Myosins are actin-based motor molecules with ATPase activity essential for muscle contraction. Forms regular bipolar thick filaments that, together with actin thin filaments, constitute the fundamental contractile unit of skeletal and cardiac muscle.
-
基因功能參考文獻:
- Of the 52 hypertrophic cardiomyopathy patients 12 (23.1%) had MYH7 variants. PMID: 29386531
- A family that demonstrates the diverse HCM phenotypes associated with a single MYH7 mutation. PMID: 29343710
- Mutation in MYH7 was identified as Restrictive Cardiomyopathy - causing mutation. PMID: 27339502
- MYH7-V878A and CACNA1C-A1594V mutations were detected in a Chinese Family with Hypertrophic Cardiomyopathy. Among those with only the MYH7-V878A mutation, subject III-7 showed abnormal ECG recordings, asymmetric septal hypertrophy, and myocardial fibrosis, and subjects II-13 and III-15 showed some abnormal repolarization, borderline LV wall thickness, and normal cardiac magnetic resonance (CMR) findings. PMID: 28866666
- Asn391Thr mutation of MYH7 is a malignant mutation for hypertrophic cardiomyopathy and that mutation carriers should get effective treatment to prevent sudden death. PMID: 29743414
- Double MYH7 CTTNA3 heterozygotes showed a variable clinical expression of arrhythmogenic cardiomyopathy and hypertrophic cardiomyopathy. One carrier of double mutations in CTTNA3 and MYH7 genes did not fulfill the current diagnostic criteria for cardiomyopathy. PMID: 28699631
- Data provide evidence that MYH7 mutations contributed to 24.4% MYBPC3 mutations of hypertrophic cardiomyopathy (HCM) cases, that MYBPC3 constitute the preeminent cause of HCM and that both mutations are phenotypically indistinguishable. PMID: 29121657
- Digenic inheritance of two novel variants in TNNT2 and MYH7 is associated with a severe form of dilated cardiomyopathy. PMID: 28642161
- MYH7-V878A is a hot spot among ethnic Han Chinese with a high penetrance. PMID: 28777849
- Unlike previous Hypertrophic cardiomyopathy (HCM)mutations studied at the molecular level using human beta-cardiac myosin, early-onset HCM mutations lead to significantly larger changes in the fundamental biomechanical parameters and show clear hyper-contractility PMID: 27974200
- Gly716Arg allele carriers have an extremely poor prognosis, and the females seem to have a longer life expectancy than males. To the best of our knowledge, this study is the largest cohort study of the Gly716Arg allele. PMID: 27161882
- We investigated a male with familial familial hypertrophic cardiomyopathy with restrictive physiology and we identified a novel missense mutation p.Arg719Leu of beta-myosin heavy chain (MYH7) gene PMID: 27910300
- ur results suggest that the basis for the pathogenic effect of the R1845W and H1901L mutations of the MYH7 are primarily structural rather than functional. Further analyses are needed to identify the primary trigger for the histological changes seen in muscle biopsies of patients with L1793P and E1883K mutations. PMID: 28125727
- Two novel heterozygous proline substitutions located in exon 31 of MYH7 within its rod domain:c.4309G>C (p.Ala1437Pro) and c.4301G>C (p.Arg1434Pro) is causing skeletal myopathies. PMID: 27519903
- MYH7 gene mutation is associated with Early-Onset Hypertrophic Cardiomyopathy. PMID: 27483260
- family members who carried both the MYH7-A719H and MYOZ2-L169G mutations had more severe symptoms of hypertrophic cardiomyopathy, including sudden cardiac death, than those with only the MYH7 mutation PMID: 28296734
- Chinese family with dual LQT1 and HCM phenotypes associated with tetrad heterozygous mutations in KCNQ1, MYH7, MYLK2, and TMEM70 mutations. PMID: 25825456
- A novel heterozygous mutation (MYH7, p.Asn885Thr), and a variant of uncertain significance (TNNT2, p.Arg296His) were identified in 2 patients with familial hypertrophic cardiomyopathy. PMID: 27082122
- Multidimensional structure-function relationships in human beta-cardiac myosin from population-scale genetic variation. PMID: 27247418
- BNP, but not mutations in MYH7 may have a role in sudden cardiac death in children with hypertrophic cardiomyopathy PMID: 26773184
- novel mutation in the MYH7 gene in a family with distal myopathy and core-like features PMID: 27005958
- We reported a case of mirror-type dextrocardia who developed HCM in adulthood exhibiting multiple genetic mutation related to sarcomere proteins PMID: 25863306
- analysis of the interaction between residues Glu-497 in the relay domain and Arg-712 in the converter domain of human beta-cardiac myosin PMID: 26446785
- A beta-myosin molecule's ADP release rate depends exponentially on the applied load, in qualitative agreement with cardiac muscle, which contracts with a velocity inversely proportional to external load. PMID: 26239258
- Results in this family show that mutation in MYH7 can lead to restrictive or mixed cardiomyopathy. PMID: 25422285
- MYH7 mutation is associated with Inherited Cardiomyopathy. PMID: 25937619
- no significant difference in the prevalence of the studied mutations between the patients with Hypertrophic cardiomyopathy and the healthy controls (p>0.05). PMID: 24566549
- This study demonstrated that two families with MYH7 distal myopathy associated with cardiomyopathy and core formations. PMID: 25695922
- The molecular characterization of the four myosin skip residues also provides a guide to modeling the effects of rod mutations causing cardiac and skeletal myopathies. PMID: 26150528
- Mutations in the converter region of beta myosin heavy chain are associated with adverse prognosis of patients with cardiomyopathies, although there are differences between mutations. PMID: 25935763
- MYH7-R1053Q was found to be a common mutation in Finnish patients with hypertrophic cardiomyopathy. PMID: 24888384
- 3 family members with a dominant mutation in distal rod of MYH7 [c.5401G> A (p.Glu1801Lys)] with a complex phenotype of Laing Distal Myopathy like phenotype, left ventricular noncompaction cardiomyopathy and Fiber Type Disproportion at muscle biopsy PMID: 25576864
- study shows faster cross-bridge kinetics and increase in energetic costs of tension generation of sarcomeres from hypertrophic cardiomyopathy (HCM) patients with the R403Q MYH7 mutation compared to mutation-negative patients; increased tension cost might contribute to HCM disease in patients carrying the R403Q mutation PMID: 24928957
- A novel genetic variant in the coding regions of MYH7 gene was identified in a Chinese Left ventricular noncompaction-family. The results support the previous evidence that MYH7 is a pathogenic gene for Left ventricular noncompaction. PMID: 25550050
- the association between Ebstein anomaly, Left ventricular noncompaction and mutations in MYH7 (Review) PMID: 23794396
- MYH7 defects are a major cause of genetic cardiomyopathies, including LVNC in adults and children. PMID: 25547560
- Report sex-related differences in myosin heavy chain beta expression in atria from failing and nonfailing hearts. PMID: 24878771
- Case Report: familial Ebstein's anomaly, left ventricular noncompaction, and ventricular septal defect associated with an MYH7 mutation. PMID: 25444217
- Data indicate nine novel mutations in the genes encoding myosin VI, myosin VIIA and myosin XVA in hearing-impaired individuals from Israeli Jewish and Palestinian Arab families. PMID: 24105371
- This report widens the clinical and pathological phenotypes, and the genetics of MYH7 mutations leading to skeletal muscle diseases. PMID: 24664454
- A novel p.G407C mutation in the beta-myosin heavy chain gene (MYH7) was identified to be responsible for familial hypertrophic cardiomyopathy in a family. PMID: 24963656
- Left ventricular non-compaction was found to be associated with a novel MYH7 mutation. PMID: 24726209
- We describe MYH7 as an additional causative gene for AD-CCD. PMID: 24828896
- Transfecting human beta-MHC V606M into the mouse cardiac alpha-MHC gene caused hypertrophic cardiomyopathy without left ventricular hypertrophy, disarray of myofibers, and interstitial fibrosis. Cyclosporine or Arg453Cys or Arg719Trp worsened the phenotype. PMID: 24829265
- MYH7 gene mutation segregates with disease in a family with autosomal dominant transmission of congenital heart defects including Ebstein anomaly PMID: 23956225
- 8 known polymorphic MYH7 variants and 2 intronic variations but no missense or pathological mutations were found in 58 Venezuela hypertrophic cardiomyopathy cases. PMID: 24758099
- The first detailed biochemical kinetic analysis of the motor domain of the human beta-cardiac myosin carrying the R453C mutation, is reported. PMID: 24344137
- MYH7 mutations reduce force generating capacity of sarcomeres at maximal and submaximal [Ca(2)]. These hypocontractile sarcomeres may represent the primary abnormality in patients with MYH7 mutations. PMID: 23674513
- Perfomed proteomic analysis on a transgenic mouse model of severe cardiac hypertrophy; compared data to dataset of heart failure found MYH7, IGFBP7, ANXA2, and DESM to be biomarker candidates for heart failure. PMID: 23713052
- observations expand the clinical spectrum of laing distal myopathy with the MYH7 mutation PMID: 23707328
顯示更多
收起更多
-
相關疾?。?/div>Cardiomyopathy, familial hypertrophic 1 (CMH1); Myopathy, myosin storage, autosomal dominant (MSMA); Scapuloperoneal myopathy MYH7-related (SPMM); Cardiomyopathy, dilated 1S (CMD1S); Myopathy, distal, 1 (MPD1); Myopathy, myosin storage, autosomal recessive (MSMB); Left ventricular non-compaction 5 (LVNC5)亞細胞定位:Cytoplasm, myofibril. Cytoplasm, myofibril, sarcomere.蛋白家族:TRAFAC class myosin-kinesin ATPase superfamily, Myosin family組織特異性:Both wild type and variant Gln-403 are detected in skeletal muscle (at protein level).數據庫鏈接:
Most popular with customers
-
-
YWHAB Recombinant Monoclonal Antibody
Applications: ELISA, WB, IHC, IF, FC
Species Reactivity: Human, Mouse, Rat
-
Phospho-YAP1 (S127) Recombinant Monoclonal Antibody
Applications: ELISA, WB, IHC
Species Reactivity: Human
-
-
-
-
-















