MYH14 Antibody
-
中文名稱:MYH14兔多克隆抗體
-
貨號:CSB-PA773786LA01HU
-
規格:¥440
-
圖片:
-
IHC image of CSB-PA773786LA01HU diluted at 1:100 and staining in paraffin-embedded human lung tissue performed on a Leica BondTM system. After dewaxing and hydration, antigen retrieval was mediated by high pressure in a citrate buffer (pH 6.0). Section was blocked with 10% normal goat serum 30min at RT. Then primary antibody (1% BSA) was incubated at 4°C overnight. The primary is detected by a biotinylated secondary antibody and visualized using an HRP conjugated SP system.
-
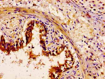
IHC image of CSB-PA773786LA01HU diluted at 1:100 and staining in paraffin-embedded human small intestine tissue performed on a Leica BondTM system. After dewaxing and hydration, antigen retrieval was mediated by high pressure in a citrate buffer (pH 6.0). Section was blocked with 10% normal goat serum 30min at RT. Then primary antibody (1% BSA) was incubated at 4°C overnight. The primary is detected by a biotinylated secondary antibody and visualized using an HRP conjugated ABC system.
-
Immunofluorescence staining of MCF-7 cells with CSB-PA773786LA01HU at 1:100, counter-stained with DAPI. The cells were fixed in 4% formaldehyde, permeabilized using 0.2% Triton X-100 and blocked in 10% normal Goat Serum. The cells were then incubated with the antibody overnight at 4°C. The secondary antibody was Alexa Fluor 488-congugated AffiniPure Goat Anti-Rabbit IgG(H+L).
-
-
其他:
產品詳情
-
產品名稱:Rabbit anti-Homo sapiens (Human) MYH14 Polyclonal antibody
-
Uniprot No.:
-
基因名:
-
別名:2400004E04Rik antibody; DFNA4 antibody; DKFZp667A1311 antibody; FLJ13881 antibody; FLJ43092 antibody; FP17425 antibody; II C antibody; KIAA2034 antibody; MHC16 antibody; Myh 14 antibody; MYH14 antibody; MYH14_HUMAN antibody; Myosin 14 antibody; Myosin antibody; Myosin heavy chain 14 antibody; Myosin heavy chain antibody; Myosin heavy chain non muscle IIc antibody; Myosin heavy polypeptide 14 antibody; Myosin-14 antibody; NMHC II C antibody; NMHC II-C antibody; Non muscle myosin heavy chain IIc antibody; non-muscle IIc antibody; Non-muscle myosin heavy chain IIc antibody; Nonmuscle myosin heavy chain II C antibody; OTTMUSP00000019210 antibody
-
宿主:Rabbit
-
反應種屬:Human
-
免疫原:Recombinant Human Myosin-14 protein (1058-1195AA)
-
免疫原種屬:Homo sapiens (Human)
-
標記方式:Non-conjugated
本頁面中的產品,MYH14 Antibody (CSB-PA773786LA01HU),的標記方式是Non-conjugated。對于MYH14 Antibody,我們還提供其他標記。見下表:
-
克隆類型:Polyclonal
-
抗體亞型:IgG
-
純化方式:>95%, Protein G purified
-
濃度:It differs from different batches. Please contact us to confirm it.
-
保存緩沖液:Preservative: 0.03% Proclin 300
Constituents: 50% Glycerol, 0.01M PBS, pH 7.4 -
產品提供形式:Liquid
-
應用范圍:ELISA, IHC, IF
-
推薦稀釋比:
Application Recommended Dilution IHC 1:20-1:200 IF 1:50-1:200 -
Protocols:
-
儲存條件:Upon receipt, store at -20°C or -80°C. Avoid repeated freeze.
-
貨期:Basically, we can dispatch the products out in 1-3 working days after receiving your orders. Delivery time maybe differs from different purchasing way or location, please kindly consult your local distributors for specific delivery time.
-
用途:For Research Use Only. Not for use in diagnostic or therapeutic procedures.
相關產品
靶點詳情
-
功能:Cellular myosin that appears to play a role in cytokinesis, cell shape, and specialized functions such as secretion and capping.
-
基因功能參考文獻:
- This is the first identification of mutations in MYH14 as a cause of Anorectal malformations. PMID: 28191911
- By reporting two novel variants of MYH14, we suggest that the present study extends the phenotypic spectrum of autosomal dominant MYH14 variants to include nonsyndromic, severe-to-profound hearing loss with prelingual onset. PMID: 28221712
- phosphorylation of human cardiac myosin regulatory light chain prevents development of hypertrophic cardiomyopathy in mice PMID: 26124132
- The data show that although NM IIA and IIB form filaments with similar properties, NM IIC forms filaments that are less well suited to roles such as tension maintenance within the cell. PMID: 24072716
- Results support the hypothesis that there is another DFNA gene upstream of the MYH14 gene and it may be linked to the DFNA4 locus. PMID: 23273769
- the alterations of the MYH14 gene may contribute to Myotonic dystrophy type 1 molecular pathogenesis. PMID: 21872659
- A complex phenotype of peripheral neuropathy, myopathy, hoarseness, and hearing loss is linked to an autosomal dominant mutation in MYH14 PMID: 21480433
- kinetic and functional characterization of the motor domains of human nonmuscle myosin-2C isoforms PMID: 21478157
- data identify CEACAM16 as an alpha-tectorin-interacting protein that concentrates at the point of attachment of the TM to the stereocilia and, when mutated, results in ADNSHL at the DFNA4 locus PMID: 21368133
- Mutation in MYH14 gene can cause dominant non-syndromic hearing impairment in Asian population, suggesting that MYH14 gene can be a disease-causing gene of Chinese patients with hearing impairment. PMID: 20533261
- mutational screening in a large series of 300 hearing-impaired patients from Italy, Spain, and Belgium and in a German kindred linked to DFNA4 PMID: 15015131
- mutations and alternative splicing alter the enzymatic and motile activity of nonmuscle myosins II-B and II-C PMID: 15845534
- data do not support the involvement of MYH14 in cleft lip and palate among the Italian population PMID: 18471249
- the alternatively spliced isoform of non-muscle myosin II-C is not regulated by myosin light chain phosphorylation PMID: 19240025
顯示更多
收起更多
-
相關疾病:Deafness, autosomal dominant, 4A (DFNA4A); Peripheral neuropathy, myopathy, hoarseness, and hearing loss (PNMHH)
-
蛋白家族:TRAFAC class myosin-kinesin ATPase superfamily, Myosin family
-
組織特異性:High levels of expression are found in brain (highest in corpus callosum), heart, kidney, liver, lung, small intestine, colon and skeletal muscle. Expression is low in organs composed mainly of smooth muscle, such as aorta, uterus and urinary bladder. No
-
數據庫鏈接:
Most popular with customers
-
-
YWHAB Recombinant Monoclonal Antibody
Applications: ELISA, WB, IHC, IF, FC
Species Reactivity: Human, Mouse, Rat
-
Phospho-YAP1 (S127) Recombinant Monoclonal Antibody
Applications: ELISA, WB, IHC
Species Reactivity: Human
-
-
-
-
-















