MYCBP Antibody
-
中文名稱:MYCBP兔多克隆抗體
-
貨號:CSB-PA858710HA01HU
-
規格:¥440
-
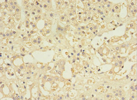
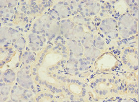
圖片:
-
其他:
產品詳情
-
產品名稱:Rabbit anti-Homo sapiens (Human) MYCBP Polyclonal antibody
-
Uniprot No.:
-
基因名:MYCBP
-
別名:AMY 1 antibody; AMY-1 antibody; AMY1 antibody; Associate of Myc 1 antibody; C myc binding protein antibody; C-Myc-binding protein antibody; Cmyc binding protein antibody; MYCBP antibody; MYCBP_HUMAN antibody
-
宿主:Rabbit
-
反應種屬:Human
-
免疫原:Recombinant Human c-Myc-binding protein (2-103AA)
-
免疫原種屬:Homo sapiens (Human)
-
標記方式:Non-conjugated
本頁面中的產品,MYCBP Antibody (CSB-PA858710HA01HU),的標記方式是Non-conjugated。對于MYCBP Antibody,我們還提供其他標記。見下表:
-
克隆類型:Polyclonal
-
抗體亞型:IgG
-
純化方式:>95%, Protein G purified
-
濃度:It differs from different batches. Please contact us to confirm it.
-
保存緩沖液:Preservative: 0.03% Proclin 300
Constituents: 50% Glycerol, 0.01M PBS, PH 7.4 -
產品提供形式:Liquid
-
應用范圍:ELISA, IHC
-
推薦稀釋比:
Application Recommended Dilution IHC 1:20-1:200 -
Protocols:
-
儲存條件:Upon receipt, store at -20°C or -80°C. Avoid repeated freeze.
-
貨期:Basically, we can dispatch the products out in 1-3 working days after receiving your orders. Delivery time maybe differs from different purchasing way or location, please kindly consult your local distributors for specific delivery time.
-
用途:For Research Use Only. Not for use in diagnostic or therapeutic procedures.
相關產品
靶點詳情
-
功能:May control the transcriptional activity of MYC. Stimulates the activation of E box-dependent transcription by MYC.
-
基因功能參考文獻:
- c-Myc expression is reduced in pterygium compared with normal conjunctiva. PMID: 22050566
- Suppression of telomerase activity mediated by PinX1 is involved in the Mad1/c-Myc pathway. PMID: 20544396
- miR-22 acts as a tumor suppressor through direct repression of MYCBP expression and subsequent reduction of oncogenic c-Myc activities. PMID: 20562918
- identified a novel AMY-1-binding protein, AAT-1, and determied its expression profiles, genes, and cellular localization; results showed that AAT-1 was specifically expressed in the testis throughout spermatogenesis and was also present in mature sperm PMID: 12223483
- interacts with S-AKAP84 and AKAP95 in the cytoplasm and the nucleus, respectively, and inhibits enzyme acdtivity by preventing binding of its catalytic subunit to A-kinase-anchoring protein (AKAP) complex PMID: 12414807
- AMY-1 coordinates ADP-Ribosylation Factors-mediated membrane trafficking and signaling pathways. PMID: 16866877
- An important role for MBP-1 in the altered cell proliferation and energy utilization that occur in response to an altered glucose concentration. PMID: 17595061
- AMY-1 was localized in the mitochondria of HeLa and sperm in association with AKAP149 and S-AKAP84, respectively. These results suggest that AMY-1 plays a role in spermatogenesis PMID: 11483602
顯示更多
收起更多
-
亞細胞定位:Cytoplasm. Nucleus. Mitochondrion. Note=Translocates into the nucleus in the S phase of the cell cycle upon an increase of MYC expression. Found in the mitochondria when associated with AKAP1.
-
蛋白家族:AMY1 family
-
組織特異性:Highly expressed in heart, placenta, pancreas, skeletal muscle and kidney. Also present at low levels in lung.
-
數據庫鏈接:
Most popular with customers
-
-
YWHAB Recombinant Monoclonal Antibody
Applications: ELISA, WB, IHC, IF, FC
Species Reactivity: Human, Mouse, Rat
-
-
-
-
-
-















