MX2 Antibody
-
中文名稱:MX2兔多克隆抗體
-
貨號:CSB-PA015250LA01HU
-
規格:¥440
-
圖片:
-
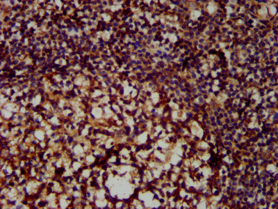
IHC image of CSB-PA015250LA01HU diluted at 1:300 and staining in paraffin-embedded human tonsil tissue performed on a Leica BondTM system. After dewaxing and hydration, antigen retrieval was mediated by high pressure in a citrate buffer (pH 6.0). Section was blocked with 10% normal goat serum 30min at RT. Then primary antibody (1% BSA) was incubated at 4°C overnight. The primary is detected by a biotinylated secondary antibody and visualized using an HRP conjugated SP system.
-
Immunofluorescence staining of Hela cells with CSB-PA015250LA01HU at 1:100, counter-stained with DAPI. The cells were fixed in 4% formaldehyde, permeabilized using 0.2% Triton X-100 and blocked in 10% normal Goat Serum. The cells were then incubated with the antibody overnight at 4°C. The secondary antibody was Alexa Fluor 488-congugated AffiniPure Goat Anti-Rabbit IgG(H+L).
-
-
其他:
產品詳情
-
產品名稱:Rabbit anti-Homo sapiens (Human) MX2 Polyclonal antibody
-
Uniprot No.:
-
基因名:MX2
-
別名:Interferon induced GTP binding protein Mx2 antibody; Interferon regulated resistance GTP binding protein MXB antibody; Interferon-induced GTP-binding protein Mx2 antibody; Interferon-regulated resistance GTP-binding protein MxB antibody; MX 2 antibody; MX dynamin like GTPase 2 antibody; Mx2 antibody; MX2_HUMAN antibody; MXB antibody; Myxovirus (influenza virus) resistance 2 antibody; Myxovirus resistance 2 antibody; Myxovirus resistance protein 2 antibody; p78 related protein antibody; p78-related protein antibody; Second interferon induced protein p78 antibody
-
宿主:Rabbit
-
反應種屬:Human
-
免疫原:Recombinant Human Interferon-induced GTP-binding protein Mx2 protein (548-688AA)
-
免疫原種屬:Homo sapiens (Human)
-
標記方式:Non-conjugated
本頁面中的產品,MX2 Antibody (CSB-PA015250LA01HU),的標記方式是Non-conjugated。對于MX2 Antibody,我們還提供其他標記。見下表:
-
克隆類型:Polyclonal
-
抗體亞型:IgG
-
純化方式:>95%, Protein G purified
-
濃度:It differs from different batches. Please contact us to confirm it.
-
保存緩沖液:Preservative: 0.03% Proclin 300
Constituents: 50% Glycerol, 0.01M PBS, pH 7.4 -
產品提供形式:Liquid
-
應用范圍:ELISA, IHC, IF
-
推薦稀釋比:
Application Recommended Dilution IHC 1:200-1:500 IF 1:50-1:200 -
Protocols:
-
儲存條件:Upon receipt, store at -20°C or -80°C. Avoid repeated freeze.
-
貨期:Basically, we can dispatch the products out in 1-3 working days after receiving your orders. Delivery time maybe differs from different purchasing way or location, please kindly consult your local distributors for specific delivery time.
-
用途:For Research Use Only. Not for use in diagnostic or therapeutic procedures.
相關產品
靶點詳情
-
功能:Interferon-induced dynamin-like GTPase with potent antiviral activity against human immunodeficiency virus type 1 (HIV-1). Acts by targeting the viral capsid and affects the nuclear uptake and/or stability of the HIV-1 replication complex and the subsequent chromosomal integration of the proviral DNA. Exhibits antiviral activity also against simian immunodeficiency virus (SIV-mnd). May play a role in regulating nucleocytoplasmic transport and cell-cycle progression.
-
基因功能參考文獻:
- Study identifies MxB as a potent pan-herpesvirus restriction factor which blocks the uncoating of viral DNA from the incoming viral capsid. PMID: 29773792
- These data demonstrate that human MXB but not other human or murine MX proteins inhibit murine cytomegalovirus propagation. Evidently, the viral protein expression was delayed and the viral DNA amount in nucleus was diminished in MXB expressing cells indicating an obstruction of nuclear entry. PMID: 30032029
- Therefore, these results demonstrate the importance of MxB in alpha interferon-mediated inhibition of HIV-1 infection. PMID: 29925663
- The dynamin-like MxB GTPase serves as a broadly acting intracellular restriction factor that controls retrovirus as well as herpesvirus infections. PMID: 29950411
- MxB dimers form higher order oligomers that restrict retroviral replication by binding to the viral capsid. [review] PMID: 27492442
- These experiments suggested that MxB does not contribute to the HIV-1 restriction observed in IFN-alpha-treated human cells. PMID: 26719253
- Together, the data demonstrate that interferon-beta inhibits foamy virus early in infection and that MxB is not a restriction factor of foamy virus. PMID: 26609934
- We propose that lower-order oligomerization of MX2 is sufficient for the effective inhibition of human immunodeficiency virus type 1. PMID: 26446602
- Study analyzed the evolutionary history of MX2 at the inter- and intraspecific level and use this information to identify a haplotype that associates with natural resistance to HIV-1 infection in humans; the ancestral (G) allele of rs2074560 protects from HIV-1 infection with a recessive effect. PMID: 24930137
- The high prevalence of MxB-resistant mutations in the CypA-binding loop indicates the significant selective pressure of MxB on HIV-1 replication in vivo. PMID: 25571928
- MxB inhibits HIV-1 by interfering with minimally two steps of infection, nuclear entry and post-nuclear trafficking and/or integration, without destabilizing the inherent catalytic activity of viral preintegration complexes. PMID: 25348155
- HIV-seronegative women who use Depo-Provera have the highest levels of Mx2 expression, highlighting a possible mechanism for hormonal modulation of HIV resistance. PMID: 25562491
- The amino-terminal domain of Mx2/MxB-dependent interaction with the HIV-1 capsid has been characterized. PMID: 25363729
- MxB oligomerization is important for the ability of MxB to bind to the HIV-1 core proteins. PMID: 25568212
- A triple-arginine motif in the amino-terminal domain and oligomerization are required for HIV-1 inhibition by human MX2. PMID: 25673704
- structural analysis of assembly of human anti-HIV dynamin-like protein MxB/Mx2 PMID: 25446123
- MxB binding to the HIV-1 capsid. PMID: 25123063
- To identify protein domains of MX2 that specify HIV-1 inhibition. PMID: 24899177
- Through a combination of in vitro evolution and unbiased mutagenesis, authors further map the determinants of sensitivity to Mx2 and reveal that multiple capsid (CA) surfaces define sensitivity to Mx2. PMID: 24760893
- Taken together, it is concluded that human MxB protein inhibits HIV-1 DNA integration by a CypA-dependent mechanism. PMID: 24055605
- MX2 is therefore a cell-autonomous, anti-HIV-1 resistance factor whose purposeful mobilization may represent a new therapeutic approach for the treatment of HIV/AIDS PMID: 24048477
- findings indicate that MX2 is an effector of the anti-HIV-1 activity of type-I IFN, and suggest that MX2 inhibits HIV-1 infection by inhibiting capsid-dependent nuclear import of subviral complexes PMID: 24121441
- The MX2 promoter is activated by Trichostatin A (TSA) treatment and by serum depletion according to promoter reporter assays in HEK 293 cells. PMID: 20494980
- the MX2 gene to be significantly less expressed in comparison with normal subjects in the white blood cells of narcoleptic patients PMID: 17702266
- The expression level of the MX2 gene tended to be downregulated in subjects carrying HLA-DQB1*0602, compared with that of the control subjects without this allele. PMID: 18517045
顯示更多
收起更多
-
亞細胞定位:Cytoplasm. Nucleus. Nucleus, nuclear pore complex. Note=Localization to nuclear pores requires GTP-binding.
-
蛋白家族:TRAFAC class dynamin-like GTPase superfamily, Dynamin/Fzo/YdjA family
-
數據庫鏈接:
Most popular with customers
-
YWHAB Recombinant Monoclonal Antibody
Applications: ELISA, WB, IHC, IF, FC
Species Reactivity: Human, Mouse, Rat
-
Phospho-YAP1 (S127) Recombinant Monoclonal Antibody
Applications: ELISA, WB, IHC
Species Reactivity: Human
-
-
-
-
-
-















