MVK Antibody
-
中文名稱:MVK兔多克隆抗體
-
貨號:CSB-PA089757
-
規格:¥1100
-
圖片:
-
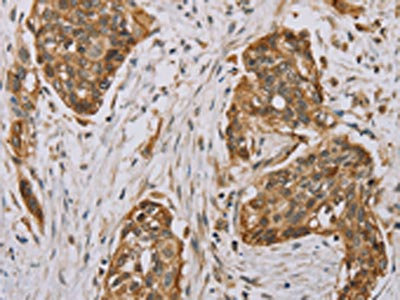
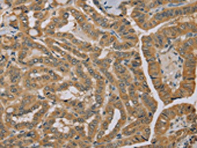
The image on the left is immunohistochemistry of paraffin-embedded Human thyroid cancer tissue using CSB-PA089757(MVK Antibody) at dilution 1/40, on the right is treated with fusion protein. (Original magnification: ×200)
-
The image on the left is immunohistochemistry of paraffin-embedded Human esophagus cancer tissue using CSB-PA089757(MVK Antibody) at dilution 1/40, on the right is treated with fusion protein. (Original magnification: ×200)
-
Gel: 8%SDS-PAGE, Lysate: 40 μg, Lane: Raji cells, Primary antibody: CSB-PA089757(MVK Antibody) at dilution 1/550, Secondary antibody: Goat anti rabbit IgG at 1/8000 dilution, Exposure time: 2 seconds
-
-
其他:
產品詳情
-
Uniprot No.:
-
基因名:MVK
-
別名:FLJ96772 antibody; KIME_HUMAN antibody; LH receptor mRNA binding protein antibody; LRBP antibody; Mevalonate kinase 1 antibody; Mevalonate kinase antibody; Mevalonic aciduria antibody; MK antibody; mvk antibody; MVLK antibody; POROK3 antibody
-
宿主:Rabbit
-
反應種屬:Human,Mouse,Rat
-
免疫原:Fusion protein of Human MVK
-
免疫原種屬:Homo sapiens (Human)
-
標記方式:Non-conjugated
-
抗體亞型:IgG
-
純化方式:Antigen affinity purification
-
濃度:It differs from different batches. Please contact us to confirm it.
-
保存緩沖液:-20°C, pH7.4 PBS, 0.05% NaN3, 40% Glycerol
-
產品提供形式:Liquid
-
應用范圍:ELISA,WB,IHC
-
推薦稀釋比:
Application Recommended Dilution ELISA 1:1000-1:2000 WB 1:200-1:1000 IHC 1:100-1:300 -
Protocols:
-
儲存條件:Upon receipt, store at -20°C or -80°C. Avoid repeated freeze.
-
貨期:Basically, we can dispatch the products out in 1-3 working days after receiving your orders. Delivery time maybe differs from different purchasing way or location, please kindly consult your local distributors for specific delivery time.
-
用途:For Research Use Only. Not for use in diagnostic or therapeutic procedures.
相關產品
靶點詳情
-
功能:Catalyzes the phosphorylation of mevalonate to mevalonate 5-phosphate, a key step in isoprenoid and cholesterol biosynthesis.
-
基因功能參考文獻:
- The findings suggest that the MVK rs2287218 SNP is likely to increase the risk of CHD and IS by decreasing serum HDL-C levels in our study populations. PMID: 30101835
- Case Report: homozygous missense p.Cys161Arg in MVK was identified in family members with familial Mediterranean fever. PMID: 29148404
- Mevalonate kinase deficiency (MKD) can be associated with retinitis pigmentosa (RP) and early onset cataract. Most MKD patients developing RP carry the (p.Ala334Thr) mutation. PMID: 28095071
- In a cohort of mevalonate kinase deficiency patients, ninety-six (84%) of the patients harbored at least 1 p.V377I mutation, 14 (12%) of which were homozygous. The second most frequent mutation was p.I268T, occurring in 29 (25%) of the patients. None of them were p.I268T homozygous. A p.C152Y mutation was found in 1 patient. PMID: 27213830
- These findings suggest that rs11066782 in KCTD10, rs11613718 in KCTD10 and rs11067233 in MMAB may contribute to the susceptibility of coronary heart disease by altering plasma HDL-C levels in Han Chinese. PMID: 27716295
- this study extends the mutation spectrum of MVK; MVK protein stability and correct folding might be the molecular mechanism causing disseminated superficial actinic porokeratosis PMID: 26794421
- Wild-type MK and the variant V261A, which is associated with HIDS, were recombinantly expressed in Escherichia coli. Enzyme activity was determined by formation of MVAP over time PMID: 25982894
- predictive analysis of mutations in MVK to predict disease severity PMID: 26420133
- study reports a novel mutation of the MVK gene in Chinese patients with disseminated superficial actinic porokeratosis (DSAP); result confirms the involvement of MVK gene in DSAP PMID: 25059119
- mutations are responsible for porokeratosis of Mibelli development in Chinese families PMID: 24781643
- results from this 4 generation family imply a causal relationship between MVK and perokeratosis. PMID: 25053464
- Results suggest that the effects of MVK mutations in Behcet's disease could be an additional genetic susceptibility factor for the patients with neurological involvement. PMID: 24411001
- The testing for the Hyper IgD Syndrome was positive for the pV377I/c.1129 G>A heterozygosity in a patient with periodic fever. PMID: 24708999
- Report a novel missense mutation in mevalonate kinase responsible for disseminated superficial actinic porokeratosis. PMID: 24551296
- study reportstwo novel mutations of the MVK gene in Chinese patients with disseminated superficial actinic porokeratosis PMID: 24008101
- These results suggest that hCG-induced down-regulation of LHR mRNA expression is mediated by activation of cAMP/PKA/ERK pathways to increase miR-122 expression, which then increases LRBP expression through the activation of SREBPs. PMID: 24064360
- Results identify a novel frameshift mutation in this gene implicated in disseminated superficial actinic porokeratosis in 4 Chinese families PMID: 23834120
- In the current article, we add another phenotype to the spectrum of diverging disorders associated with mutations in MVK. PMID: 24084495
- Novel mutations of MVK gene in Japanese family members affected with hyperimmunoglobulinemia D and periodic fever syndrome. This is the first case in which exon skipping mutation of the MVK gene has been certainly identified at the genomic DNA level. PMID: 22159817
- hyperimmunoglobulinemia D and periodic fever syndrome (HIDS) patients carried 11 different MVK mutations mostly in compound heterozygosity; the most frequent mutation was p.Val377Ile; in Germany, the incidence of HIDS is very low PMID: 22038276
- MVK has a role in regulating calcium-induced keratinocyte differentiation and could protect keratinocytes from apoptosis induced by type A ultraviolet radiation. PMID: 22983302
- This atypical presentation of MA suggests that it should be included in the differential diagnosis of unclassified patients with psychomotor retardation, failure to thrive or ataxia, even in the absence of febrile episodes. PMID: 22271696
- The farnesyltransferase inhibitors tipifarnib and lonafarnib inhibit cytokines secretion in a cellular model of mevalonate kinase deficiency. PMID: 21430599
- Significant liver disease in a patient with Y116H mutation in the MVK gene. PMID: 21548022
- data show that LH-regulated ERK1/2 signaling is required for the LRBP-mediated down-regulation of LHR mRNA PMID: 21147848
- Results support that deleterious copy number alterations in MVK, NLRP3 and TNFRSF1A are rare or absent from the mutational spectrum of hereditary recurrent fevers. PMID: 21124859
- Report mevalonate kinase deficiency compromized fiberoblast geranylgeranylation of RhoA and Rac1. PMID: 20814828
- These data suggest MMAB is the most likely gene influencing high-density lipoprotein-cholesterol levels at MMAB-MVK locus. PMID: 20159775
- A novel missense mutation in mevalonate kinase (Tyr116His) is associated with mevalonate kinase deficiency and dyserythropoietic anemia. PMID: 20194276
- Mutations of MVK found in hyper-IgD and periodic fever syndrome patients affect the stability and/or maturation of MVK in vitro in a temperature-sensitive manner and may explain the chain of events leading to episodic inflammation and fever. PMID: 12444096
- Isoprenoid and cholesterol biosynthesis still occurs in cells from mevalonate kinase-deficient patients. PMID: 12477733
- Carrier frequency of 1:65 overestimates disease frequency, probably due to a reduced penetrance of V377I homozygosity. PMID: 12634869
- The subcellular localisation of human mevalonate kinase (MK) use a variety of biochemical and microscopical techniques. PMID: 14730012
- LH receptor mRNA-binding protein (LRBP) is a a novel trans-factor for luteinizing hormone receptor mRNA from ovary. PMID: 14749336
- Mevalonic aciduria, with psychomotor retardation, cerebellar ataxia, recurrent fever, and death in early childhood, and hyper-immunoglobulin D syndrome, with recurrent fever attacks without neurologic symptoms, are caused by mevalonate kinase deficiency PMID: 15037710
- Mutations in the coding region of the MVK gene were detected in 6 hyperimmunoglobulinemia D patients, and the most common mutation was V377I. PMID: 15188372
- Several hydrophobic amino acid side chains are positioned near the polyisoprenoid chain of FSP & their functional significance has been evaluated in mutagenesis experiments with human MK, which exhibits highest reported sensitivity to feedback inhibition. PMID: 18302342
- an intact active site of MVK is required for its binding to rat LHR mRNA and for its translational suppressor function PMID: 18494797
- homozygosity for the mutation of the MVK gene has been reported in an Asian patient, and indicated a need for differentiation. PMID: 18941711
- For the SNPs KCTD10_i5642G-->C and MVK_S52NG-->A, homozygotes for the major alleles (G) had lower HDL-cholesterol concentrations than did carriers of the minor alleles (P = 0.005 and P = 0.019, respectively). PMID: 19605566
顯示更多
收起更多
-
相關疾病:Mevalonic aciduria (MEVA); Hyperimmunoglobulinemia D and periodic fever syndrome (HIDS); Porokeratosis 3, multiple types (POROK3)
-
亞細胞定位:Cytoplasm. Peroxisome.
-
蛋白家族:GHMP kinase family, Mevalonate kinase subfamily
-
數據庫鏈接:
Most popular with customers
-
-
YWHAB Recombinant Monoclonal Antibody
Applications: ELISA, WB, IHC, IF, FC
Species Reactivity: Human, Mouse, Rat
-
-
-
-
-
-
VDAC1 Recombinant Monoclonal Antibody
Applications: ELISA, WB, IHC
Species Reactivity: Human, Mouse, Rat















