MUC3A Antibody
-
中文名稱:MUC3A兔多克隆抗體
-
貨號:CSB-PA130507
-
規格:¥1100
-
圖片:
-
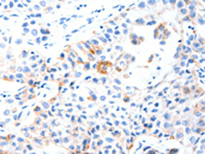
The image on the left is immunohistochemistry of paraffin-embedded Human colon cancer tissue using CSB-PA130507(MUC3A Antibody) at dilution 1/60, on the right is treated with synthetic peptide. (Original magnification: ×200)
-
The image on the left is immunohistochemistry of paraffin-embedded Human lung cancer tissue using CSB-PA130507(MUC3A Antibody) at dilution 1/60, on the right is treated with synthetic peptide. (Original magnification: ×200)
-
-
其他:
產品詳情
-
Uniprot No.:
-
基因名:MUC3A
-
別名:MUC3A antibody; MUC3 antibody; Mucin-3A antibody; MUC-3A antibody; Intestinal mucin-3A antibody
-
宿主:Rabbit
-
反應種屬:Human
-
免疫原:Synthetic peptide of Human MUC3A
-
免疫原種屬:Homo sapiens (Human)
-
標記方式:Non-conjugated
-
抗體亞型:IgG
-
純化方式:Antigen affinity purification
-
濃度:It differs from different batches. Please contact us to confirm it.
-
保存緩沖液:-20°C, pH7.4 PBS, 0.05% NaN3, 40% Glycerol
-
產品提供形式:Liquid
-
應用范圍:ELISA,IHC
-
推薦稀釋比:
Application Recommended Dilution ELISA 1:1000-1:5000 IHC 1:25-1:100 -
Protocols:
-
儲存條件:Upon receipt, store at -20°C or -80°C. Avoid repeated freeze.
-
貨期:Basically, we can dispatch the products out in 1-3 working days after receiving your orders. Delivery time maybe differs from different purchasing way or location, please kindly consult your local distributors for specific delivery time.
-
用途:For Research Use Only. Not for use in diagnostic or therapeutic procedures.
相關產品
靶點詳情
-
功能:Major glycoprotein component of a variety of mucus gels. Thought to provide a protective, lubricating barrier against particles and infectious agents at mucosal surfaces. May be involved in ligand binding and intracellular signaling.
-
基因功能參考文獻:
- MUC3A may have a role in poor prognosis in localized clear-cell renal cell carcinoma PMID: 27374181
- DNA hypomethylation in the 5'-flanking region of the MUC3A gene plays an important role in MUC3A expression in carcinomas of various organs. PMID: 20510874
- has highly conserved amino and carboxyl termini, suggesting a recent duplication of the entire ancestral gene PMID: 12958310
- MUC3 is overexpressed in renal clear cell carcinoma, and the MUC3 expression ratio is greater in nuclear grade 3 than in grades 1 and 2 (low grades) tumor. These findings suggest the implication of MUC3 in renal carcinogenesis. PMID: 14550470
- up-regulated MUC expression by synovial tissue cells and suggest a novel role of MUC3 and MUC5AC in the pathogenesis of arthritis PMID: 18163520
- We report the colonic adhesion mechanism of Lactobaillus plantarums LA318 is in part due to GAPDH binding to human ABO-type blood group antigens expressed on human colonic mucin (HCM). [HCM] PMID: 18790050
- Data show that the diagnostic sensitivity for mucin was 60%, and the specificity for mucin was 100%. PMID: 19365834
- Data show that special stains for mucin did not distinguish pseudocysts from neoplastic mucinous cysts. PMID: 19365837
顯示更多
收起更多
-
亞細胞定位:[Isoform 1]: Membrane; Single-pass membrane protein.; [Isoform 2]: Secreted.; [Isoform 3]: Secreted.; [Isoform 4]: Secreted.; [Isoform 5]: Secreted.
-
組織特異性:Broad specificity; small intestine, colon, colonic tumors, heart, liver, thymus, prostate, pancreas and gall bladder.
-
數據庫鏈接:
Most popular with customers
-
-
YWHAB Recombinant Monoclonal Antibody
Applications: ELISA, WB, IHC, IF, FC
Species Reactivity: Human, Mouse, Rat
-
Phospho-YAP1 (S127) Recombinant Monoclonal Antibody
Applications: ELISA, WB, IHC
Species Reactivity: Human
-
-
-
-
-















