MTSS1 Antibody
-
中文名稱:MTSS1兔多克隆抗體
-
貨號:CSB-PA098234
-
規格:¥1100
-
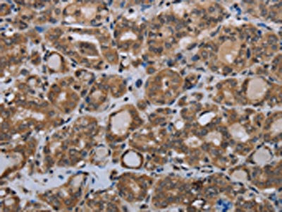
圖片:
-
The image on the left is immunohistochemistry of paraffin-embedded Human thyroid cancer tissue using CSB-PA098234(MTSS1 Antibody) at dilution 1/20, on the right is treated with synthetic peptide. (Original magnification: ×200)
-
The image on the left is immunohistochemistry of paraffin-embedded Human brain tissue using CSB-PA098234(MTSS1 Antibody) at dilution 1/20, on the right is treated with synthetic peptide. (Original magnification: ×200)
-
-
其他:
產品詳情
-
Uniprot No.:
-
基因名:MTSS1
-
別名:2310003N14Rik antibody; BC024131 antibody; D130001D01Rik antibody; DKFZp781P2223 antibody; FLJ44694 antibody; KIAA0429 antibody; metastasis suppressor 1 antibody; Metastasis suppressor protein 1 antibody; Metastasis suppressor YGL 1 antibody; Metastasis suppressor YGL-1 antibody; MGC37896 antibody; MIM antibody; MIMA antibody; MIMB antibody; missing in metastasis antibody; Missing in metastasis protein antibody; mKIAA0429 antibody; MTSS 1 antibody; Mtss1 antibody; MTSS1_HUMAN antibody
-
宿主:Rabbit
-
反應種屬:Human,Mouse
-
免疫原:Synthetic peptide of Human MTSS1
-
免疫原種屬:Homo sapiens (Human)
-
標記方式:Non-conjugated
-
抗體亞型:IgG
-
純化方式:Antigen affinity purification
-
濃度:It differs from different batches. Please contact us to confirm it.
-
保存緩沖液:-20°C, pH7.4 PBS, 0.05% NaN3, 40% Glycerol
-
產品提供形式:Liquid
-
應用范圍:ELISA,IHC
-
推薦稀釋比:
Application Recommended Dilution ELISA 1:1000-1:2000 IHC 1:25-1:100 -
Protocols:
-
儲存條件:Upon receipt, store at -20°C or -80°C. Avoid repeated freeze.
-
貨期:Basically, we can dispatch the products out in 1-3 working days after receiving your orders. Delivery time maybe differs from different purchasing way or location, please kindly consult your local distributors for specific delivery time.
-
用途:For Research Use Only. Not for use in diagnostic or therapeutic procedures.
相關產品
靶點詳情
-
功能:May be related to cancer progression or tumor metastasis in a variety of organ sites, most likely through an interaction with the actin cytoskeleton.
-
基因功能參考文獻:
- MTSS1 is stabilized by the protein phosphatase activity of the tumor suppressor PTEN. Our data show that PTEN loss in PDAC cells results in both increased metastatic potential and decreased MTSS1 expression. Furthermore, we show that ectopic MTSS1 expression rescues this effect. PMID: 29175021
- These data suggested that miR-411 played as oncogene in the osteosarcoma partly by inhibiting the MTSS1 expression. . PMID: 29453719
- Missing in metastasis B, regulated by DNMT1, functions as a putative cancer suppressor in human lung giant-cell carcinoma. PMID: 28159994
- Data identify MTSS1 as a new Akt2-regulated gene, and point to suppression of MTSS1 as a key step in the metastasis-promoting effects of Akt2 in CRC cells. PMID: 28068324
- Data suggest that overexpression of MAEL, caused by gene amplification and/or decreased miR-186, has a critical oncogenic role in UCB pathogenesis by downregulation of MTSS1. PMID: 27181205
- Overexpression of MTSS1 in PDAC cell lines leads to a loss of migratory potential in vitro and an increase in overall survival in vivo. Data provide insight into an important role for MTSS1 in suppressing tumor cell invasion and migration driven by the tumor microenvironment. PMID: 28146435
- Overexpression of MTSS1 reduced BUCC cell proliferation, cell-cycle progression and colony formation, but had no influence on BUCC cell apoptosis. PMID: 28739745
- in contrast to MIM, which is a prototype of I-BAR proteins and does not contain an SH3 domain, IRTKS promoted serum-induced cell migration along with enhanced phosphorylation of mitogen activated kinases Erk1/2 and p38 PMID: 27693783
- MTSS1 suppressed H1299 cell migration and invasion, and its expression level can be used as a new independent factor for determining the prognosis of non-small cell lung cancer. PMID: 27634022
- MTSS1 is a new authentic target of miR-96 in prostate carcinoma. PMID: 27164937
- Down-regulation of MTSS1 expression is associated with lymph node metastasis in Pancreatic Cancer. PMID: 26198729
- Low expression of Mtss1 is associated with Chronic myeloid leukemia. PMID: 26621336
- MTSS1 plays an essential inhibitory role in the development and progression of ovarian cancers PMID: 26316204
- our findings suggest that MTSS1 might have a context-dependent function and could act as a tumor suppressor, which is pharmacologically targetable in AML patients. PMID: 25996952
- EGF induces microRNAs that target suppressors of cell migration: miR-15b targets MTSS1 in breast cancer. PMID: 25783158
- These results implicate that the role of MTSS1 suppresses cell migration and invasion by inhibiting expression of CTTN and as a prognosis biomarker in Glioblastomas PMID: 25385572
- Data shows that MTSS1 is highly expressed in non-small-cell lung carcinomas compared with non-neoplastic lung tissues and may serve as an independent prognostic factor. PMID: 25625275
- The absence of MIM led to PTPdelta-mediated activation of SRC. PMID: 25287652
- MTSS1 expression was analyzed in normal and cancerous tissue specimens from Chinese patients with Hilar cholangiocarcinoma. PMID: 23852458
- MTSS1 is a metastasis driver in a subset of human melanomas. PMID: 24632752
- In breast tumor samples, miR-182 induction is linked to downregulation of MIM, RhoA activation and poor prognosis. PMID: 23474751
- Compared with normal tissue, miR-182 was up-reg'd and MTSS1 was down-reg'd in HCC tissues. Over-expression of miR-182 was correlated with intrahepatic metastasis. There was a negative correlation between miR-182 and MTSS1 expression in both HCC tissues. PMID: 22681717
- Data show that the expression of the metastasis suppressor 1 (MTSS1) gene was regulated by miR-135a overexpression and knockdown. PMID: 23017832
- Loww MTSS1 expression is associated with kidney cancer. PMID: 23350348
- MiR-23a expression promotes colon carcinoma cell growth, invasion and metastasis through inhibition of the MTSS1 gene. PMID: 22455847
- the dimeric configuration is essential for MIM-mediated membrane remodelling and serves as a proper target to develop antagonists specifically against an I-BAR-domain-containing protein. PMID: 22721729
- MTSS1 was characterized as a novel tumor suppressor gene in hepatocellular carcinoma PMID: 21909138
- Data show that Mtss1 drives enhanced junction formation specifically by elevating Rac-GTP. PMID: 22479308
- at high cell densities, Mtss1 impacts negatively on EGF signaling and this suggests why it inhibits metastasis. PMID: 21927027
- Anthrax edema toxin induced transendothelial cell tunnels are resealed by MIM via Arp2/3-driven actin polymerization. PMID: 22100162
- MTSS1 is expressed at low levels or is absent from human bladder cancer cells. PMID: 21965727
- MTSS1 serves as a potential prognostic indicator in human oesophageal squamous cell carcinoma and may be an important target for cancer therapy. PMID: 21696600
- the current knowledge of MTSS1's role in cancer metastasis, carcinogenesis, and development is discussed. PMID: 21196400
- Downregulation of metastasis suppressor 1 is associated with nodal metastasis and gastric cancer. PMID: 20712855
- a potential metastasis suppressor gene in bladder cancer; data suggest that it may be involved in cytoskeletal organization PMID: 12082544
- missing in metastasis protein and insulin receptor tyrosine kinase substrate p53 have a conserved novel actin bundling/filopodium-forming domain PMID: 14752106
- Our data indicate that down-regulation of MIM and/or MIM-B expression can occur in bladder cancer cell lines but is not associated with increased invasive behaviour. PMID: 15488640
- MIM-B is unlikely to be a metastasis suppressor but acts as a scaffold protein that interacts with Rac, actin and actin-associated proteins to modulate lamellipodia formation. PMID: 16280553
- The expression of metastasis suppressor MIM is regulated by DNA methylation of a CpG island within its promoter region. PMID: 16921485
- Elevated MIM-B expression may influence the development of hepatocellular carcinoma and may possibly be a powerful indicator for the disease at an early stage. PMID: 17442377
- MTSS1 is a prognostic indicator of disease-free survival in breast cancer patients and demonstrates the ability to play a role in governing the metastatic nature of breast cancer cells. PMID: 19328678
- MTSS1, also known as MIM, is a modular hedgehog inducible protein that contains a dimerization domain and a distinct activation/scaffolding domain that binds RPTPdelta and induces membrane projections. PMID: 15684034
- MTSS1, also known as MIM, is a hedgehog inducible protein expressed in carcinomas that potentiates Gli transcription factor activity PMID: 15545630
顯示更多
收起更多
-
亞細胞定位:Cytoplasm, cytoskeleton.
-
蛋白家族:MTSS1 family
-
組織特異性:Expressed in many tissues, including spleen, thymus, prostate, testis, uterus, colon, and peripheral blood.
-
數據庫鏈接:
Most popular with customers
-
-
YWHAB Recombinant Monoclonal Antibody
Applications: ELISA, WB, IHC, IF, FC
Species Reactivity: Human, Mouse, Rat
-
Phospho-YAP1 (S127) Recombinant Monoclonal Antibody
Applications: ELISA, WB, IHC
Species Reactivity: Human
-
-
-
-
-















