MTMR2 Antibody
-
中文名稱:MTMR2兔多克隆抗體
-
貨號:CSB-PA613418LA01HU
-
規格:¥440
-
圖片:
-
Western Blot
Positive WB detected in: Hela whole cell lysate
All lanes: MTMR2 antibody at 5.5μg/ml
Secondary
Goat polyclonal to rabbit IgG at 1/50000 dilution
Predicted band size: 74, 66 kDa
Observed band size: 74 kDa -
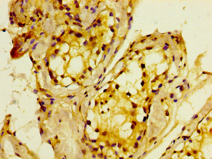
IHC image of CSB-PA613418LA01HU diluted at 1:400 and staining in paraffin-embedded human testis tissue performed on a Leica BondTM system. After dewaxing and hydration, antigen retrieval was mediated by high pressure in a citrate buffer (pH 6.0). Section was blocked with 10% normal goat serum 30min at RT. Then primary antibody (1% BSA) was incubated at 4°C overnight. The primary is detected by a biotinylated secondary antibody and visualized using an HRP conjugated SP system.
-
Immunofluorescence staining of Hela cells with CSB-PA613418LA01HU at 1:133, counter-stained with DAPI. The cells were fixed in 4% formaldehyde, permeabilized using 0.2% Triton X-100 and blocked in 10% normal Goat Serum. The cells were then incubated with the antibody overnight at 4°C. The secondary antibody was Alexa Fluor 488-congugated AffiniPure Goat Anti-Rabbit IgG(H+L).
-
-
其他:
產品詳情
-
產品名稱:Rabbit anti-Homo sapiens (Human) MTMR2 Polyclonal antibody
-
Uniprot No.:
-
基因名:
-
別名:CMT4B antibody; CMT4B1 antibody; KIAA1073 antibody; MTMR2 antibody; MTMR2_HUMAN antibody; Myotubularin related protein 2 antibody; Myotubularin-related protein 2 antibody; OTTHUMP00000204445 antibody; OTTHUMP00000204446 antibody; OTTHUMP00000204447 antibody; OTTHUMP00000204448 antibody; Phosphatidylinositol 3 phosphate phosphatase antibody; Phosphatidylinositol 3,5 bisphosphate 3 phosphatase antibody
-
宿主:Rabbit
-
反應種屬:Human
-
免疫原:Recombinant Human Myotubularin-related protein 2 protein (1-173AA)
-
免疫原種屬:Homo sapiens (Human)
-
標記方式:Non-conjugated
本頁面中的產品,MTMR2 Antibody (CSB-PA613418LA01HU),的標記方式是Non-conjugated。對于MTMR2 Antibody,我們還提供其他標記。見下表:
-
克隆類型:Polyclonal
-
抗體亞型:IgG
-
純化方式:>95%, Protein G purified
-
濃度:It differs from different batches. Please contact us to confirm it.
-
保存緩沖液:Preservative: 0.03% Proclin 300
Constituents: 50% Glycerol, 0.01M PBS, pH 7.4 -
產品提供形式:Liquid
-
應用范圍:ELISA, WB, IHC, IF
-
推薦稀釋比:
Application Recommended Dilution WB 1:500-1:5000 IHC 1:300-1:500 IF 1:50-1:200 -
Protocols:
-
儲存條件:Upon receipt, store at -20°C or -80°C. Avoid repeated freeze.
-
貨期:Basically, we can dispatch the products out in 1-3 working days after receiving your orders. Delivery time maybe differs from different purchasing way or location, please kindly consult your local distributors for specific delivery time.
-
用途:For Research Use Only. Not for use in diagnostic or therapeutic procedures.
相關產品
靶點詳情
-
功能:Phosphatase that acts on lipids with a phosphoinositol headgroup. Has phosphatase activity towards phosphatidylinositol 3-phosphate and phosphatidylinositol 3,5-bisphosphate. Binds phosphatidylinositol 4-phosphate, phosphatidylinositol 5-phosphate, phosphatidylinositol 3,5-bisphosphate and phosphatidylinositol 3,4,5-trisphosphate. Stabilizes SBF2/MTMR13 at the membranes. Specifically in peripheral nerves, stabilizes SBF2/MTMR13 protein.
-
基因功能參考文獻:
- report the case of a Charcot-Marie-Tooth type 4B1 patient with a novel mutation in the MTMR2 gene (nonsense mutation in exon 6c.484 C>T; p.Arg162*) who started to experience stridor and was diagnosed with bilateral vocal cord paralysis at the age of 18 months - case report and review PMID: 28190646
- Expression of several MTMR2 isoforms ameliorates the myopathic phenotype owing to MTM1 loss, with increased muscle force, reduced myofiber atrophy, and reduction of the intracellular disorganization hallmarks associated with myotubular myopathy. PMID: 28934386
- The expression of the endogenous transcript is induced in a heterologous cell line by ectopically expressing SOX10, and is nearly ablated in Schwann cells by impairing SOX10 function. Intriguingly, overexpressing the two MTMR2 protein isoforms in HeLa cells revealed that both localize to nuclear puncta and the shorter isoform displays higher nuclear localization compared to the longer isoform PMID: 27466180
- we identified a novel mutation in MTMR2 in a family with CMT4B1 and myelin outfoldings PMID: 23781969
- these results reveal that MTMR2 compartmentalization and potential subsequent effects on endosome maturation and endosome signaling are dynamically regulated through MAPK-mediated differential phosphorylation events. PMID: 23378027
- Novel mutations in the PRX and the MTMR2 genes are responsible for unusual Charcot-Marie-Tooth disease phenotypes. PMID: 21741241
- MTMR2 phosphorylation is likely to be a critical mechanism by which MTMR2 access to its lipid substrate(s) is temporally and spatially regulated, thereby contributing to the control of downstream endosome maturation events. PMID: 21372139
- MTMR2 shares similar phosphatase activity and substrate specificity than its homologous proteins MTM1 and MTMR3 PMID: 11846405
- REVIEW : MTMR2 belongs to the myotubularin family of phosphoinositides phosphatases PMID: 12925573
- Loss of MTMR2, by decreasing Schwann cells proliferation and survival, may impair the first stages of myelination of the peripheral nervous system PMID: 17336078
- REVIEW : MTMR2 and homologous proteins are mutated in several neuromuscular diseases PMID: 18429927
- A homozygous cytosine to thymine missense mutation at nucleotide position 847, resulting in an amino acid substitution of arginine to tryptophan at codon 283, was detected in exon 9 of the MTMR2 gene PMID: 12398840
- MTMR2 interacts with MTMR5 via its coiled-coil domain and that mutations in the coiled-coil domain of either MTMR2 or MTMR5 abrogate this interaction. PMID: 12668758
- crystal structure of MTMR2, a protein tyrosine phosphatase that is a member of the myotubularin-related protein family. PMID: 14690594
- Loss of MTMR13 (SBF2) function in Charcot-Marie-Tooth disease type 4B patients may lead to alterations in MTMR2 function and subsequent alterations in 3-phosphoinositide signaling. PMID: 15998640
- analysis of the molecular basis for this unique substrate specificity of human myotubularin-related protein-2 (MTMR2) in complex with phosphoinositides PMID: 16410353
- review of the role of MTMR2 and MTMR13 and their involvement in the biology of Schwann cell and CMT4B neuropathies PMID: 17880751
顯示更多
收起更多
-
相關疾病:Charcot-Marie-Tooth disease 4B1 (CMT4B1)
-
亞細胞定位:Cytoplasm. Early endosome membrane; Peripheral membrane protein. Cytoplasm, perinuclear region. Cell projection, axon. Endosome membrane; Peripheral membrane protein.
-
蛋白家族:Protein-tyrosine phosphatase family, Non-receptor class myotubularin subfamily
-
數據庫鏈接:
Most popular with customers
-
-
Phospho-YAP1 (S127) Recombinant Monoclonal Antibody
Applications: ELISA, WB, IHC
Species Reactivity: Human
-
-
-
-
-
-















