MTIF3 Antibody
-
中文名稱:MTIF3兔多克隆抗體
-
貨號:CSB-PA862000ESR2HU
-
規格:¥440
-
圖片:
-
Western blot
All lanes: MTIF3 antibody at 1.15 μg/ml
Lane 1: Mouse small intestine tissue
Lane 2: Rat heart tissue
Lane 3: Mouse liver tissue
Lane 4: Hela whole cell lysate
Secondary
Goat polyclonal to rabbit IgG at 1/10000 dilution
Predicted band size: 32 kDa
Observed band size: 32, 100, 75 kDa -
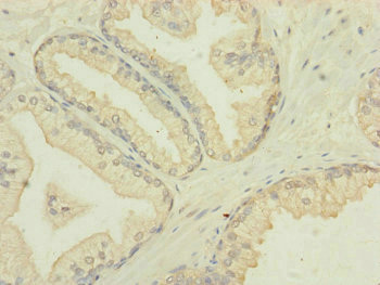
Immunohistochemistry of paraffin-embedded human prostate cancer using CSB-PA862000ESR2HU at dilution of 1:100
-
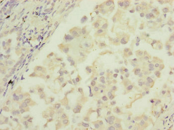
Immunohistochemistry of paraffin-embedded human lung cancer using CSB-PA862000ESR2HU at dilution of 1:100
-
-
其他:
產品詳情
-
產品名稱:Rabbit anti-Homo sapiens (Human) MTIF3 Polyclonal antibody
-
Uniprot No.:
-
基因名:MTIF3
-
別名:DC38 antibody; IF 3 antibody; IF 3Mt antibody; IF-3(Mt) antibody; IF-3Mt antibody; IF3 antibody; IF3(mt) antibody; IF3M_HUMAN antibody; IF3mt antibody; mitochondrial antibody; Mt antibody; MTIF3 antibody; Translation initiation factor IF 3; mitochondrial precursor antibody; Translation initiation factor IF-3 antibody
-
宿主:Rabbit
-
反應種屬:Human, Mouse, Rat
-
免疫原:Recombinant Human Translation initiation factor IF-3, mitochondrial protein (1-278AA)
-
免疫原種屬:Homo sapiens (Human)
-
標記方式:Non-conjugated
-
克隆類型:Polyclonal
-
抗體亞型:IgG
-
純化方式:Antigen Affinity Purified
-
濃度:It differs from different batches. Please contact us to confirm it.
-
保存緩沖液:PBS with 0.02% sodium azide, 50% glycerol, pH7.3.
-
產品提供形式:Liquid
-
應用范圍:ELISA, WB, IHC
-
推薦稀釋比:
Application Recommended Dilution WB 1:1000-1:5000 IHC 1:20-1:200 -
Protocols:
-
儲存條件:Upon receipt, store at -20°C or -80°C. Avoid repeated freeze.
-
貨期:Basically, we can dispatch the products out in 1-3 working days after receiving your orders. Delivery time maybe differs from different purchasing way or location, please kindly consult your local distributors for specific delivery time.
-
用途:For Research Use Only. Not for use in diagnostic or therapeutic procedures.
相關產品
靶點詳情
-
功能:IF-3 binds to the 28S ribosomal subunit and shifts the equilibrum between 55S ribosomes and their 39S and 28S subunits in favor of the free subunits, thus enhancing the availability of 28S subunits on which protein synthesis initiation begins.
-
基因功能參考文獻:
- genetic association studies in cohorts of prediabetic patients at multiple sites: Data suggest that an SNP in MTIF3 (rs1885988) is associated with greater weight loss following lifestyle intervention in overweight/obese subjects with prediabetes. PMID: 26253612
- single nucleotide polymorphisms rs4771122 of MTIF3 was the variant most significantly associated with long-term weight loss after surgery. PMID: 26337695
- Changes in function or expression of MTIF3 indicates mitochondrial dysfunction and contributes to the risk of Parkinson's disease. PMID: 20887776
- the c.798C>T polymorphism of the MTIF3 gene showed allelic association with Parkinson's disease PMID: 17267121
-
亞細胞定位:Mitochondrion.
-
蛋白家族:IF-3 family
-
數據庫鏈接:
Most popular with customers
-
-
YWHAB Recombinant Monoclonal Antibody
Applications: ELISA, WB, IHC, IF, FC
Species Reactivity: Human, Mouse, Rat
-
Phospho-YAP1 (S127) Recombinant Monoclonal Antibody
Applications: ELISA, WB, IHC
Species Reactivity: Human
-
-
-
-
-















