MTBP Antibody
-
中文名稱:MTBP兔多克隆抗體
-
貨號:CSB-PA856921LA01HU
-
規格:¥440
-
圖片:
-
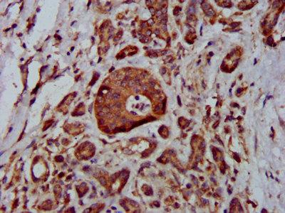
IHC image of CSB-PA856921LA01HU diluted at 1:400 and staining in paraffin-embedded human pancreatic cancer performed on a Leica BondTM system. After dewaxing and hydration, antigen retrieval was mediated by high pressure in a citrate buffer (pH 6.0). Section was blocked with 10% normal goat serum 30min at RT. Then primary antibody (1% BSA) was incubated at 4°C overnight. The primary is detected by a biotinylated secondary antibody and visualized using an HRP conjugated SP system.
-
-
其他:
產品詳情
-
產品名稱:Rabbit anti-Homo sapiens (Human) MTBP Polyclonal antibody
-
Uniprot No.:
-
基因名:MTBP
-
別名:hMTBP antibody; MDM 2 binding protein antibody; MDM 2 BP antibody; MDM2 (mouse double minute 2) binding protein 104kD antibody; MDM2 (mouse double minute 2) binding protein antibody; MDM2 binding protein antibody; MDM2 BP antibody; Mdm2 transformed 3T3 cell double minute 2 p53 binding protein (mouse) binding protein 104kDa antibody; Mdm2 transformed 3T3 cell double minute 2 p53 binding protein (mouse) binding protein antibody; Mdm2 transformed 3T3 cell double minute 2 p53 binding protein binding protein antibody; Mdm2-binding protein antibody; MDM2BP antibody; Mouse double minute 2 homolog binding protein antibody; MTBP antibody; MTBP_HUMAN antibody
-
宿主:Rabbit
-
反應種屬:Human
-
免疫原:Recombinant Human Mdm2-binding protein (567-724AA)
-
免疫原種屬:Homo sapiens (Human)
-
標記方式:Non-conjugated
本頁面中的產品,MTBP Antibody (CSB-PA856921LA01HU),的標記方式是Non-conjugated。對于MTBP Antibody,我們還提供其他標記。見下表:
-
克隆類型:Polyclonal
-
抗體亞型:IgG
-
純化方式:>95%, Protein G purified
-
濃度:It differs from different batches. Please contact us to confirm it.
-
保存緩沖液:Preservative: 0.03% Proclin 300
Constituents: 50% Glycerol, 0.01M PBS, pH 7.4 -
產品提供形式:Liquid
-
應用范圍:ELISA, IHC
-
推薦稀釋比:
Application Recommended Dilution IHC 1:200-1:500 -
Protocols:
-
儲存條件:Upon receipt, store at -20°C or -80°C. Avoid repeated freeze.
-
貨期:Basically, we can dispatch the products out in 1-3 working days after receiving your orders. Delivery time maybe differs from different purchasing way or location, please kindly consult your local distributors for specific delivery time.
-
用途:For Research Use Only. Not for use in diagnostic or therapeutic procedures.
相關產品
靶點詳情
-
功能:Inhibits cell migration in vitro and suppresses the invasive behavior of tumor cells. May play a role in MDM2-dependent p53/TP53 homeostasis in unstressed cells. Inhibits autoubiquitination of MDM2, thereby enhancing MDM2 stability. This promotes MDM2-mediated ubiquitination of p53/TP53 and its subsequent degradation.
-
基因功能參考文獻:
- data show that MTBP aggravates the invasion and metastasis of HCC by promoting the MDM2-mediated degradation of E-cadherin. PMID: 26280083
- Overexpression of MTBP resulted in the suppression of the migratory and metastatic potential of Hepatocellular carcinoma cells, while its downregulation increased the migration. PMID: 25759210
- MTBP significantly contributes to breast cancer survival and is a potential novel therapeutic target in Triple-negative breast cancer . PMID: 24866769
- MTBP associated with MYC at promoters and increased MYC-mediated transcription, proliferation, neoplastic transformation, and tumor development. PMID: 24786788
- MTBP acts with Treslin/TICRR to integrate signals from cell cycle and DNA damage response pathways to control the initiation of DNA replication in human cells. PMID: 23704573
- MTBP also inhibited ACTN4-mediated F-actin bundling. PMID: 22370640
- identification and characterization of mouse Mdm2 binding protein PMID: 10906133
- MTBP has an important role in recruiting and/or retaining the Mad1/Mad2 complex at the kinetochores during prometaphase, but its degradation is required for silencing the mitotic checkpoint. PMID: 21274008
- results represent the first examination of MTBP expression in human tissues and provide evidence for a p53 status-dependent role for MTBP in suppressing disease progression in squamous cell carcinoma of the head and neck patients PMID: 21692053
- Data suggest that MTBP differentially regulates the activity of MDM2 towards two of its most critical targets (itself and p53) and in doing so significantly contributes to MDM2-dependent p53 homeostasis in unstressed cells. PMID: 15632057
- MTBP contributes to MDM2 activity and through this to negative regulation of p53 PMID: 15632057
顯示更多
收起更多
-
蛋白家族:MTBP family
-
數據庫鏈接:
Most popular with customers
-
-
YWHAB Recombinant Monoclonal Antibody
Applications: ELISA, WB, IHC, IF, FC
Species Reactivity: Human, Mouse, Rat
-
Phospho-YAP1 (S127) Recombinant Monoclonal Antibody
Applications: ELISA, WB, IHC
Species Reactivity: Human
-
-
-
-
-















