MT1X Antibody
-
中文名稱:MT1X兔多克隆抗體
-
貨號:CSB-PA17374A0Rb
-
規格:¥440
-
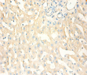
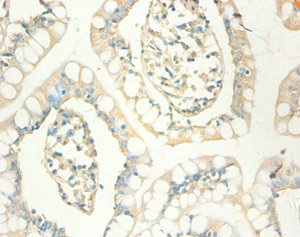
圖片:
-
其他:
產品詳情
-
產品名稱:Rabbit anti-Homo sapiens (Human) MT1X Polyclonal antibody
-
Uniprot No.:
-
基因名:MT1X
-
別名:MT1X antibody; Metallothionein-1X antibody; MT-1X antibody; Metallothionein-IX antibody; MT-IX antibody
-
宿主:Rabbit
-
反應種屬:Human
-
免疫原:Recombinant Human Metallothionein-1X protein (1-59AA)
-
免疫原種屬:Homo sapiens (Human)
-
標記方式:Non-conjugated
本頁面中的產品,MT1X Antibody (CSB-PA17374A0Rb),的標記方式是Non-conjugated。對于MT1X Antibody,我們還提供其他標記。見下表:
-
克隆類型:Polyclonal
-
抗體亞型:IgG
-
純化方式:>95%, Protein G purified
-
濃度:It differs from different batches. Please contact us to confirm it.
-
保存緩沖液:Preservative: 0.03% Proclin 300
Constituents: 50% Glycerol, 0.01M PBS, PH 7.4 -
產品提供形式:Liquid
-
應用范圍:ELISA, IHC
-
推薦稀釋比:
Application Recommended Dilution IHC 1:20-1:200 -
Protocols:
-
儲存條件:Upon receipt, store at -20°C or -80°C. Avoid repeated freeze.
-
貨期:Basically, we can dispatch the products out in 1-3 working days after receiving your orders. Delivery time maybe differs from different purchasing way or location, please kindly consult your local distributors for specific delivery time.
-
用途:For Research Use Only. Not for use in diagnostic or therapeutic procedures.
相關產品
靶點詳情
-
功能:Metallothioneins have a high content of cysteine residues that bind various heavy metals; these proteins are transcriptionally regulated by both heavy metals and glucocorticoids. May be involved in FAM168A anti-apoptotic signaling.
-
基因功能參考文獻:
- Data show that in the MCF-7 breast cancer cell line, only MT1X metallothioneins (MTs) positively correlated with vascular endothelial growth factor C (VEGFC). PMID: 27107086
- MT1XT20 Single Quasi-Monomorphic Mononucleotide Marker showing Microsatellite Instability is associated with Persian Lynch Syndrome PMID: 27797228
- These findings suggest that functional interactions between FHL3 and MT-1X may provide some clues to the mechanisms of FHL3-regulated cell proliferation. PMID: 24690879
- Results show variation in MTX1 is implicated in disordered gambling PMID: 22780124
- siRNA-mediated knockdown of TCRP1 and MT1X was found to sensitize cells to cisplatin, leading to increased apoptosis and inhibition of cell proliferation PMID: 23251525
- Our results suggest that MT1XT20 represents a sensitive and specific marker for MSI testing and could be included in a complete set of MSI markers for the confident identification of familial or sporadic dMMR patients in colorectal cancers. PMID: 22108904
- It plays a role in the detoxification of heavy metals and reactive oxygen species. (review) PMID: 19881214
顯示更多
收起更多
-
蛋白家族:Metallothionein superfamily, Type 1 family
-
數據庫鏈接:
Most popular with customers
-
YWHAB Recombinant Monoclonal Antibody
Applications: ELISA, WB, IHC, IF, FC
Species Reactivity: Human, Mouse, Rat
-
Phospho-YAP1 (S127) Recombinant Monoclonal Antibody
Applications: ELISA, WB, IHC
Species Reactivity: Human
-
-
-
-
-
-















