MST1 Antibody
-
中文名稱:MST1兔多克隆抗體
-
貨號:CSB-PA015055LA01HU
-
規格:¥440
-
圖片:
-
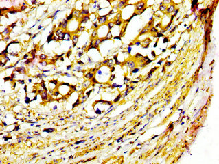
IHC image of CSB-PA015055LA01HU diluted at 1:400 and staining in paraffin-embedded human gastric cancer performed on a Leica BondTM system. After dewaxing and hydration, antigen retrieval was mediated by high pressure in a citrate buffer (pH 6.0). Section was blocked with 10% normal goat serum 30min at RT. Then primary antibody (1% BSA) was incubated at 4°C overnight. The primary is detected by a biotinylated secondary antibody and visualized using an HRP conjugated SP system.
-
IHC image of CSB-PA015055LA01HU diluted at 1:400 and staining in paraffin-embedded human liver tissue performed on a Leica BondTM system. After dewaxing and hydration, antigen retrieval was mediated by high pressure in a citrate buffer (pH 6.0). Section was blocked with 10% normal goat serum 30min at RT. Then primary antibody (1% BSA) was incubated at 4°C overnight. The primary is detected by a biotinylated secondary antibody and visualized using an HRP conjugated SP system.
-
-
其他:
產品詳情
-
產品名稱:Rabbit anti-Homo sapiens (Human) MST1 Polyclonal antibody
-
Uniprot No.:
-
基因名:MST1
-
別名:D3F15S2 antibody; DNF15S2 antibody; Hepatocyte growth factor like protein alpha chain antibody; Hepatocyte growth factor like protein antibody; Hepatocyte growth factor like protein beta chain antibody; Hepatocyte growth factor like protein homolog antibody; Hepatocyte growth factor-like protein beta chain antibody; HGFL antibody; HGFL_HUMAN antibody; Macrophage stimulating 1 (hepatocyte growth factor like) antibody; Macrophage stimulatory protein antibody; Macrophage-stimulating protein antibody; MSP antibody; MST1 antibody; NF15S2 antibody; OTTHUMP00000208927 antibody
-
宿主:Rabbit
-
反應種屬:Human
-
免疫原:Recombinant Human Hepatocyte growth factor-like protein (363-465AA)
-
免疫原種屬:Homo sapiens (Human)
-
標記方式:Non-conjugated
本頁面中的產品,MST1 Antibody (CSB-PA015055LA01HU),的標記方式是Non-conjugated。對于MST1 Antibody,我們還提供其他標記。見下表:
-
克隆類型:Polyclonal
-
抗體亞型:IgG
-
純化方式:>95%, Protein G purified
-
濃度:It differs from different batches. Please contact us to confirm it.
-
保存緩沖液:Preservative: 0.03% Proclin 300
Constituents: 50% Glycerol, 0.01M PBS, pH 7.4 -
產品提供形式:Liquid
-
應用范圍:ELISA, IHC
-
推薦稀釋比:
Application Recommended Dilution IHC 1:200-1:500 -
Protocols:
-
儲存條件:Upon receipt, store at -20°C or -80°C. Avoid repeated freeze.
-
貨期:Basically, we can dispatch the products out in 1-3 working days after receiving your orders. Delivery time maybe differs from different purchasing way or location, please kindly consult your local distributors for specific delivery time.
-
用途:For Research Use Only. Not for use in diagnostic or therapeutic procedures.
相關產品
靶點詳情
-
基因功能參考文獻:
- Mst1 has an important role in inhibiting the growth of NSCLC in vitro and in vivo; its antiproliferative effect is associated with induction of apoptosis. PMID: 23928732
- These data suggest that MSP is an effective inhibitor of inflammation and lipid accumulation in the stressed liver, thereby indicating that MSP has a key regulatory role in non-alcoholic steatohepatitis. PMID: 27609031
- Identify MST1/MSP as a mitogen for tracheal basal cells. PMID: 25551685
- MSP appears to promote the migration of fibroblasts, enhances collagen synthesis and remodeling, and effectively improves wound healing. PMID: 25315688
- Elevated serum levels of MST1 were found in subjects with excessive alcohol use. PMID: 25704570
- These results support the hypothesis that the alpha-chain of MSPalphabeta mediates RON dimerization. PMID: 25193665
- functional consequences of the macrophage stimulating protein 689C inflammatory bowel disease risk allele PMID: 24409221
- Results suggest that the [AA] genotype of the common MST1 variant rs3197999 enhances genetic risk of sporadic extrahepatic cholangiocarcinoma irrespective of primary sclerosing cholangitis status. PMID: 23422030
- MSP may be one of the major determinants that affects the properties of tumor stroma and that produces a permissive microenvironment to promote cancer metastasis PMID: 23011677
- The present results refine the known genetic architecture in primary sclerosing cholangitis by confirming MST1 locus association. PMID: 22554193
- the missense SNP impairs MSP function by reducing its affinity to RON and perhaps through a secondary effect on in vivo concentration arising from reduced thermodynamic stability, resulting in down-regulation of the MSP/RON signaling pathway. PMID: 22087277
- HAT cleaves proMSP at the physiological activation site PMID: 22245154
- Studies indicate that the cylindromatosis/turban tumor syndrome gene (CYLD) ranked highest, followed by acylaminoacyl-peptidase (APEH), dystroglycan (DAG1), macrophage-stimulating protein (MST1) and ubiquitin-specific peptidase 4 (USP4). PMID: 21931648
- These findings suggest that the MSP/RON signaling pathway may be regulated by hepsin in tissue homeostasis and in disease pathologies, such as in cancer and immune disorders. PMID: 21875933
- considerable number of Merkel cell carcinoma cases expressed both RON and MSP, while Merkel cells do not express these molecules PMID: 21723047
- MSP-induced RSK2 activation is a critical determinant linking RON signaling to cellular EMT program. PMID: 21619683
- the oncogenic effect of BRAF(V600E) is associated with the inhibition of MST1 tumor suppressor pathways, and that the activity of RASSF1A-MST1-FoxO3 pathways determines the phenotypes of BRAF(V600E) tumors. PMID: 21249150
- results suggest that MSP induces uPAR expression via MAPK, AP-1 and NF-kappaB signaling pathways PMID: 21081472
- Observational study and genome-wide association study of gene-disease association, gene-environment interaction, and pharmacogenomic / toxicogenomic. (HuGE Navigator) PMID: 20014019
- These results suggest that activation of RON by macrophage-stimulating protein inhibits LPS-induced macrophage Cox-2 expression. PMID: 12177064
- Data show that macrophage stimulating protein (MSP) and its receptor (Ron) induce phosphorylation of both Ron and alpha6beta4 integrin, and result in activation of alpha3beta1 integrin. PMID: 12919677
- macrophage-stimulating protein-responsive cell growth in culture is suppressed by the ron-sema domain PMID: 14597639
- Macrophage stimulating protein and its receptor RON are involved in the pathophysiology of endometriosis. PMID: 15764806
- repression of MSP gene expression by mutant p53 may contribute to oncogenesis in a cell type-specific manner PMID: 16170349
- overexpression of MSP, MT-SP1, and MST1R was a strong independent indicator of both metastasis and death in human breast cancer PMID: 17456594
- Cell migration and production of inflammatory cytokines by the brain are enhanced by MSP stimulation in primary microglia. PMID: 18480548
- The five gene transcripts (aldolase B, elafin, MST-1, simNIPhom and SLC6A14) were changed in patients with ulcerative colitis, and were related to the disease activity. PMID: 18700007
- Gene-centric association mapping of chromosome 3p implicates MST1 in IBD pathogenesis. PMID: 19079170
- Results suggest that hepatocyte growth factor activator is a major serum activator of pro-macrophage-stimulating protein. PMID: 19456860
- The effect of BSN-MST1 locus on Crohn's disease predisposition was replicated, but no influence on ulcerative colitis or multiple sclerosis predisposition could be detected PMID: 19657358
顯示更多
收起更多
-
相關疾病:MST1 variant Cys-689 may be associated with inflammatory bowel disease (IBD), a chronic, relapsing inflammation of the gastrointestinal tract with a complex etiology. It is unsure whether Cys-689 itself or a variation in linkage disequilibrium with Cys-689 is responsible for the association with IBD.
-
亞細胞定位:Secreted.
-
蛋白家族:Peptidase S1 family, Plasminogen subfamily
-
數據庫鏈接:
Most popular with customers
-
-
YWHAB Recombinant Monoclonal Antibody
Applications: ELISA, WB, IHC, IF, FC
Species Reactivity: Human, Mouse, Rat
-
Phospho-YAP1 (S127) Recombinant Monoclonal Antibody
Applications: ELISA, WB, IHC
Species Reactivity: Human
-
-
-
-
-















