MSRB2 Antibody
-
中文名稱:MSRB2兔多克隆抗體
-
貨號:CSB-PA896505DSR2HU
-
規格:¥440
-
圖片:
-
Western Blot
Positive WB detected in: Mouse Heart tissue lysate(30μg)
All lanes: MSRB2 antibody at 1:1000
Secondary
Goat polyclonal to rabbit IgG at 1/20000 dilution
Predicted band size: 20 kDa
Observed band size: 20 kDa
Exposure time: 120s -
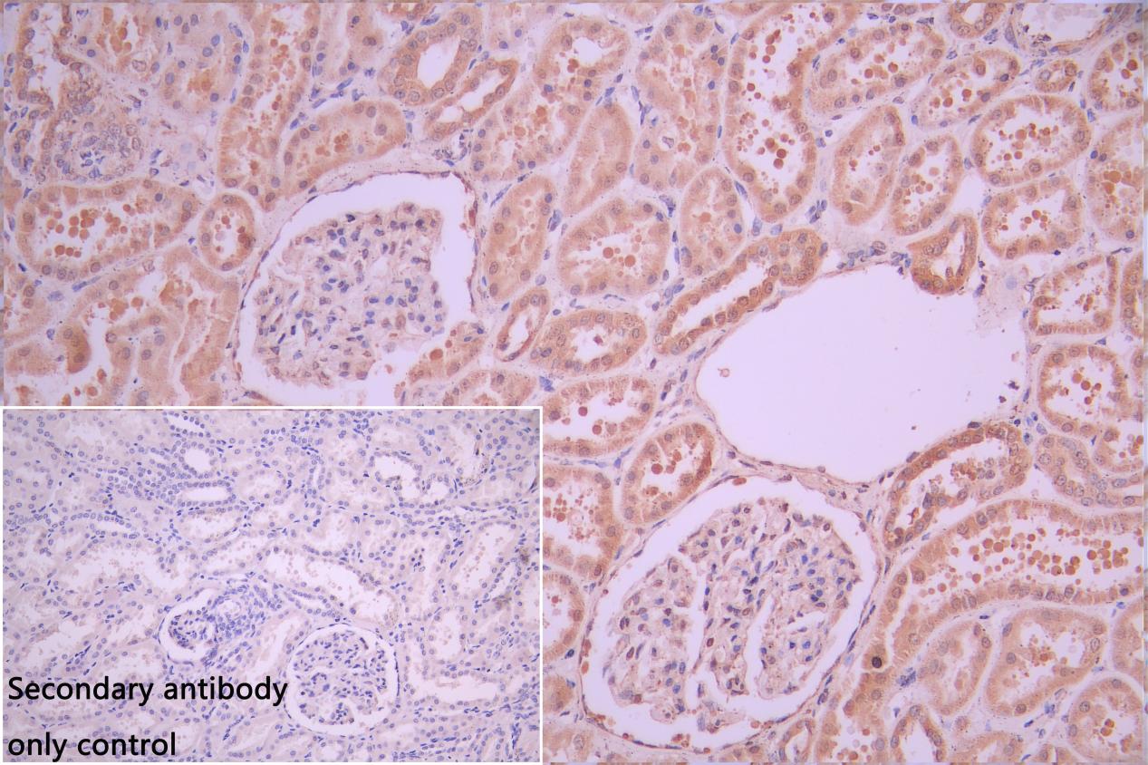
IHC image of CSB-PA896505DSR2HU diluted at 1:50 and staining in paraffin-embedded human kidney tissue performed on a Leica BondTM system. After dewaxing and hydration, antigen retrieval was mediated by high pressure in a citrate buffer (pH 6.0). Section was blocked with 10% normal goat serum 30min at RT. Then primary antibody (1% BSA) was incubated at 4°C overnight. The primary is detected by a Goat anti-rabbit polymer IgG labeled by HRP and visualized using 0.05% DAB. Secondary antibody only control: uses 1% BSA instead of primary antibody
-
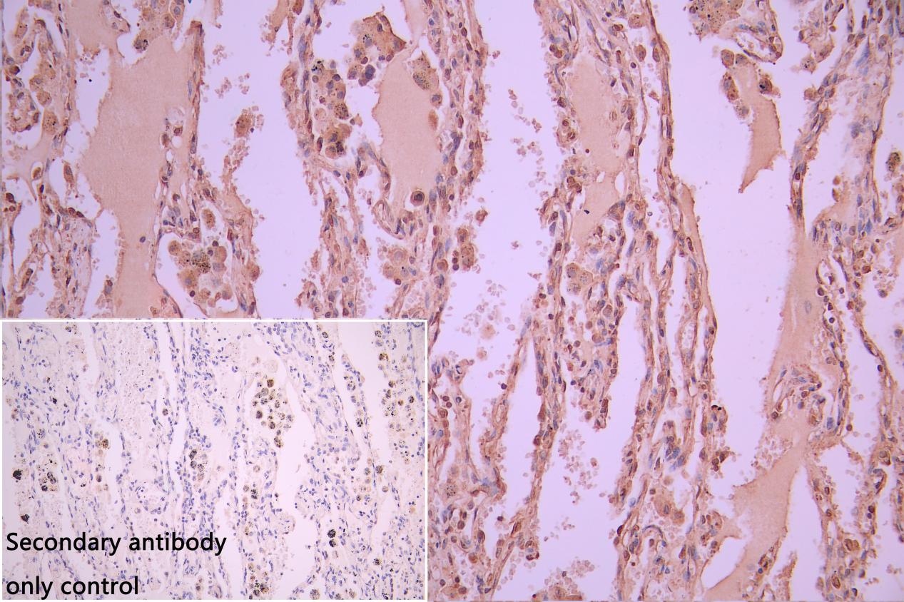
IHC image of CSB-PA896505DSR2HU diluted at 1:50 and staining in paraffin-embedded human Lung cancer performed on a Leica BondTM system. After dewaxing and hydration, antigen retrieval was mediated by high pressure in a citrate buffer (pH 6.0). Section was blocked with 10% normal goat serum 30min at RT. Then primary antibody (1% BSA) was incubated at 4°C overnight. The primary is detected by a Goat anti-rabbit polymer IgG labeled by HRP and visualized using 0.05% DAB. Secondary antibody only control: uses 1% BSA instead of primary antibody
-
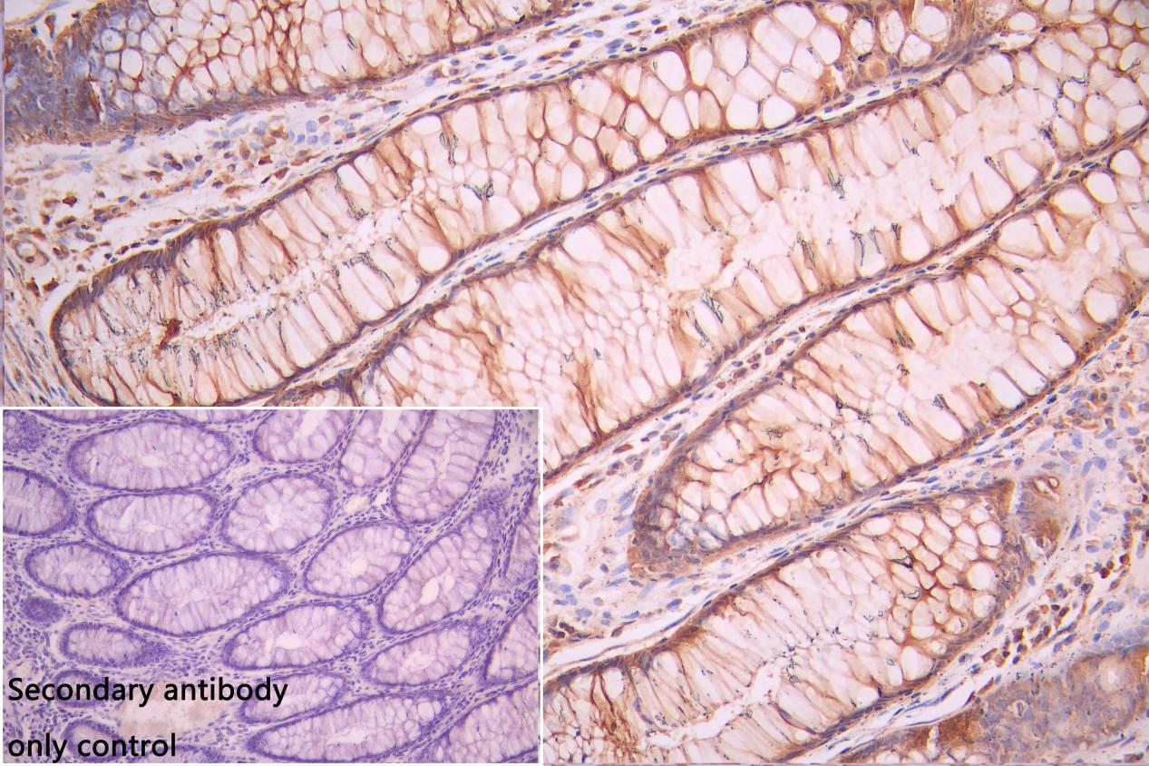
IHC image of CSB-PA896505DSR2HU diluted at 1:50 and staining in paraffin-embedded human colorectal cancer performed on a Leica BondTM system. After dewaxing and hydration, antigen retrieval was mediated by high pressure in a citrate buffer (pH 6.0). Section was blocked with 10% normal goat serum 30min at RT. Then primary antibody (1% BSA) was incubated at 4°C overnight. The primary is detected by a Goat anti-rabbit polymer IgG labeled by HRP and visualized using 0.05% DAB. Secondary antibody only control: uses 1% BSA instead of primary antibody
-
-
其他:
產品詳情
-
產品名稱:Rabbit anti-Homo sapiens (Human) MSRB2 Polyclonal antibody
-
Uniprot No.:
-
基因名:MSRB2
-
別名:CBS 1 antibody; CBS1 antibody; CGI 131 antibody; Methionine sulfoxide reductase B2 antibody; Methionine-R-sulfoxide reductase B2 antibody; MGC26104 antibody; mitochondrial antibody; MSRB 2 antibody; MSRB antibody; Msrb2 antibody; MSRB2_HUMAN antibody; PILB antibody; Pilin like transcription factor antibody
-
宿主:Rabbit
-
反應種屬:Human, Mouse
-
免疫原:Recombinant Human Methionine-R-sulfoxide reductase B2, mitochondrial protein
-
免疫原種屬:Homo sapiens (Human)
-
標記方式:Non-conjugated
-
克隆類型:Polyclonal
-
抗體亞型:IgG
-
純化方式:Antigen Affinity Purified
-
濃度:It differs from different batches. Please contact us to confirm it.
-
保存緩沖液:Preservative: 0.03% Proclin 300
Constituents: 50% Glycerol, 0.01M PBS, pH 7.4 -
產品提供形式:Liquid
-
應用范圍:ELISA, WB, IHC
-
推薦稀釋比:
Application Recommended Dilution WB 1:500-1:2000 IHC 1:50-1:200 -
Protocols:
-
儲存條件:Upon receipt, store at -20°C or -80°C. Avoid repeated freeze.
-
貨期:Basically, we can dispatch the products out in 1-3 working days after receiving your orders. Delivery time maybe differs from different purchasing way or location, please kindly consult your local distributors for specific delivery time.
-
用途:For Research Use Only. Not for use in diagnostic or therapeutic procedures.
相關產品
靶點詳情
-
功能:Methionine-sulfoxide reductase that specifically reduces methionine (R)-sulfoxide back to methionine. While in many cases, methionine oxidation is the result of random oxidation following oxidative stress, methionine oxidation is also a post-translational modification that takes place on specific residue. Upon oxidative stress, may play a role in the preservation of mitochondrial integrity by decreasing the intracellular reactive oxygen species build-up through its scavenging role, hence contributing to cell survival and protein maintenance.
-
基因功能參考文獻:
- this study we have identified, for the first time, compounds structurally related to the natural products fusaricidins that markedly activate recombinant bovine and human MsrA and human MsrB. PMID: 26718410
- Silencing the expression of the main Msr elements-MsrA, MsrB1, or MsrB2 exacerbates sensitivity toward oxidative stress. PMID: 23988788
- the mitochondrial methionine-R-sulfoxide reductase B2 (MSRB2) is a specific interaction partner of LG72. PMID: 25078755
- Data show that glutaredoxin acts as a reductant for methionine sulfoxide reductases A and B (MsrA and MsrB) with or without resolving cysteine. PMID: 22634633
- CBS1, a methionine sulfoxide reductase of type B, is most abundant in muscle tissues, especially in the heart and thereby shows an expression pattern different to the human methionine sulfoxide reductase A PMID: 12220640
- MSRB is down-regulated during cell aging. PMID: 14759519
- hMSRB2 expression was weak in brain, but strong in heart, skeletal muscle, and smooth muscle-containing organs (digestive system, bladder), lung and aorta, while hMSRB1 displayed a higher expression in liver and kidney PMID: 14980072
- showed the expression and function of both sulfoxide reductases together with thioredoxin reductase in the cytosol as well as in the nucleus of epidermal melanocytes which are especially sensitive to reactive oxygen PMID: 16480945
- Methionine sulfoxide reductases A and B are seriously affected by hydrogen peroxide accumulation in acute vitiligo. PMID: 17943184
- upon oxidative stress, the overexpression of methionine sulfoxide reductase B2 leads to the preservation of mitochondrial integrity by decreasing the intracellular reactive oxygen species build-up through its scavenging role PMID: 18424444
- almost absent catalase and methionine sulfoxide reductase A and B protein expression in human gray/white scalp hair shafts in association with a functional loss of methionine sulfoxide repair in the entire gray hair follicle PMID: 19237503
- MSR enzymes are differentially expressed in human skin. PMID: 19542914
顯示更多
收起更多
-
亞細胞定位:Mitochondrion.
-
蛋白家族:MsrB Met sulfoxide reductase family
-
組織特異性:Ubiquitous. Detected in retina, ocular ciliary body, skeletal muscle, heart, colon, bone marrow, cerebellum, small intestine, fetal brain, fetal liver, kidney, spinal cord, lung, placenta and prostate.
-
數據庫鏈接:
Most popular with customers
-
-
YWHAB Recombinant Monoclonal Antibody
Applications: ELISA, WB, IHC, IF, FC
Species Reactivity: Human, Mouse, Rat
-
Phospho-YAP1 (S127) Recombinant Monoclonal Antibody
Applications: ELISA, WB, IHC
Species Reactivity: Human
-
-
-
-
-















