MSH4 Antibody
-
中文名稱:MSH4兔多克隆抗體
-
貨號:CSB-PA107776
-
規格:¥1100
-
圖片:
-
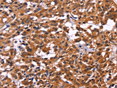
The image on the left is immunohistochemistry of paraffin-embedded Human thyroid cancer tissue using CSB-PA107776(MSH4 Antibody) at dilution 1/30, on the right is treated with fusion protein. (Original magnification: ×200)
-
The image on the left is immunohistochemistry of paraffin-embedded Human brain tissue using CSB-PA107776(MSH4 Antibody) at dilution 1/30, on the right is treated with fusion protein. (Original magnification: ×200)
-
-
其他:
產品詳情
-
Uniprot No.:
-
基因名:MSH4
-
別名:hMSH4 antibody; MSH 4 antibody; MSH4 antibody; MSH4_HUMAN antibody; MutS homolog 4 (E. Coli) antibody; MutS homolog 4 antibody; MutS protein homolog 4 antibody
-
宿主:Rabbit
-
反應種屬:Human,Mouse
-
免疫原:Fusion protein of Human MSH4
-
免疫原種屬:Homo sapiens (Human)
-
標記方式:Non-conjugated
-
抗體亞型:IgG
-
純化方式:Antigen affinity purification
-
濃度:It differs from different batches. Please contact us to confirm it.
-
保存緩沖液:-20°C, pH7.4 PBS, 0.05% NaN3, 40% Glycerol
-
產品提供形式:Liquid
-
應用范圍:ELISA,IHC
-
推薦稀釋比:
Application Recommended Dilution ELISA 1:2000-1:5000 IHC 1:50-1:200 -
Protocols:
-
儲存條件:Upon receipt, store at -20°C or -80°C. Avoid repeated freeze.
-
貨期:Basically, we can dispatch the products out in 1-3 working days after receiving your orders. Delivery time maybe differs from different purchasing way or location, please kindly consult your local distributors for specific delivery time.
-
用途:For Research Use Only. Not for use in diagnostic or therapeutic procedures.
相關產品
靶點詳情
-
功能:Involved in meiotic recombination. Required for reciprocal recombination and proper segregation of homologous chromosomes at meiosis.
-
基因功能參考文獻:
- Study describes the first MSH4 mutation associated with POI and increases the number of meiotic/DNA repair genes formally implicated as being responsible for this condition. PMID: 28541421
- inactivation of MSH4 in germ cells may have played a role in the acquisition of additional TP53 and LATS1 germline mutations in a Li-Fraumeni family PMID: 25041856
- hMSH4 interacts with HDAC3. PMID: 24145748
- Our current study has revealed a role for hMSH4 in the maintenance of genomic stability by suppressing NHEJ-mediated DSB repair. PMID: 23725059
- mutation analysis of SYCP3, DNMT3L and MSH4 in patients with maturation arrest of spermatogenesis and couples with recurrent miscarriages PMID: 21126912
- The different properties associated with these two hMSH5 variants underscore the potential functional diversity of the human hMSH5 gene. PMID: 15907804
- the GPS2 might function in concert with hMSH4-hMSH5 during the process of homologous recombination. PMID: 16122992
- A review of the properties and functional roles of MSH4. PMID: 17127347
- Dimerization of MSH4 and MSH5 facilitates their nuclear localization suggesting that dimerization may regulate the intracellular trafficking of these proteins. PMID: 17869244
- Data have identified the interaction region between the individual subunits of hMSH4-hMSH5 that are likely involved in clamp formation and show that each subunit of the heterodimer binds ATP. PMID: 17977839
- Data show that there is no association between MSH4 gene mutation and premature ovarian failure. PMID: 18166824
顯示更多
收起更多
-
亞細胞定位:Chromosome.
-
蛋白家族:DNA mismatch repair MutS family
-
組織特異性:Testis and ovary specific.
-
數據庫鏈接:
Most popular with customers
-
-
YWHAB Recombinant Monoclonal Antibody
Applications: ELISA, WB, IHC, IF, FC
Species Reactivity: Human, Mouse, Rat
-
-
-
-
-
-















