MSH3 Antibody
-
中文名稱:MSH3兔多克隆抗體
-
貨號:CSB-PA906808
-
規格:¥1100
-
圖片:
-
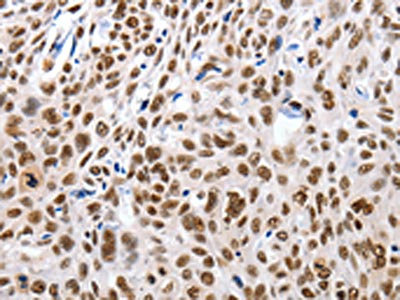
The image on the left is immunohistochemistry of paraffin-embedded Human colon cancer tissue using CSB-PA906808(MSH3 Antibody) at dilution 1/30, on the right is treated with fusion protein. (Original magnification: ×200)
-
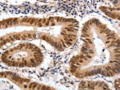
The image on the left is immunohistochemistry of paraffin-embedded Human esophagus cancer tissue using CSB-PA906808(MSH3 Antibody) at dilution 1/30, on the right is treated with fusion protein. (Original magnification: ×200)
-
-
其他:
產品詳情
-
Uniprot No.:
-
基因名:
-
別名:Divergent upstream protein antibody; DNA mismatch repair protein antibody; DNA mismatch repair protein Msh 3 antibody; DNA mismatch repair protein MSH3 antibody; DUC 1 antibody; DUC1 antibody; DUG antibody; DUP antibody; hMSH3 antibody; MGC163306 antibody; MGC163308 antibody; Mismatch repair protein 1 antibody; MRP 1 antibody; MRP1 antibody; MSH 3 antibody; MSH3 antibody; MSH3_HUMAN antibody; MutS homolog 3 (E. coli) antibody; MutS homolog 3 antibody
-
宿主:Rabbit
-
反應種屬:Human,Mouse
-
免疫原:Fusion protein of Human MSH3
-
免疫原種屬:Homo sapiens (Human)
-
標記方式:Non-conjugated
-
抗體亞型:IgG
-
純化方式:Antigen affinity purification
-
濃度:It differs from different batches. Please contact us to confirm it.
-
保存緩沖液:-20°C, pH7.4 PBS, 0.05% NaN3, 40% Glycerol
-
產品提供形式:Liquid
-
應用范圍:ELISA,IHC
-
推薦稀釋比:
Application Recommended Dilution ELISA 1:2000-1:5000 IHC 1:25-1:100 -
Protocols:
-
儲存條件:Upon receipt, store at -20°C or -80°C. Avoid repeated freeze.
-
貨期:Basically, we can dispatch the products out in 1-3 working days after receiving your orders. Delivery time maybe differs from different purchasing way or location, please kindly consult your local distributors for specific delivery time.
-
用途:For Research Use Only. Not for use in diagnostic or therapeutic procedures.
相關產品
靶點詳情
-
功能:Component of the post-replicative DNA mismatch repair system (MMR). Heterodimerizes with MSH2 to form MutS beta which binds to DNA mismatches thereby initiating DNA repair. When bound, the MutS beta heterodimer bends the DNA helix and shields approximately 20 base pairs. MutS beta recognizes large insertion-deletion loops (IDL) up to 13 nucleotides long. After mismatch binding, forms a ternary complex with the MutL alpha heterodimer, which is thought to be responsible for directing the downstream MMR events, including strand discrimination, excision, and resynthesis.
-
基因功能參考文獻:
- The role of MSH3 in 11 Lynch Syndrome patients with truncating MSH6 germline variants and an unexplained MSH2 protein loss.Heterozygous MSH3 defects alone do not seem to induce a Lynch Syndrome phenotype PMID: 28528517
- MSH3 was frequently inactivated by promoter methylation and its mRNA and protein expression correlated with the primary tumor stage in nasopharyngeal carcinoma. PMID: 28656302
- Msh3-/- cells are severely defective for CTG*CAG repeat expansions but show full activity on contractions. Msh3 overexpression led to high expansion activity and elevated levels of MutSbeta complex, indicating that MutSbeta abundance drives expansions. Expression of 2 Msh3 polymorphic variants at normal levels showed no detectable change in expansions. These polymorphisms primarily affect Msh3 protein stability, not ac... PMID: 28973443
- MSH3 is probably a modifier of disease progression in Huntington's disease. PMID: 28642124
- data suggest that MSH3 mutations represent an additional recessive subtype of colorectal adenomatous polyposis PMID: 27476653
- Three polymorphisms in MSH3 were associated with variation in somatic instability in myotonic dystrophy type 1. PMID: 26994442
- Our meta-analysis results demonstrated that MSH3 rs26279 G > A polymorphism is associated with an increased risk of overall cancer, especially for the colorectal cancer and breast cancer. PMID: 26617824
- Data show that single nucleotide polymorphisms in MutS homolog 3 (MSH3) had an impact on the chemotherapy response and prognosis of advanced non-small cell lung cancer (NCSLC) patients who were treated with platinum-based chemotherapy. PMID: 25966119
- IL6 signaling disrupts the nuclear localization of hMSH3 and DNA repair, leading to elevated microsatellite alterations at selected tetranucleotide repeats in cancer cell lines. PMID: 25461668
- Methylation of MSH3 together with exposure to tobacco smoke is involved in esophageal carcinogenesis. PMID: 24934723
- MSH3 status can regulate the DNA damage response and extent of apoptosis induced by chemotherapy. PMID: 23724141
- Single nucleotide polymorphisms in MSH3 are associated with myelodysplastic syndromes. PMID: 23339595
- Oxidative stress, which causes a shift of hMSH3's subcellular location, may contribute to an hMSH3 loss-of-function phenotype by sequestering it to the cytosol PMID: 23226332
- The binding of HIF-1alpha complexes to hypoxia response element sites is necessary for down-regulation of hMSH3 in both wt-p53 and mut-p53 cells. PMID: 22343000
- The high frequency of loss of heterozygosity as well as the aberrant protein expression in some tumors indicates an involvement of MSH3 impairment in colorectal cancer with low-level microsatellite instability. PMID: 22249440
- polymorphisms in MSH3 do not contribute to cancer risk in a population of Lynch syndrome patients with colorectal cancer PMID: 21974800
- two novel HLA-A0201-restricted cytotoxic T cell epitopes derived from a (-1) frameshift mutation of a coding A(8) tract within the MSH3 gene PMID: 22110587
- We hypothesise a model in which variants of the MSH3 gene behave as low-risk alleles that contribute to the risk of colon cancer in Lynch families, mostly with other low-risk alleles of MMR genes. PMID: 21128252
- Stress treatment of mouse cells with ethanol or hydrogen peroxide caused the re-distribution of MSH3 into nuclear bodies containing the proliferating cell nuclear antigen (PCNA), a known binding partner of MutSbeta. PMID: 21344488
- Results provide novel evidence that MSH3 deficiency contributes to the cytotoxicity of platinum drugs through deficient DSB repair. PMID: 21285347
- Nondysplastic epithelium from hamartomatous polyposis syndrome polyps harbors hMSH3 defects, which may prime neoplastic transformation. PMID: 20845481
- No association of tumor necrosis with expression of p53, bcl-2, and mismatch repair protein status was observed in colorectal cancers. PMID: 20869096
- Loss of hMSH3 corresponds with multiple tetranucleotide frameshifts. The association between EMAST and ulcerated tumors might result from increased inflammation. PMID: 20708618
- Endoscopic biopsy provides equal accuracy and easier interpretation of MMRP expression immunostaining compared to surgical resection specimens. PMID: 20632816
- This is the first report suggesting that genetic and epigenetic alterations in the human MSH3 gene might play a significant role in the progression of bladder tumors. PMID: 15541380
- Plays a key role in the formation of CTG repeat expansions over successive generations in DM1 transgenic mice. PMID: 16552576
- Polymorphisms in the mismatch repair gene, MSH3 is associated with colorectal cancer PMID: 17205513
- Alterations in TGF-betaRII, BAX, IGFIIR, caspase-5, hMSH3 and hMSH6 genes of microsatellite instability are rare in urinary bladder carcinoma and they are not associated with microsatellite instability or the presence of p53 mutations. PMID: 17676485
- Mutations at the mononucleotide repeats within the hMSH3 gene occurred in certain basal cell carcinomas, not always in association with microsatellite instability . PMID: 17950544
- Mismatch repair gene MSH3 polymorphism is associated with the risk of sporadic prostate cancer PMID: 18355840
- Genetic instability caused by loss of MutS homologue 3 in human colorectal cancer. PMID: 18922920
顯示更多
收起更多
-
相關疾病:Endometrial cancer (ENDMC); Familial adenomatous polyposis 4 (FAP4)
-
蛋白家族:DNA mismatch repair MutS family, MSH3 subfamily
-
數據庫鏈接:
Most popular with customers
-
-
YWHAB Recombinant Monoclonal Antibody
Applications: ELISA, WB, IHC, IF, FC
Species Reactivity: Human, Mouse, Rat
-
Phospho-YAP1 (S127) Recombinant Monoclonal Antibody
Applications: ELISA, WB, IHC
Species Reactivity: Human
-
-
-
-
-















