MS4A2 Antibody
-
中文名稱:MS4A2兔多克隆抗體
-
貨號:CSB-PA015013LA01HU
-
規格:¥440
-
圖片:
-
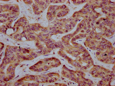
IHC image of CSB-PA015013LA01HU diluted at 1:400 and staining in paraffin-embedded human liver cancer performed on a Leica BondTM system. After dewaxing and hydration, antigen retrieval was mediated by high pressure in a citrate buffer (pH 6.0). Section was blocked with 10% normal goat serum 30min at RT. Then primary antibody (1% BSA) was incubated at 4°C overnight. The primary is detected by a biotinylated secondary antibody and visualized using an HRP conjugated SP system.
-
IHC image of CSB-PA015013LA01HU diluted at 1:400 and staining in paraffin-embedded human tonsil tissue performed on a Leica BondTM system. After dewaxing and hydration, antigen retrieval was mediated by high pressure in a citrate buffer (pH 6.0). Section was blocked with 10% normal goat serum 30min at RT. Then primary antibody (1% BSA) was incubated at 4°C overnight. The primary is detected by a biotinylated secondary antibody and visualized using an HRP conjugated SP system.
-
Immunofluorescence staining of A549 cells with CSB-PA015013LA01HU at 1:133, counter-stained with DAPI. The cells were fixed in 4% formaldehyde, permeabilized using 0.2% Triton X-100 and blocked in 10% normal Goat Serum. The cells were then incubated with the antibody overnight at 4°C. The secondary antibody was Alexa Fluor 488-congugated AffiniPure Goat Anti-Rabbit IgG(H+L).
-
-
其他:
產品詳情
-
產品名稱:Rabbit anti-Homo sapiens (Human) MS4A2 Polyclonal antibody
-
Uniprot No.:
-
基因名:
-
別名:APY antibody; ATOPY antibody; Fc epsilon receptor I beta-chain antibody; Fc IgE receptor beta chain antibody; FCER1B antibody; FCERB_HUMAN antibody; FcERI antibody; High affinity immunoglobulin epsilon receptor subunit beta antibody; IgE Fc receptor subunit beta antibody; IGEL antibody; IGHER antibody; Membrane-spanning 4-domains subfamily A member 2 antibody; MS4A1 antibody; Ms4a2 antibody
-
宿主:Rabbit
-
反應種屬:Human
-
免疫原:Recombinant Human High affinity immunoglobulin epsilon receptor subunit beta protein (1-59AA)
-
免疫原種屬:Homo sapiens (Human)
-
標記方式:Non-conjugated
本頁面中的產品,MS4A2 Antibody (CSB-PA015013LA01HU),的標記方式是Non-conjugated。對于MS4A2 Antibody,我們還提供其他標記。見下表:
-
克隆類型:Polyclonal
-
抗體亞型:IgG
-
純化方式:>95%, Protein G purified
-
濃度:It differs from different batches. Please contact us to confirm it.
-
保存緩沖液:Preservative: 0.03% Proclin 300
Constituents: 50% Glycerol, 0.01M PBS, pH 7.4 -
產品提供形式:Liquid
-
應用范圍:ELISA, IHC, IF
-
推薦稀釋比:
Application Recommended Dilution IHC 1:200-1:500 IF 1:50-1:200 -
Protocols:
-
儲存條件:Upon receipt, store at -20°C or -80°C. Avoid repeated freeze.
-
貨期:Basically, we can dispatch the products out in 1-3 working days after receiving your orders. Delivery time maybe differs from different purchasing way or location, please kindly consult your local distributors for specific delivery time.
-
用途:For Research Use Only. Not for use in diagnostic or therapeutic procedures.
相關產品
靶點詳情
-
功能:High affinity receptor that binds to the Fc region of immunoglobulins epsilon. Aggregation of FCER1 by multivalent antigens is required for the full mast cell response, including the release of preformed mediators (such as histamine) by degranulation and de novo production of lipid mediators and cytokines. Also mediates the secretion of important lymphokines. Binding of allergen to receptor-bound IgE leads to cell activation and the release of mediators responsible for the manifestations of allergy.
-
基因功能參考文獻:
- Using immunohistochemistry, we validated that MS4A2, the beta subunit of the IgE receptor expressed on mast cells, is a favorable prognostic indicator and show that MS4A2 gene expression is an independent prognostic marker for early-stage lung cancer patient survival. PMID: 28775209
- in patients with allergic rhinitis without asthma, the FCER1B rs569108 and rs512555 polymorphisms are associated with increased risk of developing allergic rhinitis and with lower IgE levels. PMID: 26792385
- study found a difference in the frequencies of genotypes of FcvarepsilonRIbeta subunit int 2 in allergic rhinitis patients and controls. The FcvarepsilonRIbeta subunit int 2 gene polymorphism was found to be associated with allergic rhinitis in the Polish cohort PMID: 24981302
- MS4A2 was differentially expressed between Fibromyalgia patients and healthy controls. PMID: 27157394
- no association between gene polymorphism and chronic spontaneous urticaria in Kashmiri population PMID: 24953255
- FcepsilonRIbeta -109C/T and IFN-gamma 874T/A polymorphisms may be influencing factors for asthma in the Asian population PMID: 25530133
- The results explain how initial membrane interactions of clustered IgE-Fcepsilon RI complexes lead to downstream cellular responses. PMID: 25658351
- Data indicated that the MS4A2 gene E237G variant may be a risk factor for developing atopic asthma and the promoter -109T allele is a potential risk factor of asthma in Asians. PMID: 24495860
- Cytoplasmic FcepsilonRIbeta, which is not co-localized with FcepsilonRIalpha, may function as a negative regulator, as it can capture important signalling molecules such as Lyn. PMID: 24118172
- t-FcepsilonRIbeta mediates Ca2+ -dependent microtubule formation, which promotes degranulation and cytokine release. PMID: 23643722
- The interaction between Lyn and FcepsilonRIbeta is indispensable for FcepsilonRI-mediated human mast cell activation. PMID: 22845063
- Demethylation of specific regulatory elements within the FCER1G locus contributes to FcepsilonRI overexpression on monocytes from patients with atopic dermatitis. PMID: 22150093
- Polymorphisms in the Fc epsilon R1beta gene confer susceptibility to atopy in Korean children and may have a disease-modifying effect on airways in asthmatic patients. PMID: 19288130
- No associations with total and specific IgE levels as well as allergic sensitization were seen for FCER1B and FCER1G PMID: 20028371
- Methylation levels at the AluSp repeat analysed in MS4A2 were inconsistent with classical imprinting mechanisms and did not associate with atopy status PMID: 19796196
- Significant associations of single nucleotide polymorphisms with wheeze in the past year were detected in only four genes (IL4R, TLR4, MS4A2, TLR9). Variants in IL4R and TLR4 were also related to allergen-specific IgE, but not for MS4A2 and TLR9. PMID: 20085599
- Gene expression profiling after stimulation via high-affinity Fcepsilon receptor I (FcepsilonRI), showed the transcriptional levels of several CC chemokines were markedly increased. PMID: 12393595
- Products of the beta gene may control the level of surface expression, influencing susceptibility to allergies. PMID: 12753743
- The data suggested that the Gly237Gly genotype of the Fc epsilon RI beta gene conferred genetic susceptibility to allergic asthma in Chinese, which affected the total plasma IgE levels in the allergic asthma patients. PMID: 12903039
- A statistically significant association was foundbetween atopy and FcERIint2 variant polymorphism FcERIint2 polymorphism is related to atopy and may influence its development. PMID: 15087090
- The genomic region encompassing the beta-chain has been linked to atopy and a number of polymorphisms within the FcepsilonRIbeta gene are associated with various atopic diseases. PMID: 15316148
- FcepsilonRI beta-chain gene expression is down-regulated by a transcription factor, MZF-1, adn its cofactor FHL-3. PMID: 15453830
- Single nucleotide polymorphisms (SNPs) in the Fc epsilon receptor I beta promoter are causally linked with atopy via regulation of Fc epsilon RI expression. PMID: 15528387
- The speed of allergic symptom generation depends on the degree of IgE Fc epsilon receptor type I receptor triggering. PMID: 17088130
- in the Korean general population, airway hyper-responsiveness is significantly associated with the E237G polymorphism of FcepsilonRI-beta, which results in an intolerant amino acid substitution PMID: 17430357
- FcepsilonRIbeta E237G allele may have a protective role in wheezing illness among Taiwanese schoolchildren, depending on airway oxidative stress levels. PMID: 18269668
- The -237T>G polymorphism may be associated with the rate of atopy, which in turn could increase the release of histamine from basophils and may lead to the development of the aspirin-intolerant chronic urticaria PMID: 18534082
- PLSCR1 is a novel amplifier of FcepsilonRI signaling that acts selectively on the Lyn-initiated LAT/phospholipase Cgamma1/calcium axis, resulting in potentiation of a selected set of mast cell responses PMID: 18579528
- Fcgr4 is a mouse IgE receptor that resembles macrophage MS4A2 protein in humans and promotes IgE-induced lung inflammation. PMID: 18949059
- A promoter-dependent mechanism with altered transcriptional regulation of FcepsilonRIbeta may be involved for its association with asthma. PMID: 19218813
顯示更多
收起更多
-
亞細胞定位:Membrane; Multi-pass membrane protein.
-
蛋白家族:MS4A family
-
組織特異性:Found on the surface of mast cells and basophils.
-
數據庫鏈接:
Most popular with customers
-
-
YWHAB Recombinant Monoclonal Antibody
Applications: ELISA, WB, IHC, IF, FC
Species Reactivity: Human, Mouse, Rat
-
Phospho-YAP1 (S127) Recombinant Monoclonal Antibody
Applications: ELISA, WB, IHC
Species Reactivity: Human
-
-
-
-
-















