MRPL12 Antibody
-
中文名稱:MRPL12兔多克隆抗體
-
貨號:CSB-PA298637
-
規格:¥1100
-
圖片:
-
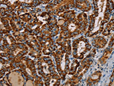
The image on the left is immunohistochemistry of paraffin-embedded Human thyroid cancer tissue using CSB-PA298637(MRPL12 Antibody) at dilution 1/25, on the right is treated with fusion protein. (Original magnification: ×200)
-
The image on the left is immunohistochemistry of paraffin-embedded Human cervical cancer tissue using CSB-PA298637(MRPL12 Antibody) at dilution 1/25, on the right is treated with fusion protein. (Original magnification: ×200)
-
Gel: 10%SDS-PAGE, Lysate: 40 μg, Lane: 293T cells, Primary antibody: CSB-PA298637(MRPL12 Antibody) at dilution 1/300, Secondary antibody: Goat anti rabbit IgG at 1/8000 dilution, Exposure time: 5 seconds
-
-
其他:
產品詳情
-
Uniprot No.:
-
基因名:MRPL12
-
別名:39S ribosomal protein L12 antibody; 39S ribosomal protein L12, mitochondrial antibody; 5c5-2 antibody; FLJ60124 antibody; L12mt antibody; MGC8610 antibody; mitochondrial antibody; Mitochondrial ribosomal protein L12 antibody; MRP-L12 antibody; MRP-L31/34 antibody; MRPL12 antibody; MRPL7 antibody; MRPL7/L12 antibody; RM12_HUMAN antibody; RPML12 antibody
-
宿主:Rabbit
-
反應種屬:Human,Mouse
-
免疫原:Fusion protein of Human MRPL12
-
免疫原種屬:Homo sapiens (Human)
-
標記方式:Non-conjugated
-
抗體亞型:IgG
-
純化方式:Antigen affinity purification
-
濃度:It differs from different batches. Please contact us to confirm it.
-
保存緩沖液:-20°C, pH7.4 PBS, 0.05% NaN3, 40% Glycerol
-
產品提供形式:Liquid
-
應用范圍:ELISA,WB,IHC
-
推薦稀釋比:
Application Recommended Dilution ELISA 1:2000-1:5000 WB 1:500-1:2000 IHC 1:50-1:200 -
Protocols:
-
儲存條件:Upon receipt, store at -20°C or -80°C. Avoid repeated freeze.
-
貨期:Basically, we can dispatch the products out in 1-3 working days after receiving your orders. Delivery time maybe differs from different purchasing way or location, please kindly consult your local distributors for specific delivery time.
-
用途:For Research Use Only. Not for use in diagnostic or therapeutic procedures.
相關產品
靶點詳情
-
功能:As a component of the mitochondrial large ribosomal subunit, it plays a role in mitochondrial translation. Associates with mitochondrial RNA polymerase to activate transcription.
-
基因功能參考文獻:
- knock-down of MRPL12 by RNA interference results in instability of POLRMT. PMID: 26586915
- This mutation resulted in a decreased steady-state level of MRPL12 protein. PMID: 23603806
- the MRPL12 interaction with POLRMT is likely part of a novel regulatory mechanism that coordinates mitochondrial transcription with translation PMID: 17337445
-
亞細胞定位:Mitochondrion.
-
蛋白家族:Bacterial ribosomal protein bL12 family
-
數據庫鏈接:
Most popular with customers
-
-
YWHAB Recombinant Monoclonal Antibody
Applications: ELISA, WB, IHC, IF, FC
Species Reactivity: Human, Mouse, Rat
-
-
-
-
-
-















