MRGPRX1 Antibody
-
中文名稱:MRGPRX1兔多克隆抗體
-
貨號:CSB-PA290385
-
規格:¥1100
-
圖片:
-
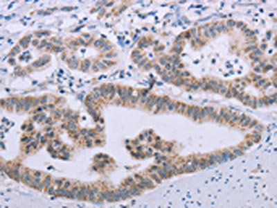
The image on the left is immunohistochemistry of paraffin-embedded Human gastic cancer tissue using CSB-PA290385(MRGPRX1 Antibody) at dilution 1/20, on the right is treated with synthetic peptide. (Original magnification: ×200)
-
The image on the left is immunohistochemistry of paraffin-embedded Human colon cancer tissue using CSB-PA290385(MRGPRX1 Antibody) at dilution 1/20, on the right is treated with synthetic peptide. (Original magnification: ×200)
-
-
其他:
產品詳情
-
Uniprot No.:
-
基因名:
-
別名:MRGPRX1; MRGX1; SNSR3; SNSR4; Mas-related G-protein coupled receptor member X1; Sensory neuron-specific G-protein coupled receptor 3/4
-
宿主:Rabbit
-
反應種屬:Human
-
免疫原:Synthetic peptide of Human MRGPRX1
-
免疫原種屬:Homo sapiens (Human)
-
標記方式:Non-conjugated
-
抗體亞型:IgG
-
純化方式:Antigen affinity purification
-
濃度:It differs from different batches. Please contact us to confirm it.
-
保存緩沖液:-20°C, pH7.4 PBS, 0.05% NaN3, 40% Glycerol
-
產品提供形式:Liquid
-
應用范圍:ELISA,IHC
-
推薦稀釋比:
Application Recommended Dilution ELISA 1:1000-1:2000 IHC 1:25-1:100 -
Protocols:
-
儲存條件:Upon receipt, store at -20°C or -80°C. Avoid repeated freeze.
-
貨期:Basically, we can dispatch the products out in 1-3 working days after receiving your orders. Delivery time maybe differs from different purchasing way or location, please kindly consult your local distributors for specific delivery time.
-
用途:For Research Use Only. Not for use in diagnostic or therapeutic procedures.
相關產品
靶點詳情
-
功能:Orphan receptor. Probably involved in the function of nociceptive neurons. May regulate nociceptor function and/or development, including the sensation or modulation of pain. Potently activated by enkephalins including BAM22 (bovine adrenal medulla peptide 22) and BAM (8-22)(PubMed:26582731). BAM22 is the most potent compound and evoked a large and dose-dependent release of intracellular calcium in stably transfected cells. G(alpha)q proteins are involved in the calcium-signaling pathway. Activated by the antimalarial drug, chloroquine. May mediate chloroquine-induced itch, in a histamine-independent manner.
-
基因功能參考文獻:
- MRGPRX1 is a promising target for pain inhibition, a humanized mouse model expressing this receptor has been described. PMID: 28223516
- Der p1 also induced the release of IL-6 from heterologous cells expressing MRGPRX1. In summary, activation of Mrgprs by the allergen Der p1 may contribute to inflammation. PMID: 28768771
- analysis of the functional interactions between MRGPR-X1 and TRPV1 PMID: 23074220
-
亞細胞定位:Cell membrane; Multi-pass membrane protein.
-
蛋白家族:G-protein coupled receptor 1 family, Mas subfamily
-
組織特異性:Uniquely localized in a subset of small dorsal root and trigeminal sensory neurons.
-
數據庫鏈接:
Most popular with customers
-
-
YWHAB Recombinant Monoclonal Antibody
Applications: ELISA, WB, IHC, IF, FC
Species Reactivity: Human, Mouse, Rat
-
Phospho-YAP1 (S127) Recombinant Monoclonal Antibody
Applications: ELISA, WB, IHC
Species Reactivity: Human
-
-
-
-
-















