MPP6 Antibody
-
中文名稱:MPP6兔多克隆抗體
-
貨號:CSB-PA889164ESR2HU
-
規格:¥440
-
圖片:
-
Western blot
All lanes: MPP6 antibody at 3.58μg/ml
Lane 1: Mouse brain tissue
Lane 2: Mouse kidney tissue
Lane 3: HepG2 whole cell lysate
Lane 4: Hela whole cell lysate
Lane 5: A549 whole cell lysate
Secondary
Goat polyclonal to rabbit IgG at 1/10000 dilution
Predicted band size: 61 kDa
Observed band size: 61 kDa -
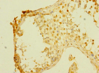
Immunohistochemistry of paraffin-embedded human testis tissue using CSB-PA889164ESR2HU at dilution of 1:100
-
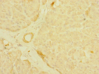
Immunohistochemistry of paraffin-embedded human pancreatic tissue using CSB-PA889164ESR2HU at dilution of 1:100
-
-
其他:
產品詳情
-
產品名稱:Rabbit anti-Homo sapiens (Human) MPP6 Polyclonal antibody
-
Uniprot No.:
-
基因名:MPP6
-
別名:MAGUK p55 subfamily member 6 antibody; MAGUK p55 subfamily member 6 VELI associated MAGUK 1 antibody; MAGUK protein p55T antibody; Membrane protein palmitoylated 6 antibody; Mpp6 antibody; MPP6_HUMAN antibody; p55T antibody; Palmitoylated 6 MAGUK p55 subfamily member 6 antibody; PALS2 antibody; Protein associated with Lin7 2 antibody; VAM-1 antibody; VELI associated MAGUK 1 antibody; Veli-associated MAGUK 1 antibody
-
宿主:Rabbit
-
反應種屬:Human, Mouse
-
免疫原:Recombinant Human MAGUK p55 subfamily member 6 protein (220-420AA)
-
免疫原種屬:Homo sapiens (Human)
-
標記方式:Non-conjugated
-
克隆類型:Polyclonal
-
抗體亞型:IgG
-
純化方式:Antigen Affinity Purified
-
濃度:It differs from different batches. Please contact us to confirm it.
-
保存緩沖液:PBS with 0.02% sodium azide, 50% glycerol, pH7.3.
-
產品提供形式:Liquid
-
應用范圍:ELISA, WB, IHC
-
推薦稀釋比:
Application Recommended Dilution WB 1:1000-1:5000 IHC 1:20-1:200 -
Protocols:
-
儲存條件:Upon receipt, store at -20°C or -80°C. Avoid repeated freeze.
-
貨期:Basically, we can dispatch the products out in 1-3 working days after receiving your orders. Delivery time maybe differs from different purchasing way or location, please kindly consult your local distributors for specific delivery time.
-
用途:For Research Use Only. Not for use in diagnostic or therapeutic procedures.
相關產品
靶點詳情
-
亞細胞定位:Membrane; Peripheral membrane protein.
-
蛋白家族:MAGUK family
-
組織特異性:Abundant in testis, brain, and kidney with lower levels detectable in other tissues.
-
數據庫鏈接:
Most popular with customers
-
-
YWHAB Recombinant Monoclonal Antibody
Applications: ELISA, WB, IHC, IF, FC
Species Reactivity: Human, Mouse, Rat
-
Phospho-YAP1 (S127) Recombinant Monoclonal Antibody
Applications: ELISA, WB, IHC
Species Reactivity: Human
-
-
-
-
-















