MOV10L1 Antibody
-
中文名稱:MOV10L1兔多克隆抗體
-
貨號:CSB-PA871604LA01HU
-
規格:¥440
-
圖片:
-
Western Blot
Positive WB detected in: Hela whole cell lysate, PC-3 whole cell lysate
All lanes: MOV10L1 antibody at 6.5µg/ml
Secondary
Goat polyclonal to rabbit IgG at 1/50000 dilution
Predicted band size: 136, 38, 14, 130, 131 kDa
Observed band size: 136 kDa -
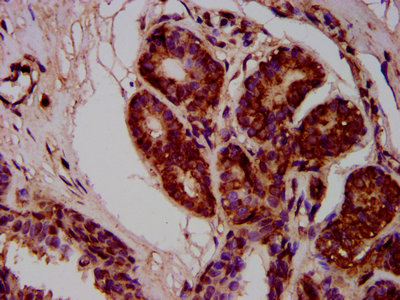
IHC image of CSB-PA871604LA01HU diluted at 1:400 and staining in paraffin-embedded human breast cancer performed on a Leica BondTM system. After dewaxing and hydration, antigen retrieval was mediated by high pressure in a citrate buffer (pH 6.0). Section was blocked with 10% normal goat serum 30min at RT. Then primary antibody (1% BSA) was incubated at 4°C overnight. The primary is detected by a biotinylated secondary antibody and visualized using an HRP conjugated SP system.
-
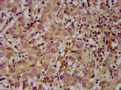
IHC image of CSB-PA871604LA01HU diluted at 1:400 and staining in paraffin-embedded human liver cancer performed on a Leica BondTM system. After dewaxing and hydration, antigen retrieval was mediated by high pressure in a citrate buffer (pH 6.0). Section was blocked with 10% normal goat serum 30min at RT. Then primary antibody (1% BSA) was incubated at 4°C overnight. The primary is detected by a biotinylated secondary antibody and visualized using an HRP conjugated SP system.
-
Immunofluorescence staining of HepG2 cells with CSB-PA871604LA01HU at 1:133, counter-stained with DAPI. The cells were fixed in 4% formaldehyde, permeabilized using 0.2% Triton X-100 and blocked in 10% normal Goat Serum. The cells were then incubated with the antibody overnight at 4°C. The secondary antibody was Alexa Fluor 488-congugated AffiniPure Goat Anti-Rabbit IgG(H+L).
-
-
其他:
產品詳情
-
產品名稱:Rabbit anti-Homo sapiens (Human) MOV10L1 Polyclonal antibody
-
Uniprot No.:
-
基因名:MOV10L1
-
別名:Cardiac helicase activated by MEF2 protein antibody; Cardiac specific RNA helicase antibody; CHAMP antibody; Csm antibody; M10L1_HUMAN antibody; Moloney leukemia virus 10 like protein 1 antibody; Moloney leukemia virus 10-like protein 1 antibody; MOV10 like 1 antibody; MOV10 like protein 1 antibody; MOV10-like protein 1 antibody; MOV10L1 antibody; Mov10l1; Moloney leukemia virus 10 like 1; homolog (mouse) antibody; Putative helicase Mov10l1 antibody
-
宿主:Rabbit
-
反應種屬:Human
-
免疫原:Recombinant Human RNA helicase Mov10l1 protein (336-425AA)
-
免疫原種屬:Homo sapiens (Human)
-
標記方式:Non-conjugated
本頁面中的產品,MOV10L1 Antibody (CSB-PA871604LA01HU),的標記方式是Non-conjugated。對于MOV10L1 Antibody,我們還提供其他標記。見下表:
-
克隆類型:Polyclonal
-
抗體亞型:IgG
-
純化方式:>95%, Protein G purified
-
濃度:It differs from different batches. Please contact us to confirm it.
-
保存緩沖液:Preservative: 0.03% Proclin 300
Constituents: 50% Glycerol, 0.01M PBS, pH 7.4 -
產品提供形式:Liquid
-
應用范圍:ELISA, WB, IHC, IF
-
推薦稀釋比:
Application Recommended Dilution WB 1:500-1:5000 IHC 1:200-1:500 IF 1:50-1:200 -
Protocols:
-
儲存條件:Upon receipt, store at -20°C or -80°C. Avoid repeated freeze.
-
貨期:Basically, we can dispatch the products out in 1-3 working days after receiving your orders. Delivery time maybe differs from different purchasing way or location, please kindly consult your local distributors for specific delivery time.
-
用途:For Research Use Only. Not for use in diagnostic or therapeutic procedures.
相關產品
靶點詳情
-
功能:ATP-dependent RNA helicase required during spermatogenesis to repress transposable elements and prevent their mobilization, which is essential for germline integrity. Acts via the piRNA metabolic process, which mediates the repression of transposable elements during meiosis by forming complexes composed of piRNAs and Piwi proteins and governs the methylation and subsequent repression of transposons. Involved in the primary piRNA metabolic process. Specifically binds to piRNA precursors and promotes the generation of intermediate piRNA processing fragments that are subsequently loaded to Piwi proteins. Acts via its ATP-dependent RNA helicase activity: displays 5'-3' RNA unwinding activity and probably mediates unwinding and funneling of single-stranded piRNA precursor transcripts to the endonuclease that catalyzes the first cleavage step of piRNA processing to generate piRNA intermediate fragments that are subsequently loaded to Piwi proteins.
-
基因功能參考文獻:
- Our results suggest that MOV10L1 gene polymorphisms in the studied infertile males with complete maturation arrest are linked to infertility. PMID: 24817005
-
亞細胞定位:Cytoplasm.
-
蛋白家族:DNA2/NAM7 helicase family, SDE3 subfamily
-
組織特異性:[Isoform 1]: Specifically expressed in testis.
-
數據庫鏈接:
Most popular with customers
-
YWHAB Recombinant Monoclonal Antibody
Applications: ELISA, WB, IHC, IF, FC
Species Reactivity: Human, Mouse, Rat
-
Phospho-YAP1 (S127) Recombinant Monoclonal Antibody
Applications: ELISA, WB, IHC
Species Reactivity: Human
-
-
-
-
-
-















