MORC2 Antibody
-
中文名稱:MORC2兔多克隆抗體
-
貨號:CSB-PA896555LA01HU
-
規格:¥440
-
圖片:
-
Western blot
All lanes: MORC2 antibody at 6μg/ml
Lane 1: U87 whole cell lysate
Lane 2: U251 whole cell lysate
Lane 3: Jurkat whole cell lysate
Lane 4: Hela whole cell lysate
Lane 5: MCF-7 whole cell lysate
Secondary
Goat polyclonal to rabbit IgG at 1/10000 dilution
Predicted band size: 118, 111 kDa
Observed band size: 118 kDa -
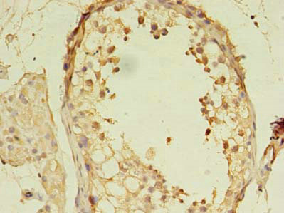
Immunohistochemistry of paraffin-embedded human testis tissue using CSB-PA896555LA01HU at dilution of 1:100
-
-
其他:
產品詳情
-
產品名稱:Rabbit anti-Homo sapiens (Human) MORC2 Polyclonal antibody
-
Uniprot No.:
-
基因名:MORC2
-
別名:AC004542.C22.1. antibody; CW type with coiled coil domain 1 antibody; KIAA0852 antibody; MORC family CW type zinc finger 2 antibody; MORC family CW-type zinc finger protein 2 antibody; MORC2 antibody; MORC2_HUMAN antibody; ZCW3 antibody; ZCWCC1 antibody; Zinc finger antibody; Zinc finger CW type coiled coil domain protein 1 antibody; Zinc finger CW type with coiled coil domain 1 antibody; Zinc finger CW-type coiled-coil domain protein 1 antibody; Zing finger CW type 3 antibody
-
宿主:Rabbit
-
反應種屬:Human
-
免疫原:Recombinant Human MORC family CW-type zinc finger protein 2 protein (2-300AA)
-
免疫原種屬:Homo sapiens (Human)
-
標記方式:Non-conjugated
本頁面中的產品,MORC2 Antibody (CSB-PA896555LA01HU),的標記方式是Non-conjugated。對于MORC2 Antibody,我們還提供其他標記。見下表:
-
克隆類型:Polyclonal
-
抗體亞型:IgG
-
純化方式:>95%, Protein G purified
-
濃度:It differs from different batches. Please contact us to confirm it.
-
保存緩沖液:Preservative: 0.03% Proclin 300
Constituents: 50% Glycerol, 0.01M PBS, PH 7.4 -
產品提供形式:Liquid
-
應用范圍:ELISA, WB, IHC
-
推薦稀釋比:
Application Recommended Dilution WB 1:500-1:2000 IHC 1:20-1:200 -
Protocols:
-
儲存條件:Upon receipt, store at -20°C or -80°C. Avoid repeated freeze.
-
貨期:Basically, we can dispatch the products out in 1-3 working days after receiving your orders. Delivery time maybe differs from different purchasing way or location, please kindly consult your local distributors for specific delivery time.
-
用途:For Research Use Only. Not for use in diagnostic or therapeutic procedures.
相關產品
靶點詳情
-
功能:Essential for epigenetic silencing by the HUSH (human silencing hub) complex. Recruited by HUSH to target site in heterochromatin, the ATPase activity and homodimerization are critical for HUSH-mediated silencing. Represses germ cell-related genes and L1 retrotransposons in collaboration with SETDB1 and the HUSH complex, the silencing is dependent of repressive epigenetic modifications, such as H3K9me3 mark. Silencing events often occur within introns of transcriptionally active genes, and lead to the down-regulation of host gene expression. During DNA damage response, regulates chromatin remodeling through ATP hydrolysis. Upon DNA damage, is phosphorylated by PAK1, both colocalize to chromatin and induce H2AX expression. ATPase activity is required and dependent of phosphorylation by PAK1 and presence of DNA. Recruits histone deacetylases, such as HDAC4, to promoter regions, causing local histone H3 deacetylation and transcriptional repression of genes such as CA9. Exhibits a cytosolic function in lipogenesis, adipogenic differentiation, and lipid homeostasis by increasing the activity of ACLY, possibly preventing its dephosphorylation.
-
基因功能參考文獻:
- For the first time, to the best of our knowledge, the present study confirmed that MORC2 was a novel oncogene in liver cancer. These results provide useful insight into the mechanism underlying the tumorigenesis and progression of liver cancer, and offers clues into potential novel liver cancer therapies. PMID: 29620211
- defects lead to the modulation of HUSH function, thus providing a molecular basis for understanding MORC2-associated neuropathies PMID: 29440755
- results thus contribute to the knowledge of the regulatory mechanism of HSF1 in down-regulating ArgBP2, providing new insight into the HSF1&MORC2-PRC2-ArgBP2 signaling pathway and a better understanding of their functions in gastric cancer cells. PMID: 29339121
- Differential viral accessibility shows that loss of MORC2 results in chromatin decompaction at HUSH complex target loci, concomitant with a loss of H3K9me3 deposition and transcriptional derepression. The ATPase activity of MORC2 is critical for HUSH-mediated silencing. The most common alteration affecting the ATPase domain in CMT patients (p.Arg252Trp) hyperactivates HUSH-mediated repression in neuronal cells. PMID: 28581500
- have identified a new locus in which MORC2 mutations are the likely pathogenic cause of CMT2 and pyramidal signs in these families. PMID: 26659848
- identified two different mutations in the MORC2 gene in patients from three unrelated families presenting with an axonal motor and sensory neuropathy. PMID: 26497905
- MORC2 down-regulates the ArgBP2 via histone methylation in gastric cancer cells. PMID: 26476214
- MORC2 down-regulated p21 by recruiting HDAC1 to the p21 promoter, in a p53-independent manner. MORC2 expression correlated negatively with p21 expression in gastric tumors in patients. PMID: 26098774
- PAK1-mediated MORC2 phosphorylation promotes gastric tumorigenesis PMID: 25888627
- these results demonstrate a cytosolic function of MORC2 in lipogenesis, adipogenic differentiation, and lipid homeostasis by regulating the activity of ACLY. PMID: 24286864
- the PAK1-MORC2 axis is critical for orchestrating the interplay between chromatin dynamics and the maintenance of genomic integrity through sequentially integrating multiple essential enzymatic processes. PMID: 23260667
- Analysis of MORC2 functional domains, subcellular localization and mRNA and protein expression demonstrates its role of nuclear localization in association with a proline-rich domain regulating gene transcriptional repression in cancer cells. PMID: 20225202
顯示更多
收起更多
-
相關疾病:Charcot-Marie-Tooth disease 2Z (CMT2Z)
-
亞細胞定位:Nucleus. Cytoplasm, cytosol. Chromosome. Nucleus matrix.
-
組織特異性:Highly expressed in smooth muscle, pancreas and testis.
-
數據庫鏈接:
Most popular with customers
-
-
YWHAB Recombinant Monoclonal Antibody
Applications: ELISA, WB, IHC, IF, FC
Species Reactivity: Human, Mouse, Rat
-
Phospho-YAP1 (S127) Recombinant Monoclonal Antibody
Applications: ELISA, WB, IHC
Species Reactivity: Human
-
-
-
-
-















