-
中文名稱:MON1A兔多克隆抗體
-
貨號:CSB-PA801242LA01HU
-
規格:¥440
-
圖片:
-
Western blot
All lanes: MON1A antibody at 2µg/ml + U251 whole cell lysate
Secondary
Goat polyclonal to rabbit IgG at 1/10000 dilution
Predicted band size: 73, 45, 34, 56, 63 kDa
Observed band size: 73 kDa -
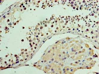
Immunohistochemistry of paraffin-embedded human testis tissue using CSB-PA801242LA01HU at dilution of 1:100
-
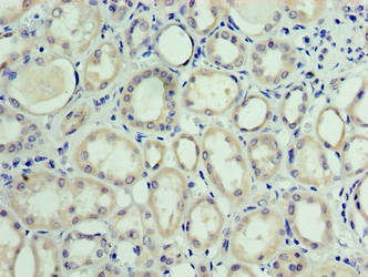
Immunohistochemistry of paraffin-embedded human kidney tissue using CSB-PA801242LA01HU at dilution of 1:100
-
-
其他:
產品詳情
-
產品名稱:Rabbit anti-Homo sapiens (Human) MON1A Polyclonal antibody
-
Uniprot No.:
-
基因名:MON1A
-
別名:FLJ97088 antibody; MGC13272 antibody; MON1 homolog A antibody; MON1A antibody; MON1A_HUMAN antibody; SAND1 antibody; Vacuolar fusion protein MON1 homolog A antibody
-
宿主:Rabbit
-
反應種屬:Human
-
免疫原:Recombinant Human Vacuolar fusion protein MON1 homolog A protein (205-555AA)
-
免疫原種屬:Homo sapiens (Human)
-
標記方式:Non-conjugated
本頁面中的產品,MON1A Antibody (CSB-PA801242LA01HU),的標記方式是Non-conjugated。對于MON1A Antibody,我們還提供其他標記。見下表:
-
克隆類型:Polyclonal
-
抗體亞型:IgG
-
純化方式:>95%, Protein G purified
-
濃度:It differs from different batches. Please contact us to confirm it.
-
保存緩沖液:Preservative: 0.03% Proclin 300
Constituents: 50% Glycerol, 0.01M PBS, PH 7.4 -
產品提供形式:Liquid
-
應用范圍:ELISA, WB, IHC
-
推薦稀釋比:
Application Recommended Dilution WB 1:500-1:5000 IHC 1:20-1:200 -
Protocols:
-
儲存條件:Upon receipt, store at -20°C or -80°C. Avoid repeated freeze.
-
貨期:Basically, we can dispatch the products out in 1-3 working days after receiving your orders. Delivery time maybe differs from different purchasing way or location, please kindly consult your local distributors for specific delivery time.
-
用途:For Research Use Only. Not for use in diagnostic or therapeutic procedures.
引用文獻
- Endosome maturation during ER stress relies on the ubiquitin-binding domain of histone deacetylase 6 KM Piscopo, B Larson, AM Christiansen,Molecular Biology of the Cell,2025
相關產品
靶點詳情
-
功能:Plays an important role in membrane trafficking through the secretory apparatus. Not involved in endocytic trafficking to lysosomes. Acts in concert with CCZ1, as a guanine exchange factor (GEF) for RAB7, promotes the exchange of GDP to GTP, converting it from an inactive GDP-bound form into an active GTP-bound form.
-
基因功能參考文獻:
- a role for Mon1a in anterograde trafficking through the secretory apparatus. PMID: 22665492
-
蛋白家族:MON1/SAND family
-
數據庫鏈接:
Most popular with customers
-
-
YWHAB Recombinant Monoclonal Antibody
Applications: ELISA, WB, IHC, IF, FC
Species Reactivity: Human, Mouse, Rat
-
Phospho-YAP1 (S127) Recombinant Monoclonal Antibody
Applications: ELISA, WB, IHC
Species Reactivity: Human
-
-
-
-
-















