MMP8 Antibody
-
中文名稱:MMP8兔多克隆抗體
-
貨號:CSB-PA220976
-
規格:¥1100
-
圖片:
-
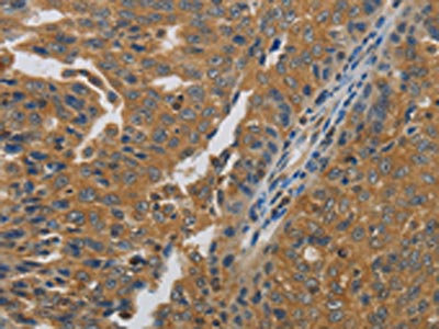
The image on the left is immunohistochemistry of paraffin-embedded Human ovarian cancer tissue using CSB-PA220976(MMP8 Antibody) at dilution 1/45, on the right is treated with synthetic peptide. (Original magnification: ×200)
-
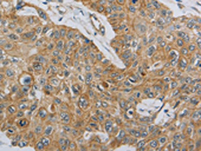
The image on the left is immunohistochemistry of paraffin-embedded Human esophagus cancer tissue using CSB-PA220976(MMP8 Antibody) at dilution 1/45, on the right is treated with synthetic peptide. (Original magnification: ×200)
-
Gel: 8%SDS-PAGE, Lysate: 40 μg, Lane 1-2: HT29 cells, 231 cells, Primary antibody: CSB-PA220976(MMP8 Antibody) at dilution 1/650, Secondary antibody: Goat anti rabbit IgG at 1/8000 dilution, Exposure time: 10 seconds
-
-
其他:
產品詳情
-
Uniprot No.:
-
基因名:
-
別名:CLG 1 antibody; CLG1 antibody; Collagenase 1 antibody; Collagenase 1 neutrophil antibody; HNC antibody; Matrix metallopeptidase 8 (neutrophil collagenase) antibody; Matrix metalloprotease 8 antibody; Matrix metalloproteinase-8 antibody; MMP 8 antibody; MMP-8 antibody; Mmp8 antibody; MMP8_HUMAN antibody; Neutrophil collagenase antibody; PMNL CL antibody; PMNL collagenase antibody; PMNL-CL antibody; PMNLCL antibody
-
宿主:Rabbit
-
反應種屬:Human
-
免疫原:Synthetic peptide of Human MMP8
-
免疫原種屬:Homo sapiens (Human)
-
標記方式:Non-conjugated
-
抗體亞型:IgG
-
純化方式:Antigen affinity purification
-
濃度:It differs from different batches. Please contact us to confirm it.
-
保存緩沖液:-20°C, pH7.4 PBS, 0.05% NaN3, 40% Glycerol
-
產品提供形式:Liquid
-
應用范圍:ELISA,WB,IHC
-
推薦稀釋比:
Application Recommended Dilution ELISA 1:2000-1:5000 WB 1:1000-1:5000 IHC 1:50-1:200 -
Protocols:
-
儲存條件:Upon receipt, store at -20°C or -80°C. Avoid repeated freeze.
-
貨期:Basically, we can dispatch the products out in 1-3 working days after receiving your orders. Delivery time maybe differs from different purchasing way or location, please kindly consult your local distributors for specific delivery time.
-
用途:For Research Use Only. Not for use in diagnostic or therapeutic procedures.
相關產品
靶點詳情
-
功能:Can degrade fibrillar type I, II, and III collagens.
-
基因功能參考文獻:
- The meta-analysis results showed a remarkable association between rs11225394 in MMP-8 gene and an increased risk of osteonecrosis of the femoral head and a significant association between MMP-8 rs2012390 and the decreased risk of osteonecrosis of the femoral head. PMID: 30313082
- Results suggest that MMP8 C-799T, Val436Ala and Lys460Thr may only play an indirect role in determining personal cancer susceptibility for bladder cancer in Taiwan. PMID: 30194163
- Low MMP8 level is associated with gastric cancer. PMID: 30192205
- Five single nucleotide polymorphisms including rs3740938, rs2012390, rs1940475, rs11225394, and rs11225395 of MMP-8 gene were genotyped in a Chinese Han population. It was found rs3740938 of MMP-8 was associated with an increased risk of ankylosing spondylitis under the dominant model and additive model after adjustment for gender and age by performing logistic regression analysis. PMID: 30170451
- Data show that polymorphism in the promoter region of matrix metallopeptidase 8 (MMP-8) (-799C/T) and two non-synonymous polymorphisms (Val436Ala and Lys460Thr) were not significantly associated with risk of pterygium.pterygium. PMID: 29275297
- Persistent oral human papillomavirus infection was associated with a low salivary MMP-8 concentration indicating eventually a failure in oral anti-inflammatory defence. PMID: 29078079
- Genetic polymorphism in S100A9-S100A12-S100A8 locus affects serum and plasma MMP-8 and shows a suggestive association with the risk of cardiovascular diseases. PMID: 29212897
- Our study demonstrated that the MMP-8 C-799T is associated with the risk of developing severe preeclampsia during pregnancy. However, the MMP-8 C + 17G polymorphism might not be a risk factor for susceptibility to preeclampsia. PMID: 28745526
- Our findings suggest that the polymorphisms at MMP-8 -799C/T, Val436Ala and Lys460Thr may not play a major role in determining the personal susceptibility to childhood acute lymphoblastic leukemia in Taiwan. PMID: 29102926
- Reduction in serum levels of MMP8 predicted complete remission in type 2 diabetes mellitus patients following bariatric surgery. PMID: 28734574
- MMP8 -799C/T, Val436Ala and Lys460Thr polymorphisms may only play an indirect role in determining personal cancer susceptibility to breast cancer in Taiwan. PMID: 29599337
- Our findings suggest that the polymorphisms at MMP-8 C-799T or Val436Ala may not play a major role in mediating personal risk of oral cancer; however, the detailed mechanisms require further investigation. PMID: 28652424
- Suggest that Ang-(1-7) plays an important role in protecting against atherosclerosis via counter-regulation of Ang II-induced MMP-8. PMID: 28283184
- Data show that individuals with MMP-8 -799TT genotype and intermediate HIV disease stage are at higher risk for the advancement of HIV disease. MMP-8 polymorphism indicated a trend of elevated risk for the modulation of HIV-associated neurocognitive disorder (HAND) severity. MMP-8 -799TT genotype may facilitate the risk for the development of HAND with tobacco and alcohol usage. PMID: 29292194
- Our study provides evidence for the tumour-suppressive mechanisms of MMP-8 in OTSCC by interplay with TGF-b1 and VEGF-C. PMID: 28772283
- These results provide the first evidence that MMP8 SNP at the rs11225394 locus is associated with the increased risk of osteonecrosis of the femoral head in Chinese Han population. PMID: 28423488
- Low MMP-8/TIMP-1 reflects left ventricle impairment in takotsubo cardiomyopathy and high TIMP-1 may help to differentiate it from acute coronary syndrome PMID: 28278213
- there is a negative correlation between blood MMP8 and HDL-cholesterol levels, suggesting a contributory role of MMP8 in metabolic alterations in acne inversa PMID: 27843200
- MMP-8 is a vital component of the myoepithelial tumour-suppressor function. It restores MEC interaction with the matrix, opposes TGF-beta signalling and MMP-9 proteolysis, which contributes to inhibition of tumour cell invasion. PMID: 28330493
- a 7-gene signature was identified which correctly predicted the primary prefibrotic myelofibrosis group with a sensitivity of 100% and a specificity of 89%. The 7 genes included MPO, CEACAM8, CRISP3, MS4A3, CEACAM6, HEMGN, and MMP8 PMID: 27579896
- Obesity is associated with elevated circulating MMP-8 in young adults. MMP-8 is also increased in smokers. PMID: 27296149
- Serum level patterns of MMP-2 and MMP-8 showed distinctive patterns for patients with spinal cord injury neurological impairment. MMP-8 and MMP-9 patterns showed significant differences regarding functional recovery. Our binary logistic regression model showed that, according to neurological damage, measuring peripheral serum levels can be used to monitor and predict locomotor recovery after spinal cord injury. PMID: 27377304
- rs1940475 and rs11225395 associated with 1.32-fold increased risk of steroid-induced osteonecrosis of the femoral head PMID: 27631232
- Blood expression of matrix metalloproteinases 8 and 9 and of their inducers S100A8 and S100A9 supports diagnosis and prognosis of PDAC-associated diabetes mellitus PMID: 26923392
- Plasma MMP-8 and MMP-9 concentrations correlate with diabetic ketoacidosis severity and are known to degrade brain microvascular endothelial cell tight junctions. Thus, leukocyte-derived MMPs might contribute to DKA-associated cerebrovascular complications. PMID: 26492282
- Initial analysis of the MMP8 gene showed suggestive association between rs1940475 and knee OA, but the finding did not replicate in other study cohorts, even though the trend for predisposing allele was similar in all five cohorts. MMP-8 is a good biological candidate for OA, but our study did not find common variants with significant association in the gene. PMID: 26577236
- Sputum, serum, and urine MMP-8 were not significantly changed in COPD exacerbation compared to recovery values. PMID: 26418236
- amniotic fluid concentrations in acute-chorioamnionitis distinctly decrease throughout preterm-gestation PMID: 26462905
- Suggest that MMP-8 polymorphism -799 C/T was a risk for developing chronic periapical lesions. PMID: 27442388
- The reciprocal positive interplay between MMP-8 and TGF-beta1 contributes to HCC invasion and metastasis by inducing EMT mainly through the PI3K/Akt/Rac1 pathway. PMID: 26872724
- increased levels in saliva and serum in women with polycystic ovary syndrome, and is potentiated in the presence of gingivitis PMID: 25712810
- Positive results of the aMMP-8 test significantly correlate with generalized ChP. The aMMP-8 test may be used by physicians to detect periodontitis in their patients. PMID: 25841875
- miR-539 plays a key role in inhibiting osteosarcoma cell invasion and migration and can regulate MMP8 expression in osteosarcoma cells. PMID: 26339374
- salivary levels of the analyzed biomarkers MMP-8, -9, MPO are associated with periodontal status. However, these biomarkers could not differentiate between patients with or without a MI. PMID: 26132583
- Moderate-strength STS causes the highest TIMP-1/MMP-8 ratio, leading to appropriate conditions for reformation of the extracellular matrix PMID: 23851938
- Gender-specific analysis of MMPs demonstrated consistent increase in MMP-1 and -8 in tuberculosis, but MMP-8 was a better discriminator for TB in men. PMID: 25635689
- MMP-8, MMP-9, and YKL-40 might serve as novel non-invasive biomarkers of CF lung disease and pulmonary exacerbations. PMID: 25545245
- Low levels of plasma MMP8 levels can rule out acute aortic dissection. PMID: 23442769
- investigated whether MMP-8 affects the structure and antiatherogenic function of apolipoprotein (apo) A-I, the main protein component of HDL particles PMID: 25550459
- Strong associations of MMP-8 with components of Metabolic Syndrome X in univariate, bivariate and multivariate models suggest plasma MMP-8 as a potential cardiometabolic risk marker for Metabolic syndrome X. PMID: 25633268
- it can be suggested that MMP-8 -799 C/T and TIMP-1 372 T/C, *429 T/G gene polymorphisms in males may be associated with the susceptibility to GAgP in the Turkish population. PMID: 24283658
- Studied plasma MMP-8 levels and its correlates 20+/-3 months after acute myocardial infarction. PMID: 24164993
- The 799C/T polymorphism in the promoter region of MMP8 may be associated with the development of TAD and that the T allele may increase patient predisposition to the disease. PMID: 25109362
- MMP-8 promoter gene polymorphism -799 T/T is significantly associated with an increased risk of ovarian cancer in Mexican women. PMID: 25034366
- patients with high serum MMP-8 levels may benefit from adjuvant IFN-alpha therapy, but this observation should be further investigated. PMID: 25319807
- Plasma and BALF MMP-8 levels are unlikely to serve as a prognostic biomarker for IPF patients. PMID: 24828408
- MMP8 rs1940475 SNP modifies the host response to inflammatory stimuli. PMID: 24170307
- The polymorphism at position -799 of the gene for MMP-8 is associated with tendinopathy primary posterior tibial tendon in the population studied. The results suggest that individuals with the T allele are at greater risk of developing tendinopathy. PMID: 22487237
- Studied the plasma concentrations of MMP-8, TIMP1, C-reactive protein, fibrinogen, and WBCs in patients with acute coronary syndrome and found levels were significantly higher than those in the control group. PMID: 25016699
- Plasmatic OxLDL and MMP-8 levels are associated with carotid atherosclerosis PMID: 24267248
顯示更多
收起更多
-
亞細胞定位:Cytoplasmic granule. Secreted, extracellular space, extracellular matrix. Note=Stored in intracellular granules.
-
蛋白家族:Peptidase M10A family
-
組織特異性:Neutrophils.
-
數據庫鏈接:
Most popular with customers
-
YWHAB Recombinant Monoclonal Antibody
Applications: ELISA, WB, IHC, IF, FC
Species Reactivity: Human, Mouse, Rat
-
Phospho-YAP1 (S127) Recombinant Monoclonal Antibody
Applications: ELISA, WB, IHC
Species Reactivity: Human
-
-
-
-
-
-















