MMP12 Antibody
-
中文名稱:MMP12兔多克隆抗體
-
貨號:CSB-PA12379A0Rb
-
規格:¥440
-
圖片:
-
Western blot
All lanes: MMP12 antibody at 2µg/ml
Lane 1: Hela whole cell lysate
Lane 2: NIH/3T3 whole cell lysate
Secondary
Goat polyclonal to rabbit IgG at 1/10000 dilution
Predicted band size: 55 kDa
Observed band size: 55 kDa -
Immunohistochemistry of paraffin-embedded human adrenal gland tissue using CSB-PA12379A0Rb at dilution of 1:100
-
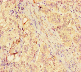
Immunohistochemistry of paraffin-embedded human testis tissue using CSB-PA12379A0Rb at dilution of 1:100
-
-
其他:
產品詳情
-
產品名稱:Rabbit anti-Homo sapiens (Human) MMP12 Polyclonal antibody
-
Uniprot No.:
-
基因名:
-
別名:EC 3.4.24.65 antibody; HME antibody; Macrophage elastase antibody; Macrophage metalloelastase antibody; Macrophage metaloelastase antibody; Matrix metallopeptidase 12 (macrophage elastase) antibody; Matrix metalloprotease 12 antibody; Matrix metalloproteinase-12 antibody; ME antibody; MGC138506 antibody; MME antibody; MMP 12 antibody; MMP-12 antibody; Mmp12 antibody; MMP12_HUMAN antibody
-
宿主:Rabbit
-
反應種屬:Human, Mouse
-
免疫原:Recombinant Human Macrophage metalloelastase protein (109-470AA)
-
免疫原種屬:Homo sapiens (Human)
-
標記方式:Non-conjugated
本頁面中的產品,MMP12 Antibody (CSB-PA12379A0Rb),的標記方式是Non-conjugated。對于MMP12 Antibody,我們還提供其他標記。見下表:
-
克隆類型:Polyclonal
-
抗體亞型:IgG
-
純化方式:>95%, Protein G purified
-
濃度:It differs from different batches. Please contact us to confirm it.
-
保存緩沖液:Preservative: 0.03% Proclin 300
Constituents: 50% Glycerol, 0.01M PBS, PH 7.4 -
產品提供形式:Liquid
-
應用范圍:ELISA, WB, IHC
-
推薦稀釋比:
Application Recommended Dilution WB 1:1000-1:5000 IHC 1:20-1:200 -
Protocols:
-
儲存條件:Upon receipt, store at -20°C or -80°C. Avoid repeated freeze.
-
貨期:Basically, we can dispatch the products out in 1-3 working days after receiving your orders. Delivery time maybe differs from different purchasing way or location, please kindly consult your local distributors for specific delivery time.
-
用途:For Research Use Only. Not for use in diagnostic or therapeutic procedures.
相關產品
靶點詳情
-
功能:May be involved in tissue injury and remodeling. Has significant elastolytic activity. Can accept large and small amino acids at the P1' site, but has a preference for leucine. Aromatic or hydrophobic residues are preferred at the P1 site, with small hydrophobic residues (preferably alanine) occupying P3.
-
基因功能參考文獻:
- Studied association of matrix metallopeptidase 12 (MMP12) -82 A>G promoter single nucleotide polymorphism (SNP) with bronchial asthma in a Bulgarian population. Results suggest the variant G allele of the MMP12 -82 A>G promoter polymorphism might considered protective for development of bronchial asthma. PMID: 29390099
- that MMP-12 might act as a potential target for the development of novel therapeutics of esophageal squamous cell carcinoma PMID: 29033183
- MMP-12 (-82A/G) polymorphisms associate with obesity risk and its severity. PMID: 29317790
- Significant association observed for MMP-12 (-1082 A/G) (OR 2.55; 95% CI 1.75 to 3.71) gene polymorphism and risk of ischemic stroke. [meta-analysis] PMID: 29906531
- The MMP12 down regulation by increasing oxygen concentration enables temporal expression control of MMP12 and involves several mechanisms including HIF-1alpha. These findings suggest MMP12 involved in trophoblast invasion during the first trimester. PMID: 28990117
- In the present report, hypoxia is shown to activate a HIF-KDM3A-MMP12 signaling cascade that promotes trophoblast invasion and trophoblast-directed uterine spiral artery remodeling. PMID: 27807143
- The current results suggest that MMP12 rs652438 but not MMP12 rs2276109 may affect the risk for Parkinson Disease PMID: 28655442
- M4 macrophages are a possible source for HDAC9 and MMP12 expression in advanced human carotid plaques. PMID: 28343758
- MMP12 levels were increased in gingival tissue of periodontitis patients. MMP12-producing monocyte-derived cells also had reduced CD200R surface levels. MMP12 production by these cells was induced by CSF2, and treatment with a CD200R ligand reduced CSF2-induced MMP12 production. This novel association of the CD200/CD200R pathway with MMP12 production by monocyte-derived cells may play a key role in PD progression. PMID: 29101312
- G allele of MMP12 -82 A > G promoter polymorphism as a protective factor for COPD in Bulgarian population PMID: 28692348
- We also found that MMP12 facilitated type I collagen induced platelet aggregation, adhesion and alpha granule secretion. Similarly, one short peptide, WYKG, facilitated type I collagen induced platelet alpha granule secretion. We conclude that platelet express MMP12 may facilitate platelet activation through shedding of CEACAM1. PMID: 28385529
- To conclude, Pseudomonas aeruginosa infection induced the expression of matrix metalloproteinases, and Pseudomonas aeruginosa type III secretion system appeared to be a key player in MMP-12 and MMP-13 expression, which is further controlled by NF-kappaB signaling. PMID: 27377745
- This study demonstrated that the MMP-12 levels was significantly higher in patients with atheromatous plaques than in those without plaques. PMID: 27345464
- High MMP12 expression is associated with gastric cancer. PMID: 28098914
- Study evaluated MMP-12 and TIMP-1, TIMP-2, TIMP-3, and TIMP-4 levels in 40 patients with asymptomatic and symptomatic critical carotid artery stenosis (CAS) with neurologic symptoms onset within the preceding 12 hours; results suggest that MMP-12 is related to critical CAS independently on symptoms, moreover, TIMP-3 and TIMP-4 seem to be specifically related to stroke PMID: 27746079
- MMP12 causes arterial stiffening in mice and suggest that it functions similarly in humans. PMID: 26608672
- Productive complex between MMP-12 and synthetic triple-helical collagen V, are revealed through paramagnetic NMR. PMID: 26887942
- These results proved that MMP-12 expression was increased in cutaneous melanoma and associated with tumor progression. It also provided the first evidence that MMP-12 level could be an independent prognostic marker for patients with cutaneous melanoma PMID: 26040769
- fluid shear stress induces the synthesis of Insulin growth factor-2 and vascular endothelial growth factor (VEGF) B and D, which in turn transactivate MMP-12. PMID: 25435370
- AG and GG genotypes of the MMP12 rs2276109 variant were significantly under-represented among patients with non-contact anterior cruciate ligament rupture compared to controls. PMID: 21410539
- HnRNP K can induce MMP12 expression and enzyme activity through activating MMP12 promoter, which promotes cell migration and invasion in nasopharyngeal carcinoma cells. PMID: 24885469
- We identified a novel association with an MMP12 locus in large artery atherosclerosis (rs660599; p = 2.5x10), with independent replication in a second population PMID: 25078452
- Thrombin-activated microglia expression of tumor necrosis factor-a, interleukin-1b and MMP-12 was significantly reduced through contact-dependent and paracrine mechanisms when the HAESCs were co-cultured with microglia cells PMID: 24424266
- Macrophage MMP12 regulates adipose tissue expansion, insulin sensitivity, and expression of inducible nitric oxide synthase. PMID: 24914938
- MMP12 is located in genes previously associated with chronic obstructive pulmonary disease susceptibility. PMID: 25006744
- In acute aortic dissection patients, macrophage activation is strongly related to the clinical outcome of atherosclerotic disease and the role of MMP-12 as a specific marker. PMID: 24432723
- In emphysema, MMP12 mRNA expression was inversely related to the diffusing capacity of the lung. PMID: 23900981
- These findings suggest that inhibiting extracellular MMP-12 could be a new avenue for the development of antiviral treatments PMID: 24784232
- role of matrix metalloproteinase 12 in non-small cell lung cancer PMID: 24398311
- MMP-12 proteolytic activity exists within the aorta specimens and blood samples from aortic dissection patients. PMID: 23642232
- The present study evaluated the association between these single nucleotide polymorphisms in MMP12 and MMp13 in patients with colorectal cancer (CRC) patients and healthy controls. PMID: 23898086
- MMP-12 expression was found to be significantly associated with extracapsular spread and correlated with nodal metastasis in head and neck squamous cell carcinoma. No relation was found between MMP expression and survival. PMID: 22907031
- the endogenous matrix metalloprotease-12 active form can be detected with a novel broad spectrum activity-based probe PMID: 23271741
- confers susceptibility to asthma and is associated with asthma severity in a Japanese population PMID: 23075521
- Suggest that the inter-individual variability in the MMP-12 gene variation may not be a risk factor for vulnerable plaques in the Chinese Han population. PMID: 22863605
- Studied the catalytic domain of MMP-12 in complex with the known inhibitor CGS27023A. A 3D (15)N-edited/(14)N,(12)C-filtered ROESY experiment was used to monitor and distinguish protein amide protons in fast exchange with bulk water. PMID: 22528292
- Our results establish microglia as a significant source of progranulin(PGRN), and MMP-12 as modulators of PGRN PMID: 22509390
- analysis of orally potent and selective small molecule inhibitor of MMP-12 for treatment of COPD and asthma in human and mouse models PMID: 22153340
- Sputum MMP-12 concentrations and activity in patients with chronic obstructive pulmonary disease are associated with the extent of emphysema PMID: 22305682
- MMP-12 participates in experimental small airway modelling and in emphysema [review] PMID: 21920892
- Provide in vivo evidence of an effect of MMP12 on fibrinogen level. PMID: 22119538
- Surfaces of MMP-12 far from its active site have been found to affect degradation and affinity for elastin substrates; main exosite 1 has been extended to Asp-124 that binds calcium while exosite 2 comprises residues near the back of the catalytic domain. PMID: 21967233
- rs652438 SNP alters MMP-12 activity with the A allele being more active, which is associated with increased macrophage infiltration and emphysema in the lungs of patients with COPD. These findings further implicate MMP-12 and this SNP in COPD PMID: 21730350
- MMP-12 mRNA may be a valuable prognostic marker for both overall survival and tumour recurrence of hepatocellular patients after liver resection. PMID: 21683576
- High expression of MMP-12 in squamous laryngeal carcinoma was related to significant hyperplasia. PMID: 17357518
- Data suggest that the matrix metalloproteinase-12 rs2276109 gene polymorphism may contribute to susceptibility to systemic sclerosis (SSc), and in particular to diffuse cutaneous SSc and pulmonary fibrosis. PMID: 20595276
- Overexpression of human macrophage metalloelastase is strongly correlated with the reduced angiogenesis and vascular invasion of gastric carcinoma, and may serve as a useful predictive indicator in patients with this disease. PMID: 20127415
- distribution of N357S genotypes not significantly different in chronic obstructive pulmonary disease PMID: 20160424
- Individuals with MMP-12 -82A/G and MMP-13 -77A/A might have higher risk of overall or special histological type of epithelial ovarian carcinoma development. PMID: 20376807
- The catalytic domain of MMP-12 binds to the triple helix and cleaves the typical sites -Gly(775)-Leu(776)- in alpha-2 type I collagen and -Gly(775)-Ile(776)- in alpha-1 type I and type III collagens and at multiple other sites in both collagen types. PMID: 19932771
顯示更多
收起更多
-
亞細胞定位:Secreted, extracellular space, extracellular matrix.
-
蛋白家族:Peptidase M10A family
-
組織特異性:Found in alveolar macrophages but not in peripheral blood monocytes.
-
數據庫鏈接:
Most popular with customers
-
-
YWHAB Recombinant Monoclonal Antibody
Applications: ELISA, WB, IHC, IF, FC
Species Reactivity: Human, Mouse, Rat
-
Phospho-YAP1 (S127) Recombinant Monoclonal Antibody
Applications: ELISA, WB, IHC
Species Reactivity: Human
-
-
-
-
-















