MMP11 Antibody
-
中文名稱:MMP11兔多克隆抗體
-
貨號:CSB-PA029613
-
規格:¥1100
-
圖片:
-
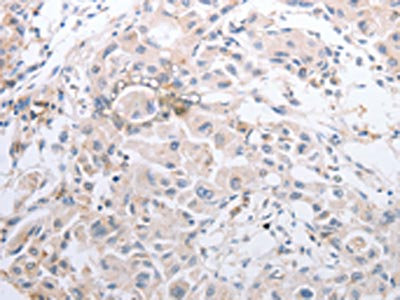
The image on the left is immunohistochemistry of paraffin-embedded Human lung cancer tissue using CSB-PA029613(MMP11 Antibody) at dilution 1/40, on the right is treated with synthetic peptide. (Original magnification: ×200)
-
The image on the left is immunohistochemistry of paraffin-embedded Human renal cancer tissue using CSB-PA029613(MMP11 Antibody) at dilution 1/40, on the right is treated with synthetic peptide. (Original magnification: ×200)
-
Gel: 10%SDS-PAGE, Lysate: 60 μg, Lane 1-2: Human colon tissue, Human ovarian cancer tissue, Primary antibody: CSB-PA029613(MMP11 Antibody) at dilution 1/600, Secondary antibody: Goat anti rabbit IgG at 1/8000 dilution, Exposure time: 1 minute
-
-
其他:
產品詳情
-
Uniprot No.:
-
基因名:MMP11
-
別名:Matrix Metalloproteinase 11 antibody; Matrix metalloproteinase-11 antibody; MMP-11 antibody; Mmp11 antibody; MMP11_HUMAN antibody; SL 3 antibody; SL-3 antibody; SL3 antibody; ST3 antibody; STMY3 antibody; Stromelysin 3 antibody; Stromelysin III antibody; Stromelysin-3 antibody
-
宿主:Rabbit
-
反應種屬:Human,Mouse
-
免疫原:Synthetic peptide of Human MMP11
-
免疫原種屬:Homo sapiens (Human)
-
標記方式:Non-conjugated
-
抗體亞型:IgG
-
純化方式:Antigen affinity purification
-
濃度:It differs from different batches. Please contact us to confirm it.
-
保存緩沖液:-20°C, pH7.4 PBS, 0.05% NaN3, 40% Glycerol
-
產品提供形式:Liquid
-
應用范圍:ELISA,WB,IHC
-
推薦稀釋比:
Application Recommended Dilution ELISA 1:1000-1:5000 WB 1:500-1:2000 IHC 1:50-1:200 -
Protocols:
-
儲存條件:Upon receipt, store at -20°C or -80°C. Avoid repeated freeze.
-
貨期:Basically, we can dispatch the products out in 1-3 working days after receiving your orders. Delivery time maybe differs from different purchasing way or location, please kindly consult your local distributors for specific delivery time.
-
用途:For Research Use Only. Not for use in diagnostic or therapeutic procedures.
相關產品
靶點詳情
-
功能:May play an important role in the progression of epithelial malignancies.
-
基因功能參考文獻:
- We believe that genetic variations in the MMP-11 gene may help to predict early-stage Hepatocellular carcinoma and act as reliable biomarkers for Hepatocellular carcinoma progression PMID: 29725257
- In this study, matrix-assisted laser desorption/ionization mass spectrometry imaging (MALDI-MSI) has been used for the first time to investigate the distribution of MMP-11 in human breast cancer tissues in order to show a possible correlation between cancerous and healthy samples, by differential proteomics and using such differences for possible cancer diagnosis and/or prognosis. PMID: 28801789
- Authors evaluated the expression of known targets of miR-125a and found that sirtuin-7, matrix metalloproteinase-11, and c-Raf were up-regulated in tumor tissue by 2.2-, 3-, and 1.7-fold, respectively. Overall, these data support a tumor suppressor role for miR-125a. PMID: 28445974
- Results revealed that MMP-11 high expression in oral squamous cell carcinoma (OSCC) samples can predict the progression, especially lymph node metastasis, and the survival of OSCC patients. PMID: 28427180
- A new prognostic model for HR-/HER2+ breast cancer based on the expression of MMP11 and CD2 was developed and the distant metastasis-free survival for patients in the high-risk group according to our model was significantly lower than that for those in the low-risk group. PMID: 28409241
- HMGA1 and MMP-11 may play a key role in the proliferation and progression of skin tumors in humans. PMID: 29374701
- These results demonstrated that miR-145 has an inhibitory role in TNBC malignancy by targeting MMP11 and Rab27a, which might be potential therapeutic and diagnostic targets for TNBC. PMID: 27364572
- the data demonstrate that miR125a5p functions as a tumor suppressor gene and serves an important role in inhibiting osteosarcoma cell migration, invasion and EMT by targeting MMP11. PMID: 27081863
- MMP-11 overexpression is associated with aggressive tumor phenotype and unfavorable clinical outcome in urothelial carcinomas. PMID: 26861489
- Our study established that high serum levels of MMP-11 are associated with poor clinical outcome and may serve as a prognostic biomarker in colon cancer patients. PMID: 27002762
- Overexpression of MMP-11 was discovered in sera of cancer patients compared with normal control group as well as in multiple tumor tissue specimens, such as gastric cancer, breast cancer, and pancreatic cancer. At present, some evidence supports that MMP-11 may work as a significant tumor biomarker for early detection of cancer, tumor staging, prognostic analysis, monitoring recurrence [review] PMID: 26892540
- Matrix metalloproteinase 11 has a role in degenerating intervertebral disc disease PMID: 26956825
- combined effects of the MMP-11 gene polymorphisms and environmental carcinogens are related to an increased risk for the development of OSCC and may be a predictive factor for tumor lymph node metastasis in Taiwanese with OSCC PMID: 24838924
- results indicated that both CD147 and MMP-11 may be involved in the progression of colorectal cancer, and they are potential prognostic factors and might become new therapeutic targets for CRC patients PMID: 26507719
- Our findings identified these 2 genes as a novel breast cancer biomarker gene set, which may facilitate the diagnosis and treatment in breast cancer clinical therapies. PMID: 26084486
- High Expression of Matrix Metalloproteinase-11 is associated with Cholangiocarcinoma. PMID: 25987024
- study showed that plasma level of MMP-11 may be useful for assessment of the disease progression, especially lymph node metastasis, in patients with OSCC PMID: 25423087
- MMP-14 function might represent one critical regulatory mechanism to control the extent of pericellular MMP-11 bioavailability and protect cells from excessive/inappropriate MMP-11 function. PMID: 25081520
- These findings further suggest MMP11 as a promising biomarker for breast and prostate cabcer. PMID: 24564996
- MMP-11 expression was significantly related to clinicopathological parameters, which may be essential to the prediction of disease outcome in patients with invasive ductal carcinoma of the breast. PMID: 23115007
- Knockdown of MMP11 expression could inhibit the proliferation and invasion of gastric adenocarcinoma cells probably through down-regulation of the IGF-1 signaling pathway. PMID: 23755751
- Findings define a regulatory role of miR-98 in tumor angiogenesis and invasion through repressed ALK4 and MMP11 expression. PMID: 23211491
- Data suggest that intra- and extracellular tracking of MMP-11-overexpressing cancer cells might contribute to the understanding of the activation pathways leading to MMP-11-mediated invasive processes. PMID: 22927434
- MiR-125a inhibits the proliferation and metastasis of hepatocellular carcinoma by targeting MMP11 and VEGF-A. PMID: 22768249
- expression by fibroblasts associated with poor prognosis in colorectal cancer PMID: 22488635
- Results describe MMP-11 expression in human epithelial colon adenocarcinoma cell lines (Caco-2, HT-29 and BCS-TC2). PMID: 22227581
- Report MMP11/12 expression in cervical scrapes cells from cervical precursor lesions. PMID: 22076168
- MMP11 (metalloproteinase 11) gene shows increased expression in papillary thyroid cancer. PMID: 17091452
- MMP-11 is overexpressed in many lobular carcinoma cells, and it may play role in lobular carcinogenesis through increasing resistance to anoikis. PMID: 21773755
- Serum levels in Chinese patients with advanced gastric carcinoma are not associated with the response to chemotherapy, but play role in lymph node metastasis and prognosis PMID: 21513571
- The MMP-11 is up-regulated by Gli1 and mediates the migration and invasion induced by Gli1 in MDA-MB-231. PMID: 21442356
- The expression of stromelysin-3 was closely associated with the invasion and metastasis of laryngeal carcinoma. PMID: 18476627
- matrix metalloproteinase 11 is a novel factor in the development and progression of gastric cancer and suggest that matrix metalloproteinase 11 is a marker for advanced gastric cancer. PMID: 20060156
- the results of this study indicate that MMP11 polymorphism may be associated with Kawasaki disease in the Korean population PMID: 20230842
- High expression of MMP-11 or -13, or cluster thereof, were significantly associated with higher probability of biochemical recurrence in prostate cancer PMID: 20160732
- MMP-11 and CK-20 are probable prognostic markers whose expression reflects the stages of tumor differentiation and LNM of breast cancer. PMID: 19914229
- may play role in meningioma invasiveness PMID: 11857311
- alternative splicing and promoter usage generates an intracellular stromelysin 3 isoform directly translated as an active matrix metalloproteinase PMID: 12006591
- Data confirmed stromelysin-3's contribution to breast cancer progression and its expression was shown to have a direct negative effect on patients' survival. PMID: 12429794
- MMP11 may have a role in the pathogenesis of papillary thyroid carcinoma PMID: 12538453
- Active stromelysin-3 increases breast cancer cell survival in three-dimensional Matrigel culture via activation of p42/p44 MAP-kinase PMID: 12845673
- ST3 protein was more involved in the pathway of colorectal cancer development in females, distal locations, infiltrative growth patterns and microsatellite stability. PMID: 15459498
- central role of PKC isoforms and the negative regulatory function of c-Src in the control of ST3 expression PMID: 15509588
- colony formation of MMP11 deficient cells was dramatically inhibited in soft agar and tumorigenicity was reduced in nude mice, respectively PMID: 15582574
- cathepsin F, matrix metalloproteinases 11 and 12 are upregulated in cervical cancer PMID: 15989693
- MMP-11, like an inflammatory mediator, may exert a chemotactic influence on macrophages which aggregate in the mesangium; MMP-11 is not likely to have a parallel mitogenic or antifibrotic effect in diseased glomeruli PMID: 17085465
- proposes that ST-3 induction in tumour fibroblasts leads to the stimulation of the IGF-1R pathway in carcinoma cells, thus enhancing their proliferative capacity PMID: 17233884
- MMP11 may play an important role in carcinogenesis and has potential implication as a biomarker for the diagnosis and prognosis of human cancers including gastric cancer. PMID: 18172255
- MMP11 exhibits collagenolytic function against collagen VI under malignant conditions. PMID: 18622425
- MMP-11 were identified at higher levels in lung secretions of pediatric ALI patients compared with controls. PMID: 19159011
顯示更多
收起更多
-
亞細胞定位:Secreted, extracellular space, extracellular matrix.
-
蛋白家族:Peptidase M10A family
-
組織特異性:Specifically expressed in stromal cells of breast carcinomas.
-
數據庫鏈接:
Most popular with customers
-
-
YWHAB Recombinant Monoclonal Antibody
Applications: ELISA, WB, IHC, IF, FC
Species Reactivity: Human, Mouse, Rat
-
Phospho-YAP1 (S127) Recombinant Monoclonal Antibody
Applications: ELISA, WB, IHC
Species Reactivity: Human
-
-
-
-
-















