MLLT4 Antibody
-
中文名稱:MLLT4兔多克隆抗體
-
貨號:CSB-PA076189
-
規格:¥1100
-
圖片:
-
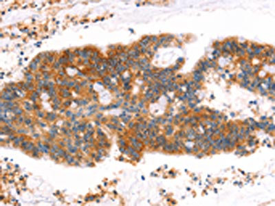
The image on the left is immunohistochemistry of paraffin-embedded Human colon cancer tissue using CSB-PA076189(MLLT4 Antibody) at dilution 1/40, on the right is treated with synthetic peptide. (Original magnification: ×200)
-
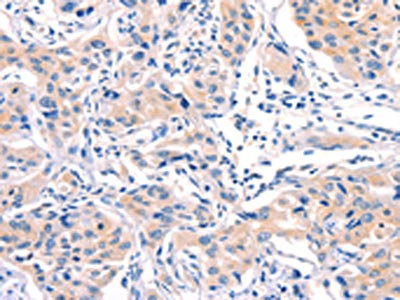
The image on the left is immunohistochemistry of paraffin-embedded Human lung cancer tissue using CSB-PA076189(MLLT4 Antibody) at dilution 1/40, on the right is treated with synthetic peptide. (Original magnification: ×200)
-
-
其他:
產品詳情
-
Uniprot No.:
-
基因名:
-
別名:AF6 antibody; AFAD_HUMAN antibody; Afadin antibody; ALL1-fused gene from chromosome 6 protein antibody; Mllt4 antibody; Protein Af-6 antibody; Protein AF6 antibody
-
宿主:Rabbit
-
反應種屬:Human,Mouse,Rat
-
免疫原:Synthetic peptide of Human MLLT4
-
免疫原種屬:Homo sapiens (Human)
-
標記方式:Non-conjugated
-
抗體亞型:IgG
-
純化方式:Antigen affinity purification
-
濃度:It differs from different batches. Please contact us to confirm it.
-
保存緩沖液:-20°C, pH7.4 PBS, 0.05% NaN3, 40% Glycerol
-
產品提供形式:Liquid
-
應用范圍:ELISA,IHC
-
推薦稀釋比:
Application Recommended Dilution ELISA 1:2000-1:5000 IHC 1:50-1:200 -
Protocols:
-
儲存條件:Upon receipt, store at -20°C or -80°C. Avoid repeated freeze.
-
貨期:Basically, we can dispatch the products out in 1-3 working days after receiving your orders. Delivery time maybe differs from different purchasing way or location, please kindly consult your local distributors for specific delivery time.
-
用途:For Research Use Only. Not for use in diagnostic or therapeutic procedures.
相關產品
靶點詳情
-
功能:Belongs to an adhesion system, probably together with the E-cadherin-catenin system, which plays a role in the organization of homotypic, interneuronal and heterotypic cell-cell adherens junctions (AJs). Nectin- and actin-filament-binding protein that connects nectin to the actin cytoskeleton. May play a key role in the organization of epithelial structures of the embryonic ectoderm. Essential for the organization of adherens junctions.
-
基因功能參考文獻:
- CLDN6 enhances the chemoresistance to ADM via activating the AF-6/ERK signaling pathway and up-regulating cancer stem cell characters in MDAMB231 cells. PMID: 29159771
- AF6 employs a non-canonical, evolutionarily conserved alpha-helix to bind RAS, unique to AF6 and the classical RASSF effectors. PMID: 29062045
- miR-188-3p is a novel independent prognostic factor in colorectal cancer patients, which can be partly explained by its effect on MLLT4 expression and migration of cancer cells. PMID: 27601590
- Afadin (AFDN), a cytoskeletal and junction-associated protein, was present in 2D and 3D keratinocyte cultures, and validated as a so-far-unknown EphA2-interacting protein. PMID: 27815408
- In pancreatic cancer cells, AF6 is expressed at reduced levels, causing Dvl2 to be upregulated and available to bind and enhance FOXE1-induced trans-activation of Snail, which promotes proliferation and metastasis. PMID: 26013125
- AF-6/afadin could be a useful selection marker for fertility-sparing therapy for patients with atypical hyperplasia or grade 1 endometrioid adenocarcinoma with no myometrial invasion. PMID: 25879875
- JAM-A regulates epithelial permeability via association with ZO-2, afadin, and PDZ-GEF1 to activate Rap2c and control contraction of the apical cytoskeleton. PMID: 23885123
- The expression levels of CFTR and AF-6/afadin are significantly downregulated in human colon cancer tissues. PMID: 24373847
- AF-6 is a positive modulator of the PINK1/parkin pathway and is deficient in Parkinson's disease. PMID: 23393160
- The interaction between the PDZ domain of afadin (AF6_PDZ) and a series of polypeptides comprising the PDZ-binding motif, was studied. PMID: 20586101
- Results demonstrate a role for afadin in the regulation of vascular barrier function via coordination of adherens junction-tight junction and p120-catenin-ZO-1 interactions. PMID: 21732359
- the Necl-5-nectin, nectin-nectin, and nectin-afadin interactions cooperatively increase the clustering of the nectin-afadin complex at the cell-cell contact sites, promoting the formation of the nectin-based cell-cell adhesion. PMID: 21880730
- AF6/afadin is a marker of poor outcome in breast cancer, and its loss induces cell migration, invasiveness and tumor growth PMID: 21478912
- Results demonstrate a novel molecular mechanism by which Rap1 and afadin regulate the VEGF- and S1P-induced angiogenesis. PMID: 20413783
- RYK, a catalytically inactive receptor tyrosine kinase, associates with EphB2 and EphB3 but does not interact with AF-6. PMID: 11956217
- Bcr kinase downregulates Ras signaling by phosphorylating AF-6 and binding to its PDZ domain PMID: 12808105
- Results report the solution structure of AF-6 PDZ domain and its interaction with the C-terminal peptides from Neurexin and Bcr. PMID: 15684424
- AF6 negatively regulates Rap1-induced cell adhesion. PMID: 16051602
- Loss of afadin is associated with breast cancer PMID: 16819513
- AF6/s-afadin is a candidate for mediating control of cellular growth processes by regulated translocation to the nucleus. PMID: 17013812
- c-Src is recruited by AF-6 to cell-cell contact sites, suggesting that c-Src is regulated by a PDZ protein in special cellular locations. PMID: 17491594
- AF6 protein is important for spreading of Herpes simplex virus 1 in epithelial cells PMID: 17967423
- two distal surfaces of the AF-6 PDZ domain respond differently to peptide binding; distal surface 1 changes in millisecond dynamics, whereas distal surface 2 undergoes structural rearrangement PMID: 18052198
- This paper deals with AF-6 in mouse, rat, and cow. PMID: 9722616
顯示更多
收起更多
-
相關疾?。?/div>A chromosomal aberration involving AFDN is associated with acute leukemias. Translocation t(6;11)(q27;q23) with KMT2A/MLL1. The result is a rogue activator protein.亞細胞定位:Cell junction, adherens junction.數據庫鏈接:
Most popular with customers
-
-
YWHAB Recombinant Monoclonal Antibody
Applications: ELISA, WB, IHC, IF, FC
Species Reactivity: Human, Mouse, Rat
-
Phospho-YAP1 (S127) Recombinant Monoclonal Antibody
Applications: ELISA, WB, IHC
Species Reactivity: Human
-
-
-
-
-















