MICAL1 Antibody
-
中文名稱:MICAL1兔多克隆抗體
-
貨號:CSB-PA851555LA01HU
-
規格:¥440
-
圖片:
-
Western Blot
Positive WB detected in: Raji whole cell lysate, Jurkat whole cell lysate, THP-1 whole cell lysate
All lanes: MICAL1 antibody at 1:2000
Secondary
Goat polyclonal to rabbit IgG at 1/50000 dilution
Predicted band size: 118, 109, 38, 120 kDa
Observed band size: 120 kDa -
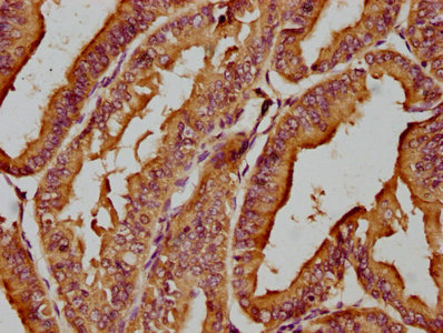
IHC image of CSB-PA851555LA01HU diluted at 1:200 and staining in paraffin-embedded human endometrial cancer performed on a Leica BondTM system. After dewaxing and hydration, antigen retrieval was mediated by high pressure in a citrate buffer (pH 6.0). Section was blocked with 10% normal goat serum 30min at RT. Then primary antibody (1% BSA) was incubated at 4°C overnight. The primary is detected by a biotinylated secondary antibody and visualized using an HRP conjugated SP system.
-
Immunofluorescence staining of Hela cells with CSB-PA851555LA01HU at 1:100, counter-stained with DAPI. The cells were fixed in 4% formaldehyde, permeabilized using 0.2% Triton X-100 and blocked in 10% normal Goat Serum. The cells were then incubated with the antibody overnight at 4°C. The secondary antibody was Alexa Fluor 488-congugated AffiniPure Goat Anti-Rabbit IgG(H+L).
-
-
其他:
產品詳情
-
產品名稱:Rabbit anti-Homo sapiens (Human) MICAL1 Polyclonal antibody
-
Uniprot No.:
-
基因名:MICAL1
-
別名:CasL interacting molecule antibody; DKFZp434B1517 antibody; FLJ11937 antibody; FLJ21739 antibody; MICA1_HUMAN antibody; MICAL 1 antibody; MICAL antibody; MICAL1 antibody; microtubule associated monoxygenase; calponin and LIM domain containing 1 antibody; Molecule interacting with CasL protein 1 antibody; NEDD9 interacting protein with calponin homology and LIM domains antibody; NEDD9-interacting protein with calponin homology and LIM domains antibody; NICAL antibody; OTTHUMP00000016969 antibody
-
宿主:Rabbit
-
反應種屬:Human
-
免疫原:Recombinant Human [F-actin]-methionine sulfoxide oxidase MICAL1 protein (806-1067AA)
-
免疫原種屬:Homo sapiens (Human)
-
標記方式:Non-conjugated
本頁面中的產品,MICAL1 Antibody (CSB-PA851555LA01HU),的標記方式是Non-conjugated。對于MICAL1 Antibody,我們還提供其他標記。見下表:
-
克隆類型:Polyclonal
-
抗體亞型:IgG
-
純化方式:>95%, Protein G purified
-
濃度:It differs from different batches. Please contact us to confirm it.
-
保存緩沖液:Preservative: 0.03% Proclin 300
Constituents: 50% Glycerol, 0.01M PBS, pH 7.4 -
產品提供形式:Liquid
-
應用范圍:ELISA, WB, IHC, IF
-
推薦稀釋比:
Application Recommended Dilution WB 1:1000-1:5000 IHC 1:200-1:500 IF 1:50-1:200 -
Protocols:
-
儲存條件:Upon receipt, store at -20°C or -80°C. Avoid repeated freeze.
-
貨期:Basically, we can dispatch the products out in 1-3 working days after receiving your orders. Delivery time maybe differs from different purchasing way or location, please kindly consult your local distributors for specific delivery time.
-
用途:For Research Use Only. Not for use in diagnostic or therapeutic procedures.
相關產品
靶點詳情
-
功能:Monooxygenase that promotes depolymerization of F-actin by mediating oxidation of specific methionine residues on actin to form methionine-sulfoxide, resulting in actin filament disassembly and preventing repolymerization. In the absence of actin, it also functions as a NADPH oxidase producing H(2)O(2). Acts as a cytoskeletal regulator that connects NEDD9 to intermediate filaments. Also acts as a negative regulator of apoptosis via its interaction with STK38 and STK38L; acts by antagonizing STK38 and STK38L activation by MST1/STK4. Involved in regulation of lamina-specific connectivity in the nervous system such as the development of lamina-restricted hippocampal connections. Through redox regulation of the actin cytoskeleton controls the intracellular distribution of secretory vesicles containing L1/neurofascin/NgCAM family proteins in neurons, thereby regulating their cell surface levels. May act as Rab effector protein and play a role in vesicle trafficking.
-
基因功能參考文獻:
- Methionine oxidation is regulated in vivo by monooxygenases of the MICAL family. (Review) PMID: 28229915
- describe methods to characterize MICAL-mediated F-actin disassembly using in vitro assays with purified proteins PMID: 27787846
- The results provide evidence that MICAL1 plays an essential role in the activation of ROS/Akt signaling and cell invasive phenotype and identify a novel link between RAB35 and MICAL1 in regulating breast cancer cell invasion. PMID: 27430308
- The MICAL1 directly induce oxidation of actin molecules, leading to actin depolymerization. ROS production by MICAL1 also causes oxidation of collapsin response mediator protein-2 which subsequently undergoes phosphorylation. PMID: 23834433
- although MICAL1 is auto-inhibited by its C-terminal coiled-coil region, MICAL2 remains constitutively active and affects stress fibers, suggesting differential but complementary roles for MICAL1 and MICAL2 in actin microfilament regulation PMID: 22331357
- Faint and scattered immunoreactivity for Mical-1 is observed in neurons of the neocortex of the temporal lobe epilepsy group, while strong immunoreactivity for Mical-1 is shown in control subjects. PMID: 21638339
- Findings show a biological role for MICAL-1 in apoptosis and define a novel negative regulatory mechanism of MST-NDR signaling. PMID: 21730291
- a CasL interacting molecule that associates with vimentin PMID: 11827972
- MICAL-1 isoforms with their multidomain structure are novel rab1 interacting proteins that function as scaffold proteins connecting different components in the cell. PMID: 12788069
- The unfolding of MICAL-1 calpolnin homology (CH) domain was studied. PMID: 17662518
顯示更多
收起更多
-
亞細胞定位:Cytoplasm. Cytoplasm, cytoskeleton. Midbody.
-
蛋白家族:Mical family
-
組織特異性:Expressed in the thymus, lung, spleen, kidney, testis and hematopoietic cells.
-
數據庫鏈接:
Most popular with customers
-
-
YWHAB Recombinant Monoclonal Antibody
Applications: ELISA, WB, IHC, IF, FC
Species Reactivity: Human, Mouse, Rat
-
Phospho-YAP1 (S127) Recombinant Monoclonal Antibody
Applications: ELISA, WB, IHC
Species Reactivity: Human
-
-
-
-
-















