-
中文名稱:METRNL兔多克隆抗體
-
貨號:CSB-PA731035LA01HU
-
規格:¥440
-
圖片:
-
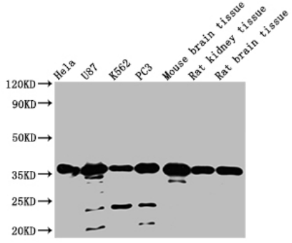
Western Blot
Positive WB detected in: Hela whole cell lysate, U87 whole cell lysate, K562 whole cell lysate, PC3 whole cell lysate, Mouse brain tissue, Rat kidney tissue, Rat brain tissue
All lanes: METRNL antibody at 1:2000
Secondary
Goat polyclonal to rabbit IgG at 1/50000 dilution
Predicted band size: 35, 26 KDa
Observed band size: 35 KDa
Exposure time:1min
-
-
其他:
產品詳情
-
產品描述:
The METRNL antibody was raised in rabbits using the recombinant human METRNL protein as the immunogen. It underwent antigen affinity purification. This rabbit anti-human METRNL polyclonal antibody exhibits high specificity for METRNL protein from human, mouse, and rat samples. The target protein METRNL is a novel adipokine that has been shown to play a role in metabolic regulation, insulin sensitivity, and energy homeostasis.
This antibody can be used in ELISA and WB applications. And it may be useful in metabolic disorders and related fields.
-
產品名稱:Rabbit anti-Homo sapiens (Human) METRNL Polyclonal antibody
-
Uniprot No.:
-
基因名:METRNL
-
別名:Meteorin like glial cell differentiation regulator antibody; Meteorin; glial cell differentiation regulator like antibody; Meteorin-like protein antibody; METRL_HUMAN antibody; Metrnl antibody
-
宿主:Rabbit
-
反應種屬:Human, Mouse, Rat
-
免疫原:Recombinant Human Meteorin-like protein
-
免疫原種屬:Homo sapiens (Human)
-
標記方式:Non-conjugated
本頁面中的產品,METRNL Antibody (CSB-PA731035LA01HU),的標記方式是Non-conjugated。對于METRNL Antibody,我們還提供其他標記。見下表:
-
克隆類型:Polyclonal
-
抗體亞型:IgG
-
純化方式:Antigen Affinity purified
-
濃度:It differs from different batches. Please contact us to confirm it.
-
保存緩沖液:Liquid in PBS containing 50% glycerol, 0.5% BSA and 0.02% sodium azide.
-
產品提供形式:Liquid
-
應用范圍:ELISA, WB
-
推薦稀釋比:
Application Recommended Dilution WB 1:500-1:5000 -
Protocols:
-
儲存條件:Upon receipt, store at -20°C or -80°C. Avoid repeated freeze.
-
貨期:Basically, we can dispatch the products out in 1-3 working days after receiving your orders. Delivery time maybe differs from different purchasing way or location, please kindly consult your local distributors for specific delivery time.
-
用途:For Research Use Only. Not for use in diagnostic or therapeutic procedures.
引用文獻
- Resveratrol may reduce oxidative stress and apoptosis in doxorubicin-induced cardiotoxicity by regulating meteorin-like and TRPM2 levels S Kaya,Comparative Clinical Pathology,2023
產品評價
實驗應用:WB
樣品信息:組織裂解液(lysate),小鼠肝臟
稀釋比:1:1000
產品評價: 我使用CSB-PA731035LA01HU抗體,進行WB)檢測,檢測小鼠肝臟組織樣本,樣本處理情況為60hz研磨儀研磨五分鐘,其結果為附圖,條帶清晰無雜帶,特異性好。
By 羅老師
實驗應用:WB
樣品信息:骨骼組織及骨骼肌原代細胞,大鼠
稀釋比:1:5000
產品評價: 使用CSB-PA731035LA01HU抗體,進行WB)檢測,檢測大鼠骨骼肌組織和骨骼肌原代細胞,稀釋比為1:5000,其結果見附圖,可見條帶清晰無雜帶,位置正確,特異性好。
By 顏老師
相關產品
靶點詳情
-
功能:Hormone induced following exercise or cold exposure that promotes energy expenditure. Induced either in the skeletal muscle after exercise or in adipose tissue following cold exposure and is present in the circulation. Able to stimulate energy expenditure associated with the browning of the white fat depots and improves glucose tolerance. Does not promote an increase in a thermogenic gene program via direct action on adipocytes, but acts by stimulating several immune cell subtypes to enter the adipose tissue and activate their prothermogenic actions. Stimulates an eosinophil-dependent increase in IL4 expression and promotes alternative activation of adipose tissue macrophages, which are required for the increased expression of the thermogenic and anti-inflammatory gene programs in fat. Required for some cold-induced thermogenic responses, suggesting a role in metabolic adaptations to cold temperatures.
-
基因功能參考文獻:
- downregulation of METRNL during adipogenesis and functional induction of increased proliferation in stromal vascular fraction cells with concomitant inhibition of adipocyte differentiation may result in hypertrophic AT accumulation PMID: 27748745
- Overexpression of METRNL inhibited mineralized nodule formation. PMID: 27716826
- Data suggest that there is no correlation between serum Metrnl levels and BMI (body mass index) in humans. PMID: 26307585
- Results show that Subfatin is a novel adipokine regulated by adipogenesis and obesity, with tissue distribution different from its homologue Meteorin PMID: 24393292
-
亞細胞定位:Secreted.
-
蛋白家族:Meteorin family
-
組織特異性:Highly expressed in the skeletal muscle, in subcutaneous adipose tissue, epididymal white adipose tissue depots and heart. Also expressed in brown adipose tissues and kidney.
-
數據庫鏈接:
Most popular with customers
-
-
YWHAB Recombinant Monoclonal Antibody
Applications: ELISA, WB, IHC, IF, FC
Species Reactivity: Human, Mouse, Rat
-
Phospho-YAP1 (S127) Recombinant Monoclonal Antibody
Applications: ELISA, WB, IHC
Species Reactivity: Human
-
-
-
-
-















