METAP2 Antibody
-
中文名稱:METAP2兔多克隆抗體
-
貨號:CSB-PA013716LA01HU
-
規格:¥440
-
圖片:
-
Western Blot
Positive WB detected in: Rat liver tissue
All lanes: METAP2 antibody at 3μg/ml
Secondary
Goat polyclonal to rabbit IgG at 1/50000 dilution
Predicted band size: 53, 52, 51 kDa
Observed band size: 53 kDa -
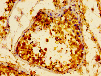
IHC image of CSB-PA013716LA01HU diluted at 1:100 and staining in paraffin-embedded human testis tissue performed on a Leica BondTM system. After dewaxing and hydration, antigen retrieval was mediated by high pressure in a citrate buffer (pH 6.0). Section was blocked with 10% normal goat serum 30min at RT. Then primary antibody (1% BSA) was incubated at 4°C overnight. The primary is detected by a biotinylated secondary antibody and visualized using an HRP conjugated SP system.
-
Immunofluorescence staining of HepG2 cells with CSB-PA013716LA01HU at 1:100, counter-stained with DAPI. The cells were fixed in 4% formaldehyde, permeabilized using 0.2% Triton X-100 and blocked in 10% normal Goat Serum. The cells were then incubated with the antibody overnight at 4°C. The secondary antibody was Alexa Fluor 488-congugated AffiniPure Goat Anti-Rabbit IgG(H+L).
-
-
其他:
產品詳情
-
產品名稱:Rabbit anti-Homo sapiens (Human) METAP2 Polyclonal antibody
-
Uniprot No.:
-
基因名:
-
別名:A930035J23Rik antibody; AI047573 antibody; AL024412 antibody; Amp2 antibody; AU014659; antibody; EIF 2 associated p67 homolog antibody; EIF-2-associated p67 antibody; Initiation factor 2 associated 67 kDa glycoprotein antibody; Initiation factor 2-associated 67 kDa glycoprotein antibody; MAP 2 antibody; MAP2 antibody; MAP2_HUMAN antibody; MetAP 2 antibody; Metap2 antibody; Methionine aminopeptidase 2 antibody; Methionyl aminopeptidase 2 antibody; MGC102452 antibody; MGC127390 antibody; MGC53792 antibody; MNPEP antibody; p67 antibody; p67eIF2 antibody; Peptidase M antibody; Peptidase M2 antibody
-
宿主:Rabbit
-
反應種屬:Human, Rat
-
免疫原:Recombinant Human Methionine aminopeptidase 2 protein (313-449AA)
-
免疫原種屬:Homo sapiens (Human)
-
標記方式:Non-conjugated
本頁面中的產品,METAP2 Antibody (CSB-PA013716LA01HU),的標記方式是Non-conjugated。對于METAP2 Antibody,我們還提供其他標記。見下表:
-
克隆類型:Polyclonal
-
抗體亞型:IgG
-
純化方式:>95%, Protein G purified
-
濃度:It differs from different batches. Please contact us to confirm it.
-
保存緩沖液:Preservative: 0.03% Proclin 300
Constituents: 50% Glycerol, 0.01M PBS, pH 7.4 -
產品提供形式:Liquid
-
應用范圍:ELISA, WB, IHC, IF
-
推薦稀釋比:
Application Recommended Dilution WB 1:500-1:5000 IHC 1:20-1:200 IF 1:50-1:200 -
Protocols:
-
儲存條件:Upon receipt, store at -20°C or -80°C. Avoid repeated freeze.
-
貨期:Basically, we can dispatch the products out in 1-3 working days after receiving your orders. Delivery time maybe differs from different purchasing way or location, please kindly consult your local distributors for specific delivery time.
-
用途:For Research Use Only. Not for use in diagnostic or therapeutic procedures.
相關產品
靶點詳情
-
功能:Cotranslationally removes the N-terminal methionine from nascent proteins. The N-terminal methionine is often cleaved when the second residue in the primary sequence is small and uncharged (Met-Ala-, Cys, Gly, Pro, Ser, Thr, or Val). The catalytic activity of human METAP2 toward Met-Val peptides is consistently two orders of magnitude higher than that of METAP1, suggesting that it is responsible for processing proteins containing N-terminal Met-Val and Met-Thr sequences in vivo.; Protects eukaryotic initiation factor EIF2S1 from translation-inhibiting phosphorylation by inhibitory kinases such as EIF2AK2/PKR and EIF2AK1/HCR. Plays a critical role in the regulation of protein synthesis.
-
基因功能參考文獻:
- MetAP1 and MetAP2 have roles in driving cell selectivity for a potent anti-cancer agent in synergy, by controlling glutathione redox state PMID: 27542228
- Suggest MetAP2 as important regulator of proliferation/apoptosis in non-small cell lung cancers. PMID: 26935506
- Nt-acetylation prevents the excision of the initiator methionine by MetAP2. PMID: 25886145
- Data indicate that methionine aminopeptidase 2 (MetAP2) contains a single disulfide bond that exists in oxidized and reduced states and influences enzyme function. PMID: 24700462
- The activity of unmodified, nitrated and oxidised METAP2 was assessed and it was found that nitration significantly reduced its ability to cleave a chromogenic substrate. Mass spectrometry analysis identified Tyr336 as a nitrated residue in METAP2. PMID: 24041691
- Increased expression of METAP2 is associated with pilocytic astrocytoma. PMID: 23161775
- This study demonstrated a hitherto-undescribed role of MetAP2 in definitive hematopoiesis and a possible link to noncanonical Wnt and ERK signaling. PMID: 21937698
- the substrate specificities of Escherichia coli MetAP1, human MetAP1, and human MetAP2 were systematically profiled PMID: 20521764
- Data indicate that MetAP2 expression and pp60c-src phosphorylation were decreased in NC2213 treated cells. PMID: 19703310
- the functional role of S100A4 in regulating endothelial cell growth and tumor metastasis involves interaction with the N-terminal half of Methionine Aminopeptidase 2. PMID: 11994292
- High expression in germinal center B cells and their neoplastic counterparts. PMID: 12118091
- Divalent metal cofactors are physiologically relevant for activity of this enzyme. PMID: 12718546
- MetAP protein has a role in colorectal adenocarcinoma progression PMID: 15102683
- Expressed in colon cancer cells PMID: 15336565
- MetAP-1 and MetAP-2 have essential functions in the control of mammalian cell proliferation PMID: 15962312
- A comparison of the structual differences between Type I and Type II methionine aminopeptidases. PMID: 16274222
- Data suggest that methionine aminopeptidase 2 plays a role in the proliferation of fibroblasts and myofibroblasts in fibrotic lung diseases and may serve as a novel pharmacologic target in idiopathic pulmonary fibrosis. PMID: 17446530
- MetAP2 plays an important role in tumor cell growth and may contribute to tumorigenesis PMID: 18264137
- Discovery, identification, and characterization of candidate pharmacodynamic markers of METAP2 inhibition are reported. PMID: 18828628
- Using bovine cell extract, fumagillin was found to be bound by methionine aminopeptidase (MetAP-2). PMID: 9177176
顯示更多
收起更多
-
亞細胞定位:Cytoplasm. Note=About 30% of expressed METAP2 associates with polysomes.
-
蛋白家族:Peptidase M24A family, Methionine aminopeptidase eukaryotic type 2 subfamily
-
數據庫鏈接:
Most popular with customers
-
YWHAB Recombinant Monoclonal Antibody
Applications: ELISA, WB, IHC, IF, FC
Species Reactivity: Human, Mouse, Rat
-
Phospho-YAP1 (S127) Recombinant Monoclonal Antibody
Applications: ELISA, WB, IHC
Species Reactivity: Human
-
-
-
-
-
-















