-
中文名稱:MERTK兔多克隆抗體
-
貨號:CSB-PA621519ESR2HU
-
規格:¥440
-
圖片:
-
Western blot
All lanes: MERTK antibody at 10μg/ml
Lane 1: Mouse gonad tissue
Lane 2: Mouse lung tissue
Lane 3: Mouse kidney tissue
Secondary
Goat polyclonal to rabbit IgG at 1/10000 dilution
Predicted band size: 110 kDa
Observed band size: 110 kDa -
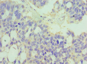
Immunohistochemistry of paraffin-embedded human endometrial cancer using CSB-PA621519ESR2HU at dilution of 1:100
-
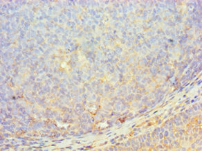
Immunohistochemistry of paraffin-embedded human tonsil tissue using CSB-PA621519ESR2HU at dilution of 1:100
-
-
其他:
產品詳情
-
產品名稱:Rabbit anti-Homo sapiens (Human) MERTK Polyclonal antibody
-
Uniprot No.:
-
基因名:
-
別名:c MER antibody; c mer proto oncogene tyrosine kinase antibody; c-mer antibody; cMER antibody; cmer protooncogene tyrosine kinase antibody; Eyk antibody; MER antibody; MER receptor tyrosine kinase antibody; MERK antibody; MERPEN antibody; Mertk antibody; MERTK c-mer proto-oncogene tyrosine kinase antibody; MERTK_HUMAN antibody; MGC133349 antibody; nmf12 antibody; Nyk antibody; Proto oncogene tyrosine protein kinase MER antibody; Proto oncogene tyrosine protein kinase MER precursor antibody; Proto-oncogene c-Mer antibody; Receptor tyrosine kinase MerTK antibody; RP38 antibody; STK kinase antibody; Tyrosine-protein kinase Mer antibody
-
宿主:Rabbit
-
反應種屬:Human, Mouse
-
免疫原:Recombinant Human Tyrosine-protein kinase Mer protein (840-999AA)
-
免疫原種屬:Homo sapiens (Human)
-
標記方式:Non-conjugated
-
克隆類型:Polyclonal
-
抗體亞型:IgG
-
純化方式:Antigen Affinity Purified
-
濃度:It differs from different batches. Please contact us to confirm it.
-
保存緩沖液:PBS with 0.02% sodium azide, 50% glycerol, pH7.3.
-
產品提供形式:Liquid
-
應用范圍:ELISA, WB, IHC
-
推薦稀釋比:
Application Recommended Dilution WB 1:200-1:1000 IHC 1:20-1:200 -
Protocols:
-
儲存條件:Upon receipt, store at -20°C or -80°C. Avoid repeated freeze.
-
貨期:Basically, we can dispatch the products out in 1-3 working days after receiving your orders. Delivery time maybe differs from different purchasing way or location, please kindly consult your local distributors for specific delivery time.
-
用途:For Research Use Only. Not for use in diagnostic or therapeutic procedures.
引用文獻
- STAT1/SOCS1/3 Are Involved in the Inflammation-Regulating Effect of GAS6/AXL in Periodontal Ligament Cells Induced by Porphyromonas gingivalis Lipopolysaccharide In Vitro Shengnan Zhang,Journal of Immunology Research,2021
相關產品
靶點詳情
-
功能:Receptor tyrosine kinase that transduces signals from the extracellular matrix into the cytoplasm by binding to several ligands including LGALS3, TUB, TULP1 or GAS6. Regulates many physiological processes including cell survival, migration, differentiation, and phagocytosis of apoptotic cells (efferocytosis). Ligand binding at the cell surface induces autophosphorylation of MERTK on its intracellular domain that provides docking sites for downstream signaling molecules. Following activation by ligand, interacts with GRB2 or PLCG2 and induces phosphorylation of MAPK1, MAPK2, FAK/PTK2 or RAC1. MERTK signaling plays a role in various processes such as macrophage clearance of apoptotic cells, platelet aggregation, cytoskeleton reorganization and engulfment. Functions in the retinal pigment epithelium (RPE) as a regulator of rod outer segments fragments phagocytosis. Plays also an important role in inhibition of Toll-like receptors (TLRs)-mediated innate immune response by activating STAT1, which selectively induces production of suppressors of cytokine signaling SOCS1 and SOCS3.
-
基因功能參考文獻:
- The targeted NGS strategy employed provides an efficient tool for RP pathogenic gene detection. This study identified a new autosomal recessive mutation in the RP-related gene MERTK, which expands the spectrum of RP disease-causing mutations PMID: 29437494
- We observed that the frequency for the wild-type haplotype was higher in the control group, compared to that in the group of patients with COPD, in the subgroup analysis of current smokers, although the difference was not statistically significant PMID: 29359540
- Study describes a novel cellular pathway involved in diabetic efferocytosis, wherein diabetes-induced decrease in miR-126 expression results in upregulation of ADAM9 expression that in-turn leads proteolytic cleavage of MerTK and formation of inactive soluble Mer. Decrease in MerTK phosphorylation leads to reduced downstream cytoskeletal signaling required for engulfment and thus decreases efferocytosis. PMID: 27827458
- Phosphatidylserine mediated hyperactivation of Mertk.MERTK promotes epithelial cell efferocytosis in a tyrosine kinase-dependent manner.MERTK role in AKT-dependent drug resistance. PMID: 28184013
- STK 11 testing can confirm those at risk of Peutz-Jeghers syndrome, who require lifelong surveillance, and possibly release those with a simple dermatosis, such as Laugier-Hunziker syndrome, from invasive and thus potentially harmful surveillance. PMID: 26768676
- The broad-spectrum activity mediated by UNC2025 in leukemia patient samples and xenograft models, alone or in combination with cytotoxic chemotherapy, supports continued development of MERTK inhibitors for treatment of leukemia PMID: 27649555
- The expression of MerTK and AxlTK varied according to the deposition of immunoglobulin and complements on glomeruli. Both MerTK and AxlTK expressions were increased on glomeruli and varied according to pathological classifications. PMID: 28127639
- Study identified the Gas6/TAM receptor pathway with Tyro3 and Mer as novel targets in colorectal cancer. PMID: 27486820
- MERTK is frequently overexpressed in head and neck squamous cell carcinoma and plays an important role in tumor cell motility. PMID: 27081701
- these data suggest that endogenous GAS6 and Mer receptor signaling contribute to the establishment of prostate cancer stem cells in the bone marrow microenvironment PMID: 27028863
- Sequence analysis revealed that the proband was a compound heterozygote with two independent mutations in MERTK, a novel nonsense mutation (c.2179C > T) and a previously reported missense variant (c.2530C > T). The proband's affected brother also had both mutations PMID: 28462455
- this study shows that viral infection sensitizes fetal membranes by MERTK Inhibition PMID: 28916522
- Knockdown of MERTK by shRNA in prostate cancer cells induced a decreased ratio of P-Erk1/2 to P-p38, increased expression of p27, NR2F1, SOX2, and NANOG, induced higher levels of histone H3K9me3 and H3K27me3, and induced a G1/G0 arrest, all of which are associated with dormancy. PMID: 27753136
- MERTK G > A variant affects liver disease, nutrient oxidation and glucose metabolism in NAFLD. PMID: 28334911
- Monocyte-induced MerTK cleavage on proreparative MHCII(LO) cardiac macrophages is a novel contributor to myocardial ischemic reperfusion injury. PMID: 28851810
- Patients with macroalbuminuria diabetes had higher circulating levels of sMer and more urinary soluble Tyro3 and sMer than normoalbuminuric diabetics. Increased clearance of sTyro3 and sMer was associated with loss of tubular Tyro3 and Mer expression in diabetic nephropathy tissue. During in vitro diabetes, human kidney cells had down-regulation of Tyro3 and Mer mRNA and increased shedding of sTyro3 and sMer. PMID: 28668213
- evidence that proteolytic cleavage of the macrophage efferocytosis receptor c-Mer tyrosine kinase (MerTK) reduces efferocytosis and promotes plaque necrosis and defective resolution. PMID: 28067670
- Small molecule and antibody inhibitors of AXL and MER have recently been described, and some of these have already entered clinical trials. The optimal design of treatment strategies to maximize the clinical benefit of these AXL and MER targeting agents are discussed in relation to the different cancer types and the types of resistance encountered. PMID: 28251492
- A 48 bp insertion sequence was buried within the breakpoint; 18 bps shared homology to MIR4435-2HG and LINC00152, and 30 bp mapped to MERTK. The deletion cosegregated with arRP in the family. PMID: 28324114
- In this paper, we review the biology of the Gas6/Tyro3, Axl, and MerTK(collectively named TAM system)and the current evidence supporting its potential role in the pathogenesis of multiple sclerosis . PMID: 27801848
- The rs4374383 AA genotype, associated with lower intrahepatic expression of MERTK, is protective against F2-F4 fibrosis in patients with non-alcoholic fatty liver disease (NAFLD). PMID: 26596542
- We report a novel missense mutation (c.3G>A, p.0?) in the MERTK gene that causes severe vision impairment in a patient. PMID: 27122965
- Utilizing an ex vivo co-cultivation approach to model key cellular and molecular events found in vivo during infarction, cardiomyocyte phagocytosis was found to be inefficient, in part due to myocyte-induced shedding of macrophage MERTK PMID: 26316303
- Upon differentiation of these iPSC towards RPE, patient-specific RPE cells exhibited defective phagocytosis, a characteristic phenotype of MERTK deficiency observed in human patients and animal models PMID: 26263531
- The current study demonstrates the contribution of the TAM receptor MerTK to the phagocytosis of myelin by human adult microglia and monocyte-derived macrophages. PMID: 26962228
- One of the associated variants was also found to be linked with increased expression of MERTK in monocytes and higher expression of MERTK was associated with either increased or decreased risk of developing MS, dependent upon HLA-DRB1*15:01 status. PMID: 26990204
- Combined Mertk (and Mfge8) deficiency in macrophages blunted VEGFA release from infarcted hearts. PMID: 26819373
- Studies indicate that c-Mer receptor tyrosine kinase MERTK mutations cause retinal degenerations. PMID: 26427420
- Data indicate that AAV2-VMD2-c-mer proto-oncogene protein (hMERTK) provided up to 6.5 months photoreceptor rescue in the RCS rat, and also had a major protective effect in Mertk-null mice. PMID: 26427450
- Data show that activated AMP-activated protein kinase (AMPK) limits retinal pigment epithelial cells (RPE) phagocytic activity by abolishing retinal photoreceptor cell outer segment (POS)-induced activation of c-mer proto-oncogene tyrosine kinase (MerTK). PMID: 26427488
- The mRNA expression levels of Tyro-3, Axl were decreased in pSS patients. When considering the plasma level, increased levels of soluble Mer was observed with statistically significant difference. PMID: 25881761
- Mer enhances malignant phenotype and pharmacological inhibition of Mer overcomes resistance of non-small cell lung cancer to EGFR-targeted agents. PMID: 25826078
- results identify Mer as a receptor uniquely capable of both tethering ACs to the macrophage surface and driving their subsequent internalization. PMID: 25695599
- UNC1666 is a novel potent small molecule tyrosine kinase inhibitor that decreases oncogenic signaling and myeloblast survival by dual Mer/Flt3 inhibition. PMID: 25762638
- Significantly increased levels of sMer, sTyro3 and sAxl may be important factors contributing to the deficit in phagocytosis ability in systemic lupus erythematosus . PMID: 25878564
- MERTK on DCs controls T cell activation and expansion through the competition for PROS1 interaction with MERTK in the T cells. MERTK is a potent suppressor of T cell response. PMID: 25624460
- Inhibition of the Gas6 receptor Mer or therapeutic targeting of Gas6 by warfarin is a promising strategy for the treatment of multiple myeloma. PMID: 25102945
- Mer expression correlates with CNS positivity upon initial diagnosis in t(1;19)-positive pediatric acute lymphoblastic leukemia patients. PMID: 25428221
- Patients with ACLF have increased numbers of immunoregulatory monocytes and macrophages that express MERTK and suppress the innate immune response to microbes. The number of these cells correlates with disease severity and the inflammatory response. PMID: 25479139
- The key role of the MERTK could be demonstrated in HMDM engulfing dying cells using gene silencing as well as blocking antibodies. Similar pathways were found upregulated in living ARPE-19 engulfing anoikic ARPE-19 cells. PMID: 25450174
- These studies demonstrate that, despite their similarity, TYRO3, AXL, and MER are likely to perform distinct functions in both immunoregulation and the recognition and removal of apoptotic cells PMID: 25074926
- These data collectively identify MERTK as a significant link between cancer progression and efferocytosis, and a potentially unrealized tumor-promoting event when MERTK is overexpressed in epithelial cells. PMID: 25074939
- Both mMer and sMer levels significantly increased in SLE and positively correlated with disease activity and severity. The upregulation of MerTK expression may serve as a biomarker of the disease activity and severity of SLE. PMID: 24741600
- The MER receptor pathway promotes wound repair in macrophages and epithelial cell growth. PMID: 24939420
- MerTK expression in circulating innate immune cells is increased in patients with septic shock in comparison with healthy volunteers and trauma patients and its persistent overexpression after septic shock is associated with adverse outcome. PMID: 23835724
- MERTK has a role in regulating melanoma cell migration and survival and differentially regulates cell behavior relative to AXL PMID: 23617806
- data suggest a role for Mer in acute myeloid leukemogenesis and indicate that targeted inhibition of Mer may be an effective therapeutic strategy in pediatric and adult AML PMID: 23474756
- [review] Receptor tyrosine kinases Tyro-3, Axl and Mer, collectively designated as TAM, are involved in the clearance of apoptotic cells. PMID: 23662598
- These results indicate that Mer and Axl have complementary and overlapping roles in Non-small cell lung cancer PMID: 22890323
- MERTK signaling in the retinal pigment epithelium involves a cohort of SH2-domain proteins with the potential to regulate both cytoskeletal rearrangement and membrane movement. PMID: 23390493
顯示更多
收起更多
-
相關疾病:Retinitis pigmentosa 38 (RP38)
-
亞細胞定位:Membrane; Single-pass type I membrane protein.
-
蛋白家族:Protein kinase superfamily, Tyr protein kinase family, AXL/UFO subfamily
-
組織特異性:Not expressed in normal B- and T-lymphocytes but is expressed in numerous neoplastic B- and T-cell lines. Highly expressed in testis, ovary, prostate, lung, and kidney, with lower expression in spleen, small intestine, colon, and liver.
-
數據庫鏈接:
Most popular with customers
-
-
YWHAB Recombinant Monoclonal Antibody
Applications: ELISA, WB, IHC, IF, FC
Species Reactivity: Human, Mouse, Rat
-
Phospho-YAP1 (S127) Recombinant Monoclonal Antibody
Applications: ELISA, WB, IHC
Species Reactivity: Human
-
-
-
-
-















