MEMO1 Antibody
-
中文名稱:MEMO1兔多克隆抗體
-
貨號:CSB-PA896500ESR1HU
-
規格:¥440
-
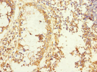
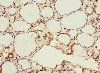
圖片:
-
其他:
產品詳情
-
產品名稱:Rabbit anti-Homo sapiens (Human) MEMO1 Polyclonal antibody
-
Uniprot No.:
-
基因名:MEMO1
-
別名:C21orf19-like protein antibody; C2orf4 antibody; CGI 27 antibody; DKFZp434I0135 antibody; FLJ25031 antibody; HCV NS5A-transactivated protein 7 antibody; Hepatitis C virus NS5A-transactivated protein 7 antibody; Mediator of cell motility 1 antibody; Mediator of ErbB2-driven cell motility 1 antibody; MEMO antibody; Memo-1 antibody; memo1 antibody; MEMO1_HUMAN antibody; NS5ATP7 antibody; Protein MEMO1 antibody
-
宿主:Rabbit
-
反應種屬:Human
-
免疫原:Recombinant Human Protein MEMO1 protein (1-297AA)
-
免疫原種屬:Homo sapiens (Human)
-
標記方式:Non-conjugated
-
克隆類型:Polyclonal
-
抗體亞型:IgG
-
純化方式:Antigen Affinity Purified
-
濃度:It differs from different batches. Please contact us to confirm it.
-
保存緩沖液:PBS with 0.02% sodium azide, 50% glycerol, pH7.3.
-
產品提供形式:Liquid
-
應用范圍:ELISA, IHC
-
推薦稀釋比:
Application Recommended Dilution IHC 1:20-1:200 -
Protocols:
-
儲存條件:Upon receipt, store at -20°C or -80°C. Avoid repeated freeze.
-
貨期:Basically, we can dispatch the products out in 1-3 working days after receiving your orders. Delivery time maybe differs from different purchasing way or location, please kindly consult your local distributors for specific delivery time.
-
用途:For Research Use Only. Not for use in diagnostic or therapeutic procedures.
相關產品
靶點詳情
-
功能:May control cell migration by relaying extracellular chemotactic signals to the microtubule cytoskeleton. Mediator of ERBB2 signaling. The MEMO1-RHOA-DIAPH1 signaling pathway plays an important role in ERBB2-dependent stabilization of microtubules at the cell cortex. It controls the localization of APC and CLASP2 to the cell membrane, via the regulation of GSK3B activity. In turn, membrane-bound APC allows the localization of the MACF1 to the cell membrane, which is required for microtubule capture and stabilization. Is required for breast carcinoma cell migration.
-
基因功能參考文獻:
- Study identify Memo as an important key mediator between the heregulin and estrogen signaling pathways, which affects both breast cancer cell migration and proliferation. PMID: 27472465
- HRG/HER2/HER3 signaling promotes AhR-mediated Memo-1 expression and migration in colorectal cancer PMID: 27941874
- Biochemical assays revealed that Memo is a copper-dependent redox enzyme that promoted a more oxidized intracellular milieu and stimulated the production of reactive oxygen species (ROS) in cellular structures involved in migration. PMID: 24917593
- Mediator of ERBB2-driven cell motility (MEMO) promotes extranuclear estrogen receptor signaling involving the growth factor receptors IGF1R and ERBB2. PMID: 23861392
- MEMO1 is involved in breast carcinogenesis via regulating insulin-like growth factor-I receptor-dependent signaling events. PMID: 22824790
- data suggest that Memo controls cell migration by relaying extracellular chemotactic signals to the microtubule cytoskeleton [Memo] PMID: 15156151
- 2.1A crystal structure and homology to class III nonheme iron-dependent dioxygenases PMID: 18045866
- Memo-RhoA-mDia1 signaling coordinates the organization of the lamellipodial actin network, adhesion site formation, and microtubule outgrowth within the cell leading edge to sustain cell motility. PMID: 18955552
- Memo was detected in complexes with cofilin, ErbB2 and PLCgamma1. PMID: 19223396
顯示更多
收起更多
-
蛋白家族:MEMO1 family
-
數據庫鏈接:
Most popular with customers
-
-
YWHAB Recombinant Monoclonal Antibody
Applications: ELISA, WB, IHC, IF, FC
Species Reactivity: Human, Mouse, Rat
-
Phospho-YAP1 (S127) Recombinant Monoclonal Antibody
Applications: ELISA, WB, IHC
Species Reactivity: Human
-
-
-
-
-















