MEGF8 Antibody
-
中文名稱:MEGF8兔多克隆抗體
-
貨號:CSB-PA773606LA01HU
-
規格:¥440
-
圖片:
-
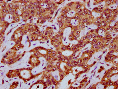
IHC image of CSB-PA773606LA01HU diluted at 1:200 and staining in paraffin-embedded human liver cancer performed on a Leica BondTM system. After dewaxing and hydration, antigen retrieval was mediated by high pressure in a citrate buffer (pH 6.0). Section was blocked with 10% normal goat serum 30min at RT. Then primary antibody (1% BSA) was incubated at 4°C overnight. The primary is detected by a biotinylated secondary antibody and visualized using an HRP conjugated SP system.
-
Immunofluorescence staining of HepG2 cells with CSB-PA773606LA01HU at 1:66, counter-stained with DAPI. The cells were fixed in 4% formaldehyde, permeabilized using 0.2% Triton X-100 and blocked in 10% normal Goat Serum. The cells were then incubated with the antibody overnight at 4°C. The secondary antibody was Alexa Fluor 488-congugated AffiniPure Goat Anti-Rabbit IgG(H+L).
-
-
其他:
產品詳情
-
產品名稱:Rabbit anti-Homo sapiens (Human) MEGF8 Polyclonal antibody
-
Uniprot No.:
-
基因名:MEGF8
-
別名:MEGF8 antibody; C19orf49 antibody; EGFL4 antibody; KIAA0817 antibody; Multiple epidermal growth factor-like domains protein 8 antibody; Multiple EGF-like domains protein 8 antibody; Epidermal growth factor-like protein 4 antibody; EGF-like protein 4 antibody
-
宿主:Rabbit
-
反應種屬:Human
-
免疫原:Recombinant Human Multiple epidermal growth factor-like domains protein 8 protein (495-663AA)
-
免疫原種屬:Homo sapiens (Human)
-
標記方式:Non-conjugated
本頁面中的產品,MEGF8 Antibody (CSB-PA773606LA01HU),的標記方式是Non-conjugated。對于MEGF8 Antibody,我們還提供其他標記。見下表:
-
克隆類型:Polyclonal
-
抗體亞型:IgG
-
純化方式:>95%, Protein G purified
-
濃度:It differs from different batches. Please contact us to confirm it.
-
保存緩沖液:Preservative: 0.03% Proclin 300
Constituents: 50% Glycerol, 0.01M PBS, pH 7.4 -
產品提供形式:Liquid
-
應用范圍:ELISA, IHC, IF
-
推薦稀釋比:
Application Recommended Dilution IHC 1:200-1:500 IF 1:50-1:200 -
Protocols:
-
儲存條件:Upon receipt, store at -20°C or -80°C. Avoid repeated freeze.
-
貨期:Basically, we can dispatch the products out in 1-3 working days after receiving your orders. Delivery time maybe differs from different purchasing way or location, please kindly consult your local distributors for specific delivery time.
-
用途:For Research Use Only. Not for use in diagnostic or therapeutic procedures.
相關產品
靶點詳情
-
功能:Acts as a negative regulator of hedgehog signaling.
-
基因功能參考文獻:
- mutations in MEGF8 cause a Carpenter syndrome subtype frequently associated with defective left-right patterning, probably through perturbation of signaling by hedgehog and nodal family members. PMID: 23063620
-
相關疾病:Carpenter syndrome 2 (CRPT2)
-
亞細胞定位:Membrane; Single-pass type I membrane protein.
-
數據庫鏈接:
Most popular with customers
-
-
YWHAB Recombinant Monoclonal Antibody
Applications: ELISA, WB, IHC, IF, FC
Species Reactivity: Human, Mouse, Rat
-
Phospho-YAP1 (S127) Recombinant Monoclonal Antibody
Applications: ELISA, WB, IHC
Species Reactivity: Human
-
-
-
-
-















