MEGF10 Antibody
-
中文名稱:MEGF10兔多克隆抗體
-
貨號:CSB-PA822242LA01HU
-
規格:¥440
-
圖片:
-
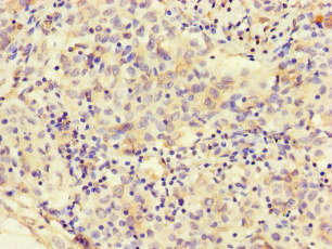
Immunohistochemistry of paraffin-embedded human lung cancer using CSB-PA822242LA01HU at dilution of 1:100
-
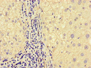
Immunohistochemistry of paraffin-embedded human liver cancer using CSB-PA822242LA01HU at dilution of 1:100
-
Immunofluorescent analysis of HepG2 cells using CSB-PA822242LA01HU at dilution of 1:100 and Alexa Fluor 488-congugated AffiniPure Goat Anti-Rabbit IgG(H+L)
-
-
其他:
產品詳情
-
產品名稱:Rabbit anti-Homo sapiens (Human) MEGF10 Polyclonal antibody
-
Uniprot No.:
-
基因名:MEGF10
-
別名:MEGF10 antibody; KIAA1780Multiple epidermal growth factor-like domains protein 10 antibody; Multiple EGF-like domains protein 10 antibody
-
宿主:Rabbit
-
反應種屬:Human
-
免疫原:Recombinant Human Multiple epidermal growth factor-like domains protein 10 protein (123-314AA)
-
免疫原種屬:Homo sapiens (Human)
-
標記方式:Non-conjugated
本頁面中的產品,MEGF10 Antibody (CSB-PA822242LA01HU),的標記方式是Non-conjugated。對于MEGF10 Antibody,我們還提供其他標記。見下表:
-
克隆類型:Polyclonal
-
抗體亞型:IgG
-
純化方式:>95%, Protein G purified
-
濃度:It differs from different batches. Please contact us to confirm it.
-
保存緩沖液:Preservative: 0.03% Proclin 300
Constituents: 50% Glycerol, 0.01M PBS, PH 7.4 -
產品提供形式:Liquid
-
應用范圍:ELISA, IHC, IF
-
推薦稀釋比:
Application Recommended Dilution IHC 1:20-1:200 IF 1:50-1:200 -
Protocols:
-
儲存條件:Upon receipt, store at -20°C or -80°C. Avoid repeated freeze.
-
貨期:Basically, we can dispatch the products out in 1-3 working days after receiving your orders. Delivery time maybe differs from different purchasing way or location, please kindly consult your local distributors for specific delivery time.
-
用途:For Research Use Only. Not for use in diagnostic or therapeutic procedures.
相關產品
靶點詳情
-
功能:Membrane receptor involved in phagocytosis by macrophages and astrocytes of apoptotic cells. Receptor for C1q, an eat-me signal, that binds phosphatidylserine expressed on the surface of apoptotic cells. Cooperates with ABCA1 within the process of engulfment. Promotes the formation of large intracellular vacuoles and may be responsible for the uptake of amyloid-beta peptides. Necessary for astrocyte-dependent apoptotic neuron clearance in the developing cerebellum. Plays role in muscle cell proliferation, adhesion and motility. Is also an essential factor in the regulation of myogenesis. Controls the balance between skeletal muscle satellite cells proliferation and differentiation through regulation of the notch signaling pathway. May also function in the mosaic spacing of specific neuron subtypes in the retina through homotypic retinal neuron repulsion. Mosaics provide a mechanism to distribute each cell type evenly across the retina, ensuring that all parts of the visual field have access to a full set of processing elements.
-
基因功能參考文獻:
- Results suggested that methylation level and mRNA expression of MEGF10 in glioma were not only correlated with IDH mutation but also associated with clinical outcome of patients. PMID: 29887919
- Concentrating on hypermethylated genes to identify candidate tumor suppressor loci, the study found the cell engulfment and adhesion factor gene MEGF10 to be epigenetically repressed by DNA hypermethylation or by H3K27/K9 methylation in neuroblastoma cell lines. PMID: 27862318
- MEGF10 mutations can cause myopathy with adult-onset respiratory insufficiency PMID: 26802438
- results indicate that myogenin is a positive regulator in transcriptional regulation of MEGF10 in skeletal muscle PMID: 25044114
- Megf10 is required for preserving the undifferentiated, proliferative potential of satellite cells, myogenic precursors that regenerate skeletal muscle in response to injury or disease. PMID: 22371254
- Mutations in MEGF10 cause a recessive congenital myopathy with minicores and suggest satellite cell dysfunction as the pathogenic mechanism PMID: 22371254
- Mutations in MEGF10, a regulator of satellite cell myogenesis, cause early onset myopathy, areflexia, respiratory distress and dysphagia (EMARDD) PMID: 22101682
- The results of this study suggested that no association between schizophrenia and rs27388 of the MEGF10 gene in Chinese case-control sample. PMID: 20813413
- MEGF10 is involved in the uptake of amyloid-beta peptide (Abeta42) in the brain. PMID: 20828568
- in a system of forced expression by transfection, MEGF10 function can be modulated by the ATP binding cassette transporter ABCA1, ortholog to CED-7 PMID: 17205124
- Human MEGF10 is an ortholog of Ced1. PMID: 17498693
- An interaction between MEGF10 and clathrin assembly protein complex 2 medium chain (AP50), a component of clathrin-coated pits was identified. PMID: 17643423
- In expression studies, MEGF10 had higher expression levels in the affected than the unaffected (p = .015). Schizophrenia patients with a 1/1 genotype at rs27388 had higher expressions than those patients with 1/2 and 2/2 genotypes (p = .0008). PMID: 18179784
顯示更多
收起更多
-
相關疾?。?/div>Myopathy, early-onset, areflexia, respiratory distress, and dysphagia (EMARDD)亞細胞定位:Cell membrane; Single-pass type I membrane protein. Cell projection, phagocytic cup.蛋白家族:MEGF family數據庫鏈接:
Most popular with customers
-
-
YWHAB Recombinant Monoclonal Antibody
Applications: ELISA, WB, IHC, IF, FC
Species Reactivity: Human, Mouse, Rat
-
Phospho-YAP1 (S127) Recombinant Monoclonal Antibody
Applications: ELISA, WB, IHC
Species Reactivity: Human
-
-
-
-
-















