MEFV Antibody
-
中文名稱:MEFV兔多克隆抗體
-
貨號:CSB-PA013675LA01HU
-
規格:¥440
-
圖片:
-
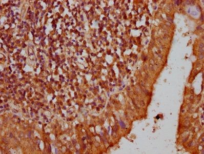
IHC image of CSB-PA013675LA01HU diluted at 1:200 and staining in paraffin-embedded human lung tissue performed on a Leica BondTM system. After dewaxing and hydration, antigen retrieval was mediated by high pressure in a citrate buffer (pH 6.0). Section was blocked with 10% normal goat serum 30min at RT. Then primary antibody (1% BSA) was incubated at 4°C overnight. The primary is detected by a biotinylated secondary antibody and visualized using an HRP conjugated SP system.
-
-
其他:
產品詳情
-
產品名稱:Rabbit anti-Homo sapiens (Human) MEFV Polyclonal antibody
-
Uniprot No.:
-
基因名:
-
別名:FMF antibody; Marenostrin antibody; Mediterranean fever antibody; Mediterranean fever protein antibody; MEF antibody; Mefv antibody; MEFV_HUMAN antibody; Pyrin antibody; TRIM20 antibody
-
宿主:Rabbit
-
反應種屬:Human
-
免疫原:Recombinant Human Pyrin protein (268-374AA)
-
免疫原種屬:Homo sapiens (Human)
-
標記方式:Non-conjugated
本頁面中的產品,MEFV Antibody (CSB-PA013675LA01HU),的標記方式是Non-conjugated。對于MEFV Antibody,我們還提供其他標記。見下表:
-
克隆類型:Polyclonal
-
抗體亞型:IgG
-
純化方式:>95%, Protein G purified
-
濃度:It differs from different batches. Please contact us to confirm it.
-
保存緩沖液:Preservative: 0.03% Proclin 300
Constituents: 50% Glycerol, 0.01M PBS, pH 7.4 -
產品提供形式:Liquid
-
應用范圍:ELISA, IHC
-
推薦稀釋比:
Application Recommended Dilution IHC 1:200-1:500 -
Protocols:
-
儲存條件:Upon receipt, store at -20°C or -80°C. Avoid repeated freeze.
-
貨期:Basically, we can dispatch the products out in 1-3 working days after receiving your orders. Delivery time maybe differs from different purchasing way or location, please kindly consult your local distributors for specific delivery time.
-
用途:For Research Use Only. Not for use in diagnostic or therapeutic procedures.
相關產品
靶點詳情
-
功能:Involved in the regulation of innate immunity and the inflammatory response in response to IFNG/IFN-gamma. Organizes autophagic machinery by serving as a platform for the assembly of ULK1, Beclin 1/BECN1, ATG16L1, and ATG8 family members and recognizes specific autophagy targets, thus coordinating target recognition with assembly of the autophagic apparatus and initiation of autophagy. Acts as an autophagy receptor for the degradation of several inflammasome components, including CASP1, NLRP1 and NLRP3, hence preventing excessive IL1B- and IL18-mediated inflammation. However, it can also have a positive effect in the inflammatory pathway, acting as an innate immune sensor that triggers PYCARD/ASC specks formation, caspase-1 activation, and IL1B and IL18 production. It is required for PSTPIP1-induced PYCARD/ASC oligomerization and inflammasome formation. Recruits PSTPIP1 to inflammasomes, and is required for PSTPIP1 oligomerization.
-
基因功能參考文獻:
- A novel single base mutation in the coding region of the MEFV gene, named K447M (p.Lys447Met, c.1340 A>T) heterozygote resulting in mutated Pyrin/Marenostrin protein was detected. PMID: 30226974
- Propose that a variant allele of the MEFV gene may be responsible for the severity of gout. PMID: 27125729
- its single-nucleotide variant is genetic predictor of tumor reduction in glucocorticoid-treated patients with chronic myelomonocytic leukemia. PMID: 29600428
- Carrying the pro-inflammatory M694V mutation in MEFV can be a potential cause of early coronary heart disease. PMID: 24702757
- R202Q/M694V gene mutations related to chronic periodontitis PMID: 28590056
- Carriage of mutations in the MEFV gene is not associated with development of Postpericardiotomy Syndrome; however, it may affect Postpericardiotomy Syndrome severity. PMID: 28971640
- One third of our childhood MS patients had a heterozygous mutation in the TNFRSF1A and/or MEFV gene. This proportion by far exceeds the number of mutations expected and was higher than in adult MS patients, suggesting that these mutations might contribute to the pathogenesis of childhood MS. PMID: 28927886
- The frequency of MEFV gene mutation was detected at a high rate of 35.9% in patients with biopsy-proven primary glomerulonephritis PMID: 28573371
- Sequencing analysis found exon 2 mutations of the MEFV gene (c.329T>C [L110P], and c.442G>C [E148Q]). INTERVENTION: Her arthritis was well-controlled with colchicine treatment, but fever, and rashes were not. OUTCOMES: She eventually received tocilizumab, in addition to colchicine, and her symptoms completely disappeared. LESSONS: MEFV mutations may exist in AOSD patients, and treatment with colchicine might PMID: 29642170
- Pyrin inflammasome activation persisted upon microtubule disassembly in PBMCs of FMF patients but not in cells of patients afflicted with other autoinflammatory diseases. PMID: 27911804
- A novel missense MEFV variant R204H was identified in Iranian familial Mediterranean fever patients. M694V is the most common MEFV mutation in Iran. PMID: 28943464
- This article summarizes the broad spectrum of clinical presentations associated with MEFV mutations and analyzes the effect of the gene dose on the phenotypical expression. Furthermore, the impact of the molecular genetic analysis on the diagnostics of a patient and on the individualized management of the disease is discussed. PMID: 28154935
- Case Report: autoinflammatory syndrome with relapsing aseptic neutrophilic meningitis and chronic myelitis associated with MEFV/TNFRSF1A mutations. PMID: 28134085
- The mutations of p.R42W, p.L110P, p.E148Q, p.R202Q, p.E230K, p.369PS, and p.R408Q, which have been reported in many Familial Mediterranean Fever patients, had significant allele frequency differences with the disease-causing mutations. PMID: 29178647
- Contrary to the NLRP3 mutations described in cryopyrin-associated periodic syndrome, FMF-associated MEFV mutations do not lead to a constitutive activation of Pyrin. Rather, FMF-associated mutations are hypermorphic mutations that specifically decrease the activation threshold of the Pyrin inflammasome without affecting other canonical inflammasomes. PMID: 29040788
- There was a statistically significant different response to surgical treatment between patients with periodic fever, aphthosis, pharyngitis, and adenitis (PFAPA) Syndrome with and without coexistence of Familial Mediterranean Fever features and MEFV mutations. PMID: 29031862
- The study indicates that the MEFV M694V mutation may contribute to the pathogenesis of ankylosing spondylitis. (Meta-analysis) PMID: 28800602
- The authors evaluated the distribution of MEFV mutations in a Turkish population. Their findings confirm the correlation between M694V and FMF associated amyloidosis found in earlier studies. PMID: 27225717
- we found a significant association between genotypes of variants in rs3743930 with increased Henoch-Schonlein purpura risk, after covariates adjustment. The carriers of homozygous mutant of rs3743930 polymorphisms revealed increased HSP risk than those with wild-type homozygotes. PMID: 27796522
- MEFV gene variations in exons 2, 3, 5 and 10 associate with major clinical symptoms of familial Mediterranean fever. Arthritis was high in K695R heterozygous genotype. PMID: 28483595
- These results provide a novel mechanism underlying the anti-inflammatory effects of carbon monoxide, involving the IL-10-dependent upregulation of pyrin expression. PMID: 26435068
- High carriage rates of MEFV gene mutations in gouty arthritis suggest that it may play an important role in the pathogenesis of the disease and predisposition to the disease. PMID: 27587294
- The p.M694del variant is associated with autosomal dominantly inherited FMF in Northern European Caucasians. PMID: 27150194
- Inflammatory bowel disease patients, in populations with a high background carrier rate of MEFV variants, should be screened for MEFV gene mutations, especially those diagnosed as indeterminate colitis. PMID: 25292286
- This study showed that the medium- to long-term results of the kidney donors who are carriers of the MEFV gene seem to be safe. PMID: 28340799
- this paper show that the binding of 14-3-3 and PKN proteins to familial Mediterranean fever -associated mutant pyrin is substantially decreased PMID: 27270401
- We report two patients with mutations in pyrin presenting with recurrent infections and infantile colitis due to familial Mediterranean fever, thus illustrating how an autoinflammatory disorder can mimic a PID. PMID: 27538774
- RHEB, the main activator of mTOR signaling, is a valid target of miR-4520a with the relative expression levels of the latter being significantly deregulated in FMF patients and highly dependent on the presence of pyrin mutations. PMID: 27636101
- A patient with Mediterranean fever, her sisters and mother, all had tonsillectomy for tonsillitis, carried heterozygous alterations involving E148Q/P369S/R408Q. PMID: 28001092
- demonstrated the novel gene mutation in exon 2 of MEFT. We assumed the MEFV mutation was related to the pathogenesis of pyoderma gangrenosum in our cases PMID: 26537665
- Three novel MEFV variants, A66P, R202W and H300Q, were identified among carriers of familial Mediterranean fever in a large cohort of Iranian population. PMID: 27659338
- Healthy individuals may bear E148Q and K695R MEFV gene mutations, as well as R202Q polymorphism in homozygous state. The determined gene alterations contribute to a subtle oxidative stress and may be associated with more frequent episodes of fever and unspecific inflammatory manifestations. PMID: 27364639
- the presence of homozygous M694V gene mutation seems to increase the risk for periodontitis in familial Mediterranean fever patients. PMID: 26400644
- It was found that the most common four mutations (M694V, M680I [G/C], E148Q, V726A) were similar to those previously reported from different regions of Turkey. PMID: 26892483
- Describe the MEFV mutational spectrum and distribution in a healthy Turkish population, and report a carrier rate that is much higher than expected. PMID: 27791953
- This study shows that p.M694I homozygosity in MEFV is a potential genetic risk factor for the development of renal AA-amyloidosis in Algerian Familial Mediterranean fever patients. PMID: 27956278
- Fever and MEFV gene M694V homozygosity were less frequently detected in Familial Mediterranean fever. PMID: 26842301
- Correlate MEFV genotype and the SAA1 polymorphisms with the clinical manifestations of familial Mediterranean fever and the occurrence of amyloidosis in a large cohort of Armenian patients. PMID: 27791951
- a guard-like mechanism of pyrin regulation, originally identified for Nod-like receptors in plant innate immunity, also exists in humans. PMID: 27030597
- Most patients presenting with PFAPA syndrome have heterozygous MEFV gene mutations. PMID: 26360812
- When compared with the control group, a lower prevalence of the MEFV gene mutation carrier was found in sarcoidosis patients but this was not statistically significant. PMID: 27053370
- Most of the very early-onset patients were homozygous for M694V mutations, tended to have more severe symptoms, required relatively high doses of colchicine to control their disease, and were diagnosed after a significant delay. PMID: 27228648
- As colchicine treatment not only improved the myofascial pain but also prevented FMF-associated amyloidosis and nephropathy, differential diagnosis of fibromyalgia in patients of Mediterranean origin should include FMF and a genetic screening of MEFV. PMID: 25604326
- MEFV mutations M694V and M680I are associated with Behcet's disease. [meta-analysis] PMID: 26176758
- Carrier rate for MEFV mutations was lower in the SLE group, which is in agreement with previous observations that FMF may confer some protection from SLE. Exon 10 mutations were associated with SLE nephritis after the exclusion of the E148Q mutation. PMID: 25413357
- There was no statistically significant difference between patients and controls in incidence of -1661 A/G single nucleotide polymorphism CTLA4 nor with the clinical symptoms of Familial Mediterranean Fever and MEFV gene mutations. PMID: 25643856
- The presence of M694V was found to be associated with more severe course of FMF, earlier age of onset and more frequent arthritis in the Syrian children with FMF compared to other FMF patients who do not have this mutation. PMID: 25150514
- Among the MEFV gene mutations M694V (mainly) and also V726A and M680I were the most common ones PMID: 25617110
- In this study, we investigated whether the full-length MEFV gene (MEFV-fl) and the exon 2-deleted splice isoform (MEFV-d2) expression are associated with or responsible for the clinical conditions of Rheumatoid arthritis PMID: 25730039
- MEFV mutation-negative familial Mediterranean fever (FMF) by virtue of its classical FMF phenotype is probably associated with a genetic defect upstream or downstream to MEFV related metabolic pathway. PMID: 25887307
顯示更多
收起更多
-
相關疾病:Familial Mediterranean fever, autosomal recessive (ARFMF); Familial Mediterranean fever, autosomal dominant (ADFMF)
-
亞細胞定位:[Isoform 1]: Cytoplasm, cytoskeleton. Cell projection, ruffle. Cell projection, lamellipodium. Nucleus. Cytoplasm. Cytoplasmic vesicle, autophagosome. Note=Associated with microtubules and with the filamentous actin of perinuclear filaments and peripheral lamellar ruffles. In pre-apoptotic cells, colocalizes with PYCARD/ASC in large specks (inflammasomes). In migrating monocytes, strongly polarized at the leading edge of the cell where it colocalizes with polymerizing actin and PYCARD/ASC.; [Isoform 2]: Nucleus.
-
組織特異性:Expressed in peripheral blood leukocytes, particularly in mature granulocytes and to a lesser extent in monocytes but not in lymphocytes. Detected in spleen, lung and muscle, probably as a result of leukocyte infiltration in these tissues. Not expressed i
-
數據庫鏈接:
Most popular with customers
-
Phospho-YAP1 (S127) Recombinant Monoclonal Antibody
Applications: ELISA, WB, IHC
Species Reactivity: Human
-
-
-
-
-
-
-
VCP Recombinant Monoclonal Antibody
Applications: ELISA, WB, IHC, IF, IP
Species Reactivity: Human, Rat















