MED4 Antibody
-
中文名稱:MED4兔多克隆抗體
-
貨號:CSB-PA219965
-
規格:¥1100
-
圖片:
-
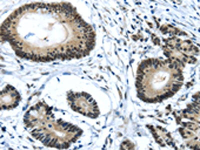
The image on the left is immunohistochemistry of paraffin-embedded Human colorectal cancer tissue using CSB-PA219965(MED4 Antibody) at dilution 1/25, on the right is treated with fusion protein. (Original magnification: ×200)
-
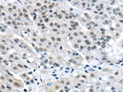
The image on the left is immunohistochemistry of paraffin-embedded Human breast cancer tissue using CSB-PA219965(MED4 Antibody) at dilution 1/25, on the right is treated with fusion protein. (Original magnification: ×200)
-
-
其他:
產品詳情
-
Uniprot No.:
-
基因名:MED4
-
別名:Activator-recruited cofactor 36 kDa component antibody; ARC36 antibody; DRIP36 antibody; FLJ10956 antibody; HSPC126 antibody; med4 antibody; MED4_HUMAN antibody; Mediator complex subunit 4 antibody; Mediator of RNA polymerase II transcription subunit 4 antibody; Mediator of RNA polymerase II transcription, subunit 4 homolog antibody; OTTHUMP00000018390 antibody; OTTHUMP00000018391 antibody; OTTHUMP00000018392 antibody; RP11-90M2.2 antibody; TRAP/SMCC/PC2 subunit p36 subunit antibody; TRAP36 antibody; VDRIP antibody; Vitamin D3 receptor-interacting protein complex 36 kDa component antibody
-
宿主:Rabbit
-
反應種屬:Human,Mouse,Rat
-
免疫原:Full length fusion protein
-
免疫原種屬:Homo sapiens (Human)
-
標記方式:Non-conjugated
-
抗體亞型:IgG
-
純化方式:Antigen affinity purification
-
濃度:It differs from different batches. Please contact us to confirm it.
-
保存緩沖液:-20°C, pH7.4 PBS, 0.05% NaN3, 40% Glycerol
-
產品提供形式:Liquid
-
應用范圍:ELISA,IHC
-
推薦稀釋比:
Application Recommended Dilution ELISA 1:2000-1:5000 IHC 1:25-1:100 -
Protocols:
-
儲存條件:Upon receipt, store at -20°C or -80°C. Avoid repeated freeze.
-
貨期:Basically, we can dispatch the products out in 1-3 working days after receiving your orders. Delivery time maybe differs from different purchasing way or location, please kindly consult your local distributors for specific delivery time.
-
用途:For Research Use Only. Not for use in diagnostic or therapeutic procedures.
相關產品
靶點詳情
-
功能:Component of the Mediator complex, a coactivator involved in the regulated transcription of nearly all RNA polymerase II-dependent genes. Mediator functions as a bridge to convey information from gene-specific regulatory proteins to the basal RNA polymerase II transcription machinery. Mediator is recruited to promoters by direct interactions with regulatory proteins and serves as a scaffold for the assembly of a functional preinitiation complex with RNA polymerase II and the general transcription factors.
-
基因功能參考文獻:
- retinoblastoma RB1 -/- cells cannot survive in the absence of MED4, both in vitro and in orthotopic xenograft models in vivo, therefore identifying MED4 as a survival gene in retinoblastoma. PMID: 24858910
- Our findings suggest that Vitamin D Receptor polymorphisms may be associated with nasal carriage of S. aureus in individuals with type 1 diabetes. PMID: 19411183
-
亞細胞定位:Nucleus.
-
蛋白家族:Mediator complex subunit 4 family
-
數據庫鏈接:
Most popular with customers
-
-
YWHAB Recombinant Monoclonal Antibody
Applications: ELISA, WB, IHC, IF, FC
Species Reactivity: Human, Mouse, Rat
-
Phospho-YAP1 (S127) Recombinant Monoclonal Antibody
Applications: ELISA, WB, IHC
Species Reactivity: Human
-
-
-
-
-















