MCTS1 Antibody
-
中文名稱:MCTS1兔多克隆抗體
-
貨號:CSB-PA200543
-
規格:¥1100
-
圖片:
-
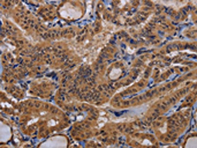
The image on the left is immunohistochemistry of paraffin-embedded Human thyroid cancer tissue using CSB-PA200543(MCTS1 Antibody) at dilution 1/60, on the right is treated with fusion protein. (Original magnification: ×200)
-
The image on the left is immunohistochemistry of paraffin-embedded Human brain tissue using CSB-PA200543(MCTS1 Antibody) at dilution 1/60, on the right is treated with fusion protein. (Original magnification: ×200)
-
Gel: 10%SDS-PAGE, Lysate: 40 μg, Lane 1-2: Jurkat cells, PC3 cells, Primary antibody: CSB-PA200543(MCTS1 Antibody) at dilution 1/200, Secondary antibody: Goat anti rabbit IgG at 1/8000 dilution, Exposure time: 1 minute
-
-
其他:
產品詳情
-
Uniprot No.:
-
基因名:MCTS1
-
別名:FLJ39637 antibody; Malignant T cell amplified sequence 1 antibody; Malignant T cell-amplified sequence 1 antibody; MCT 1 antibody; MCT-1 antibody; MCT1 antibody; MCTS 1 antibody; MCTS1 antibody; MCTS1_HUMAN antibody; Multiple copies T cell malignancies 1 antibody; Multiple copies T cell malignancies antibody; Multiple copies T-cell malignancies antibody; Oncogene MCT 1 antibody; Oncogene MCT1 antibody
-
宿主:Rabbit
-
反應種屬:Human
-
免疫原:Fusion protein of Human MCTS1
-
免疫原種屬:Homo sapiens (Human)
-
標記方式:Non-conjugated
-
抗體亞型:IgG
-
純化方式:Antigen affinity purification
-
濃度:It differs from different batches. Please contact us to confirm it.
-
保存緩沖液:-20°C, pH7.4 PBS, 0.05% NaN3, 40% Glycerol
-
產品提供形式:Liquid
-
應用范圍:ELISA,WB,IHC
-
推薦稀釋比:
Application Recommended Dilution ELISA 1:1000-1:2000 WB 1:200-1:1000 IHC 1:100-1:300 -
Protocols:
-
儲存條件:Upon receipt, store at -20°C or -80°C. Avoid repeated freeze.
-
貨期:Basically, we can dispatch the products out in 1-3 working days after receiving your orders. Delivery time maybe differs from different purchasing way or location, please kindly consult your local distributors for specific delivery time.
-
用途:For Research Use Only. Not for use in diagnostic or therapeutic procedures.
相關產品
靶點詳情
-
功能:Anti-oncogene that plays a role in cell cycle regulation; decreases cell doubling time and anchorage-dependent growth; shortens the duration of G1 transit time and G1/S transition. When constitutively expressed, increases CDK4 and CDK6 kinases activity and CCND1/cyclin D1 protein level, as well as G1 cyclin/CDK complex formation. Involved in translation initiation; promotes recruitment of aminoacetyled initiator tRNA to P site of 40S ribosomes. Can promote release of deacylated tRNA and mRNA from recycled 40S subunits following ABCE1-mediated dissociation of post-termination ribosomal complexes into subunits. Plays a role as translation enhancer; recruits the density-regulated protein/DENR and binds to the cap complex of the 5'-terminus of mRNAs, subsequently altering the mRNA translation profile; up-regulates protein levels of BCL2L2, TFDP1, MRE11, CCND1 and E2F1, while mRNA levels remains constant. Hyperactivates DNA damage signaling pathway; increased gamma-irradiation-induced phosphorylation of histone H2AX, and induces damage foci formation. Increases the overall number of chromosomal abnormalities such as larger chromosomes formation and multiple chromosomal fusions when overexpressed in gamma-irradiated cells. May play a role in promoting lymphoid tumor development: lymphoid cell lines overexpressing MCTS1 exhibit increased growth rates and display increased protection against apoptosis. May contribute to the pathogenesis and progression of breast cancer via promotion of angiogenesis through the decline of inhibitory THBS1/thrombospondin-1, and inhibition of apoptosis. Involved in the process of proteasome degradation to down-regulate Tumor suppressor p53/TP53 in breast cancer cell; Positively regulates phosphorylation of MAPK1 and MAPK3. Involved in translation initiation; promotes aminoacetyled initiator tRNA to P site of 40S ribosomes. Can promote release of deacylated tRNA and mRNA from recycled 40S subunits following ABCE1-mediated dissociation of post-termination ribosomal complexes into subunits.
-
基因功能參考文獻:
- PKC inhibitor sotrastaurin induced cell apoptosis and cell cycle arrest in DLBCL cells potentially through regulating the expression of MCT-1 PMID: 29534146
- findings elucidate how the DENR-MCT-1 dimer interacts with the ribosome and have functional implications for the mechanism of unconventional translation initiation and reinitiation. PMID: 28723557
- DENR binds to the P-site of the 40S ribosomal subunit and together with MCTS1 forms a tRNA binding surface and interferes with eIF1/eIF2/eIF3 binding, thus operating in post-termination ribosome recycling and translation re-initiation PMID: 28723557
- Reinitiation complexes involving initiation factors eIF2D, MCT-1, and DENR controls the translation of a large fraction of mammalian cellular mRNAs. PMID: 28732596
- Overexpression of MCT1 is associated with gliomas. PMID: 23258846
- MCT-1 is a new centrosomal-associated oncoprotein, and that it plays a novel role in the regulation of mitosis signifies its important function in the process of tumorigenesis. PMID: 22336915
- The present study indicates possible involvement of a protein kinase (PK)C- and PKA-mediated pathway associated with expression of MCT1 and lactate transport in rhabdomyosarcoma cells. PMID: 20823576
- The oppositions between MCT-1 and p53 are firstly confirmed at multistage processes that include transcription control, mRNA metabolism, and protein expression PMID: 21138557
- The result suggest that co-expression of CD147 and MCT1/MCT4 is related to drug resistance during EOC metastasis and could be useful therapeutic targets to prevent the development of incurable, recurrent and drug resistance EOC. PMID: 20658178
- Results describe the expression and purification of MCT-1 in insect cells using a baculovirus expression system. PMID: 20076993
- tumor cell lines overexpressing MCT-1 exhibited increased growth rates and displayed increased protection against apoptosis induced by serum starvation PMID: 12637315
- demonstrated the presence of sequence-specific DNA-binding protein in nuclear extracts designated as LMBF; the 26-mer oligonucleotide containing the LMBF binding site is required for maximum transcriptional activity of the MCT-1 promoter PMID: 12938157
- role of the MCT-1 in lymphomagenesis PMID: 18824261
- Loss of p53 and MCT-1 overexpression synergistically promote chromosome instability and tumorigenicity. PMID: 19372582
顯示更多
收起更多
-
亞細胞定位:Cytoplasm. Note=Nuclear relocalization after DNA damage.
-
蛋白家族:MCTS1 family
-
組織特異性:Ubiquitous. Over-expressed in T-cell lymphoid cell lines and in non-Hodgkin lymphoma cell lines as well as in a subset of primary large B-cell lymphomas.
-
數據庫鏈接:
Most popular with customers
-
-
YWHAB Recombinant Monoclonal Antibody
Applications: ELISA, WB, IHC, IF, FC
Species Reactivity: Human, Mouse, Rat
-
Phospho-YAP1 (S127) Recombinant Monoclonal Antibody
Applications: ELISA, WB, IHC
Species Reactivity: Human
-
-
-
-
-















